Skip to main content

ACOX1 Antibody - BSA Free

Novus Biologicals, part of Bio-Techne | Catalog # NBP1-80951

Novus Biologicals, part of Bio-Techne
Catalog #
Availability
Size / Price
Qty
Loading...
NBP1-80951
NBP1-80951-25ul

Key Product Details

Species Reactivity

Human

Applications

Immunohistochemistry, Immunohistochemistry-Paraffin, Immunocytochemistry/ Immunofluorescence

Label

Unconjugated

Antibody Source

Polyclonal Rabbit IgG

Format

BSA Free

Concentration

Concentrations vary lot to lot. See vial label for concentration. If unlisted please contact technical services.

Product Specifications

Immunogen

This antibody was developed against Recombinant Protein corresponding to amino acids: MNPDLRRERDSASFNPELLTHILDGSPEKTRRRREIENMILNDPDFQHEDLNFLTRSQRYEVAVRKSAIMVKKMREFGIADPDEIMWFK

Reactivity Notes

Immunogen displays the following percentage of sequence identity for non-tested species: Mouse (88%), Rat (84%).

Clonality

Polyclonal

Host

Rabbit

Isotype

IgG

Scientific Data Images for ACOX1 Antibody - BSA Free

Immunocytochemistry/ Immunofluorescence: ACOX1 Antibody [NBP1-80951]

Immunocytochemistry/ Immunofluorescence: ACOX1 Antibody [NBP1-80951]

Immunocytochemistry/Immunofluorescence: ACOX1 Antibody [NBP1-80951] - Staining of human cell line A-431 shows localization to nucleoplasm, plasma membrane & vesicles. Antibody staining is shown in green.
Immunohistochemistry-Paraffin: ACOX1 Antibody [NBP1-80951]

Immunohistochemistry-Paraffin: ACOX1 Antibody [NBP1-80951]

Immunohistochemistry-Paraffin: ACOX1 Antibody [NBP1-80951] - Staining of human pancreas shows weak cytoplasmic positivity in exocrine glandular cells.
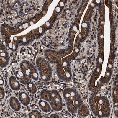
Immunohistochemistry-Paraffin: ACOX1 Antibody [NBP1-80951]

Immunohistochemistry-Paraffin: ACOX1 Antibody [NBP1-80951]

Immunohistochemistry-Paraffin: ACOX1 Antibody [NBP1-80951] - Staining of human duodenum shows strong cytoplasmic positivity in glandular cells.

Applications for ACOX1 Antibody - BSA Free

Application
Recommended Usage

Immunocytochemistry/ Immunofluorescence

0.25-2 ug/ml

Immunohistochemistry

1:200 - 1:500

Immunohistochemistry-Paraffin

1:200 - 1:500
Application Notes
For IHC-Paraffin, HIER pH 6 retrieval is recommended. ICC/IF Fixation Permeabilization: Use PFA/Triton X-100.

Formulation, Preparation, and Storage

Purification

Affinity purified

Formulation

PBS (pH 7.2) and 40% Glycerol

Format

BSA Free

Preservative

0.02% Sodium Azide

Concentration

Concentrations vary lot to lot. See vial label for concentration. If unlisted please contact technical services.

Shipping

The product is shipped with polar packs. Upon receipt, store it immediately at the temperature recommended below.

Stability & Storage

Store at 4C short term. Aliquot and store at -20C long term. Avoid freeze-thaw cycles.

Background: ACOX1

ACOX1 is encoded by this gene is the first enzyme of the fatty acid beta-oxidation pathway, which catalyzes the desaturation of acyl-CoAs to 2-trans-enoyl-CoAs. It donates electrons directly to molecular oxygen, thereby producing hydrogen peroxide. Defects in this gene result in pseudoneonatal adrenoleukodystrophy, a disease that is characterized by accumulation of very long chain fatty acids. Alternatively spliced transcript variants encoding different isoforms have been identified.

Alternate Names

ACOXEC 1.3.3.6, acyl-CoA oxidase 1, palmitoyl, acyl-CoA oxidase, straight-chain, acyl-Coenzyme A oxidase 1, palmitoyl, AOX, PALMCOX, Palmitoyl-CoA oxidase, peroxisomal acyl-coenzyme A oxidase 1, peroxisomal fatty acyl-CoA oxidase, SCOXMGC1198, Straight-chain acyl-CoA oxidase

Entrez Gene IDs

51 (Human)

Gene Symbol

ACOX1

UniProt

Additional ACOX1 Products

Product Documents for ACOX1 Antibody - BSA Free

Certificate of Analysis

To download a Certificate of Analysis, please enter a lot number in the search box below.

Product Specific Notices for ACOX1 Antibody - BSA Free

This product is for research use only and is not approved for use in humans or in clinical diagnosis. Primary Antibodies are guaranteed for 1 year from date of receipt.

Loading...
Loading...
Loading...
Loading...