Skip to main content

ACOT8 Antibody - BSA Free

Novus Biologicals, part of Bio-Techne | Catalog # NBP1-32452

Novus Biologicals, part of Bio-Techne
Catalog #
Availability
Size / Price
Qty
Loading...
NBP1-32452

Key Product Details

Species Reactivity

Validated:

Human, Mouse, Rat

Predicted:

Rhesus Macaque (97%). Backed by our 100% Guarantee.

Applications

Western Blot

Label

Unconjugated

Antibody Source

Polyclonal Rabbit IgG

Format

BSA Free

Concentration

Concentrations vary lot to lot. See vial label for concentration. If unlisted please contact technical services.

Product Specifications

Immunogen

Recombinant protein encompassing a sequence within the center region of human ACOT8. The exact sequence is proprietary.

Reactivity Notes

Bovine (83%).

Localization

Peroxisome

Clonality

Polyclonal

Host

Rabbit

Isotype

IgG

Theoretical MW

36 kDa.
Disclaimer note: The observed molecular weight of the protein may vary from the listed predicted molecular weight due to post translational modifications, post translation cleavages, relative charges, and other experimental factors.

Description

Novus Biologicals Rabbit ACOT8 Antibody - BSA Free (NBP1-32452) is a polyclonal antibody validated for use in WB. All Novus Biologicals antibodies are covered by our 100% guarantee.

Scientific Data Images for ACOT8 Antibody - BSA Free

Western Blot: ACOT8 Antibody [NBP1-32452]

Western Blot: ACOT8 Antibody [NBP1-32452]

Western Blot: ACOT8 Antibody [NBP1-32452] - Rat tissue extracts (50 ug) was separated by 10 % SDS-PAGE, and the membrane was blotted with ACOT8 antibody diluted by 1:1000.
Western Blot: ACOT8 Antibody [NBP1-32452]

Western Blot: ACOT8 Antibody [NBP1-32452]

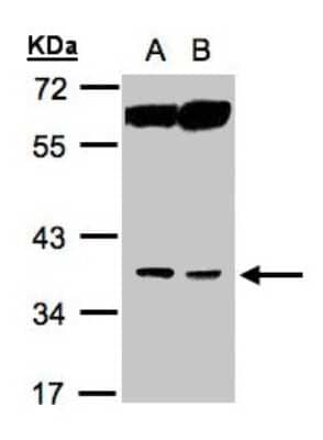
Western Blot: ACOT8 Antibody [NBP1-32452] - Sample(30 ug whole cell lysate)A:MOLT4 B:Raji 10% SDS PAGE, antibody diluted at 1:1000.
Western Blot: ACOT8 Antibody [NBP1-32452]

Western Blot: ACOT8 Antibody [NBP1-32452]

Western Blot: ACOT8 Antibody [NBP1-32452] - Various whole cell extracts (30 ug) were separated by 10% SDS-PAGE, and the membrane was blotted with ACOT8 antibody diluted by 1:1000.

Applications for ACOT8 Antibody - BSA Free

Application
Recommended Usage

Western Blot

1:500-1:3000

Formulation, Preparation, and Storage

Purification

Antigen Affinity-purified

Formulation

0.1M Tris, 0.1M Glycine, 10% Glycerol

Format

BSA Free

Preservative

0.01% Thimerosal

Concentration

Concentrations vary lot to lot. See vial label for concentration. If unlisted please contact technical services.

Shipping

The product is shipped with polar packs. Upon receipt, store it immediately at the temperature recommended below.

Stability & Storage

Aliquot and store at -20C or -80C. Avoid freeze-thaw cycles.

Background: ACOT8

The protein encoded by this gene is a peroxisomal thioesterase that appears to be involved more in the oxidation of fatty acids rather than in their formation. The encoded protein can bind to the human immunodeficiency virus-1 protein Nef, and mediate Nef-induced down-regulation of CD4 in T-cells. Multiple transcript variants encoding several different isoforms have been found for this gene. [provided by RefSeq]

Alternate Names

ACTEIII, acyl-CoA thioesterase 8HNAACTE, Choloyl-coenzyme A thioesterase, EC 3.1.2.27, hACTEIII, HIV-Nef-associated acyl-CoA thioesterase, hTEcholoyl-CoA hydrolase, long-chain fatty-acyl-CoA hydrolase, palmitoyl-CoA hydrolase, peroxisomal acyl-CoA thioesterase, peroxisomal acyl-CoA thioesterase 1, Peroxisomal acyl-coenzyme A thioester hydrolase 1, Peroxisomal long-chain acyl-CoA thioesterase 1, PTE-1, PTE1HIV-Nef associated acyl-CoA thioesterase, PTE2, PTE-2hACTE-IIIacyl-coenzyme A thioesterase 8, Thioesterase II, thioesterase III

Gene Symbol

ACOT8

Additional ACOT8 Products

Product Documents for ACOT8 Antibody - BSA Free

Certificate of Analysis

To download a Certificate of Analysis, please enter a lot number in the search box below.

Product Specific Notices for ACOT8 Antibody - BSA Free

This product is for research use only and is not approved for use in humans or in clinical diagnosis. Primary Antibodies are guaranteed for 1 year from date of receipt.

Loading...
Loading...
Loading...
Loading...

⚠ WARNING: This product can expose you to chemicals including mercury, which is known to the State of California to cause reproductive toxicity with developmental effects.  For more information go to www.P65Warnings.ca.gov.