Skip to main content

ACOT4 Antibody - BSA Free

Novus Biologicals, part of Bio-Techne | Catalog # NBP1-83539

Novus Biologicals, part of Bio-Techne
Catalog #
Availability
Size / Price
Qty
Loading...
NBP1-83539
NBP1-83539-25ul

Key Product Details

Species Reactivity

Human

Applications

Immunohistochemistry, Immunohistochemistry-Paraffin, Western Blot

Label

Unconjugated

Antibody Source

Polyclonal Rabbit IgG

Format

BSA Free

Concentration

Concentrations vary lot to lot. See vial label for concentration. If unlisted please contact technical services.

Product Specifications

Immunogen

This antibody was developed against Recombinant Protein corresponding to amino acids: PPLGYDLRRIKVAFSGLVDIVDIRNALVGGYKNPSMIPIEKAQGPILLIVGQDDHNWRSELYAQTVSERLQAHGKEKPQIICYPGTGHYIEPPYFPLCPASLHRLLNKHVIWGGEPRAHSKAQEDAWKQILAFFCKHLGGTQKT

Clonality

Polyclonal

Host

Rabbit

Isotype

IgG

Theoretical MW

46 kDa.
Disclaimer note: The observed molecular weight of the protein may vary from the listed predicted molecular weight due to post translational modifications, post translation cleavages, relative charges, and other experimental factors.

Description

Novus Biologicals Rabbit ACOT4 Antibody - BSA Free (NBP1-83539) is a polyclonal antibody validated for use in IHC and WB. All Novus Biologicals antibodies are covered by our 100% guarantee.

Scientific Data Images for ACOT4 Antibody - BSA Free

Immunohistochemistry-Paraffin: ACOT4 Antibody [NBP1-83539]

Immunohistochemistry-Paraffin: ACOT4 Antibody [NBP1-83539]

Immunohistochemistry-Paraffin: ACOT4 Antibody [NBP1-83539] - Staining of human cerebellum shows strong cytoplasmic positivity in Purkinje cells.
Immunohistochemistry-Paraffin: ACOT4 Antibody [NBP1-83539]

Immunohistochemistry-Paraffin: ACOT4 Antibody [NBP1-83539]

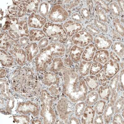
Immunohistochemistry-Paraffin: ACOT4 Antibody [NBP1-83539] - Staining of human kidney shows moderate granular cytoplasmic positivity.
Immunohistochemistry-Paraffin: ACOT4 Antibody [NBP1-83539]

Immunohistochemistry-Paraffin: ACOT4 Antibody [NBP1-83539]

Immunohistochemistry-Paraffin: ACOT4 Antibody [NBP1-83539] - Staining of human skeletal muscle shows no positivity in myocytes as expected.

Applications for ACOT4 Antibody - BSA Free

Application
Recommended Usage

Immunohistochemistry

1:50 - 1:200

Immunohistochemistry-Paraffin

1:50 - 1:200

Western Blot

0.04-0.4 ug/ml
Application Notes
For IHC-Paraffin, HIER pH 6 retrieval is recommended.

Formulation, Preparation, and Storage

Purification

Immunogen affinity purified

Formulation

PBS (pH 7.2) and 40% Glycerol

Format

BSA Free

Preservative

0.02% Sodium Azide

Concentration

Concentrations vary lot to lot. See vial label for concentration. If unlisted please contact technical services.

Shipping

The product is shipped with polar packs. Upon receipt, store it immediately at the temperature recommended below.

Stability & Storage

Store at 4C short term. Aliquot and store at -20C long term. Avoid freeze-thaw cycles.

Background: ACOT4

Alternate Names

acyl-CoA thioesterase 4EC 3.1.2.2, acyl-coenzyme A thioesterase 4, Peroxisomal acyl coenzyme A thioester hydrolase Ib, peroxisomal acyl-CoA thioesterase 2B, Peroxisomal long-chain acyl-CoA thioesterase Ib, PTE-2b, PTE2BPTE1B, PTEIB, PTE-IbFLJ31235

Entrez Gene IDs

122970 (Human)

Gene Symbol

ACOT4

UniProt

Additional ACOT4 Products

Product Documents for ACOT4 Antibody - BSA Free

Certificate of Analysis

To download a Certificate of Analysis, please enter a lot number in the search box below.

Product Specific Notices for ACOT4 Antibody - BSA Free

This product is for research use only and is not approved for use in humans or in clinical diagnosis. Primary Antibodies are guaranteed for 1 year from date of receipt.

Loading...
Loading...
Loading...
Loading...