Skip to main content

ACOT2 Antibody - BSA Free

Novus Biologicals, part of Bio-Techne | Catalog # NBP2-62632

Novus Biologicals, part of Bio-Techne
Catalog #
Availability
Size / Price
Qty
Loading...
NBP2-62632
NBP2-62632-25ul

Key Product Details

Validated by

Orthogonal Validation

Species Reactivity

Human

Applications

Immunohistochemistry, Immunohistochemistry-Paraffin, Western Blot

Label

Unconjugated

Antibody Source

Polyclonal Rabbit IgG

Format

BSA Free

Concentration

Concentrations vary lot to lot. See vial label for concentration. If unlisted please contact technical services.

Product Specifications

Immunogen

This antibody was developed against a recombinant protein corresponding to amino acids: MSNKLLSPHPHSVVLRSEFKMASSPAVLRASRLYQWSLKSSAQFLGSPQLRQVGQIIRVPAR

Clonality

Polyclonal

Host

Rabbit

Isotype

IgG

Description

Novus Biologicals Rabbit ACOT2 Antibody - BSA Free (NBP2-62632) is a polyclonal antibody validated for use in IHC and WB. All Novus Biologicals antibodies are covered by our 100% guarantee.

Scientific Data Images for ACOT2 Antibody - BSA Free

Western Blot: ACOT2 Antibody [NBP2-62632]

Western Blot: ACOT2 Antibody [NBP2-62632]

Western Blot: ACOT2 Antibody [NBP2-62632] - Analysis in human cell line RT-4, human cell line U-251 MG, human plasma, human liver tissue and human tonsil tissue.
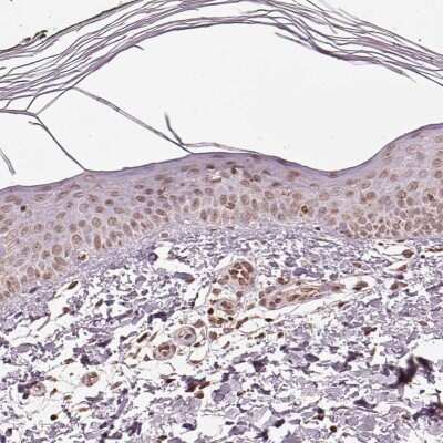
Immunohistochemistry-Paraffin: ACOT2 Antibody [NBP2-62632]

Immunohistochemistry-Paraffin: ACOT2 Antibody [NBP2-62632]

Immunohistochemistry-Paraffin: ACOT2 Antibody [NBP2-62632] - Staining of human skin shows low expression as expected.
Immunohistochemistry-Paraffin: ACOT2 Antibody [NBP2-62632]

Immunohistochemistry-Paraffin: ACOT2 Antibody [NBP2-62632]

Immunohistochemistry-Paraffin: ACOT2 Antibody [NBP2-62632] - Immunohistochemistry analysis in human kidney and skin tissues using Anti-ACOT2 antibody. Corresponding ACOT2 RNA-seq data are presented for the same tissues.

Applications for ACOT2 Antibody - BSA Free

Application
Recommended Usage

Immunohistochemistry

1:500 - 1:1000

Immunohistochemistry-Paraffin

1:500 - 1:1000

Western Blot

0.04-0.4 ug/ml
Application Notes
For IHC-Paraffin, HIER pH 6 retrieval is recommended.

Formulation, Preparation, and Storage

Purification

Protein A purified

Formulation

PBS (pH 7.2) and 40% Glycerol

Format

BSA Free

Preservative

0.02% Sodium Azide

Concentration

Concentrations vary lot to lot. See vial label for concentration. If unlisted please contact technical services.

Shipping

The product is shipped with polar packs. Upon receipt, store it immediately at the temperature recommended below.

Stability & Storage

Store at 4C short term. Aliquot and store at -20C long term. Avoid freeze-thaw cycles.

Background: ACOT2

Alternate Names

acyl-CoA thioesterase 2MTE1, Acyl-coenzyme A thioester hydrolase 2a, acyl-coenzyme A thioesterase 2, mitochondrial, CTE-Ia, EC 3.1.2.2, Long-chain acyl-CoA thioesterase 2, mitochondrial acyl-CoA thioesterase 1, mitochondrial acyl-CoA thioesterase 2, peroxisomal long-chain acyl-coA thioesterase 2, PTE2A, PTE2CTE1A, ZAP128Mte1

Gene Symbol

ACOT2

Additional ACOT2 Products

Product Documents for ACOT2 Antibody - BSA Free

Certificate of Analysis

To download a Certificate of Analysis, please enter a lot number in the search box below.

Product Specific Notices for ACOT2 Antibody - BSA Free

This product is for research use only and is not approved for use in humans or in clinical diagnosis. Primary Antibodies are guaranteed for 1 year from date of receipt.

Loading...
Loading...
Loading...
Loading...