Skip to main content

ACOT12 Antibody

Novus Biologicals, part of Bio-Techne | Catalog # NBP2-15247

Novus Biologicals, part of Bio-Techne
Catalog #
Availability
Size / Price
Qty
Loading...
NBP2-15247

Key Product Details

Species Reactivity

Human

Applications

Immunohistochemistry, Immunohistochemistry-Paraffin, Western Blot

Label

Unconjugated

Antibody Source

Polyclonal Rabbit IgG

Concentration

Concentrations vary lot to lot. See vial label for concentration. If unlisted please contact technical services.

Product Specifications

Immunogen

Recombinant protein encompassing a sequence within the center region of human ACOT12. The exact sequence is proprietary.

Localization

Cytoplasm

Clonality

Polyclonal

Host

Rabbit

Isotype

IgG

Theoretical MW

62 kDa.
Disclaimer note: The observed molecular weight of the protein may vary from the listed predicted molecular weight due to post translational modifications, post translation cleavages, relative charges, and other experimental factors.

Description

Novus Biologicals Rabbit ACOT12 Antibody (NBP2-15247) is a polyclonal antibody validated for use in IHC and WB. All Novus Biologicals antibodies are covered by our 100% guarantee.

Scientific Data Images for ACOT12 Antibody

Western Blot: ACOT12 Antibody [NBP2-15247]

Western Blot: ACOT12 Antibody [NBP2-15247]

Western Blot: ACOT12 Antibody [NBP2-15247] - Sample (20 ug of whole cell lysate) A: HeLa 7. 5% SDS PAGE, antibody diluted at 1:2000.
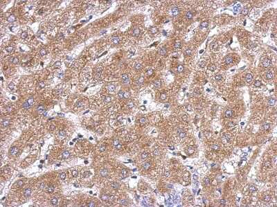
Immunohistochemistry-Paraffin: ACOT12 Antibody [NBP2-15247]

Immunohistochemistry-Paraffin: ACOT12 Antibody [NBP2-15247]

Immunohistochemistry-Paraffin: ACOT12 Antibody [NBP2-15247] - Paraffin-embedded Hepatoma, using antibody at 1:500 dilution.

Applications for ACOT12 Antibody

Application
Recommended Usage

Immunohistochemistry

10 - 1:500

Immunohistochemistry-Paraffin

1:100-1:1000

Western Blot

1:500-1:3000

Formulation, Preparation, and Storage

Purification

Antigen Affinity-purified

Formulation

PBS, 1% BSA, 20% Glycerol

Preservative

0.01% Thimerosal

Concentration

Concentrations vary lot to lot. See vial label for concentration. If unlisted please contact technical services.

Shipping

The product is shipped with polar packs. Upon receipt, store it immediately at the temperature recommended below.

Stability & Storage

Aliquot and store at -20C or -80C. Avoid freeze-thaw cycles.

Background: ACOT12

Hydrolyzes acetyl-CoA to acetate and CoA

Alternate Names

Acyl-CoA thioester hydrolase 12, acyl-CoA thioesterase 12EC 3.1.2.1, acyl-coenzyme A thioesterase 12, Cach, CACH1, CACH-1, Cytoplasmic acetyl-CoA hydrolase 1, cytosolic acetyl-CoA hydrolase, hCACH-1, StARD15, STARD15MGC105114, StAR-related lipid transfer (START) domain containing 15, START domain-containing protein 15, THEAL

Gene Symbol

ACOT12

UniProt

Additional ACOT12 Products

Product Documents for ACOT12 Antibody

Certificate of Analysis

To download a Certificate of Analysis, please enter a lot number in the search box below.

Product Specific Notices for ACOT12 Antibody

This product is for research use only and is not approved for use in humans or in clinical diagnosis. Primary Antibodies are guaranteed for 1 year from date of receipt.

Loading...
Loading...
Loading...
Loading...

⚠ WARNING: This product can expose you to chemicals including mercury, which is known to the State of California to cause reproductive toxicity with developmental effects.  For more information go to www.P65Warnings.ca.gov.