Skip to main content

Aconitase 2 Antibody - BSA Free

Novus Biologicals, part of Bio-Techne | Catalog # NBP1-90264

Novus Biologicals, part of Bio-Techne
Catalog #
Availability
Size / Price
Qty
Loading...
NBP1-90264
NBP1-90264-25ul

Key Product Details

Validated by

Orthogonal Validation

Species Reactivity

Validated:

Human, Mouse, Rat

Cited:

Human, Mouse

Applications

Validated:

Immunohistochemistry, Immunohistochemistry-Paraffin, Western Blot, Immunocytochemistry/ Immunofluorescence

Cited:

Western Blot

Label

Unconjugated

Antibody Source

Polyclonal Rabbit IgG

Format

BSA Free

Concentration

Concentrations vary lot to lot. See vial label for concentration. If unlisted please contact technical services.

Product Specifications

Immunogen

This antibody was developed against Recombinant Protein corresponding to amino acids: GKKFRLEAPDADELPKGEFDPGQDTYQHPPKDSSGQHVDVSPTSQRLQLLEPFDKWDGKDLEDLQILIKVKGKCTTDHISAAGPWLKFRGHLDNISNNLLIGAINIENGKANSVRNAVTQEFGPVPDTARYYKKHGIRWVVIGDENYGEG

Clonality

Polyclonal

Host

Rabbit

Isotype

IgG

Theoretical MW

85 kDa.
Disclaimer note: The observed molecular weight of the protein may vary from the listed predicted molecular weight due to post translational modifications, post translation cleavages, relative charges, and other experimental factors.

Description

Novus Biologicals Rabbit Aconitase 2 Antibody - BSA Free (NBP1-90264) is a polyclonal antibody validated for use in IHC, WB and ICC/IF. Anti-Aconitase 2 Antibody: Cited in 3 publications. All Novus Biologicals antibodies are covered by our 100% guarantee.

Scientific Data Images for Aconitase 2 Antibody - BSA Free

Immunocytochemistry/ Immunofluorescence: Aconitase 2 Antibody [NBP1-90264]

Immunocytochemistry/ Immunofluorescence: Aconitase 2 Antibody [NBP1-90264]

Immunocytochemistry/Immunofluorescence: Aconitase 2 Antibody [NBP1-90264] - Immunofluorescent staining of human cell line U-2 OS shows localization to mitochondria.
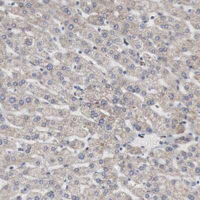
Immunohistochemistry-Paraffin: Aconitase 2 Antibody [NBP1-90264]

Immunohistochemistry-Paraffin: Aconitase 2 Antibody [NBP1-90264]

Immunohistochemistry-Paraffin: Aconitase 2 Antibody [NBP1-90264] - Staining in human heart muscle and liver tissues using NBP1-90264 antibody. Corresponding ACO2 RNA-seq data are presented for the same tissues.
Immunohistochemistry-Paraffin: Aconitase 2 Antibody [NBP1-90264]

Immunohistochemistry-Paraffin: Aconitase 2 Antibody [NBP1-90264]

Immunohistochemistry-Paraffin: Aconitase 2 Antibody [NBP1-90264] - Staining of human heart muscle shows strong granular cytoplasmic positivity in cardiomyocytes.

Applications for Aconitase 2 Antibody - BSA Free

Application
Recommended Usage

Immunocytochemistry/ Immunofluorescence

0.25-2 ug/ml

Immunohistochemistry

1:500 - 1:1000

Immunohistochemistry-Paraffin

1:500 - 1:1000

Western Blot

0.04-0.4 ug/ml
Application Notes
For IHC-Paraffin, HIER pH 6 retrieval is recommended. ICC/IF, Fixation Permeabilization: Use PFA/Triton X-100.

Formulation, Preparation, and Storage

Purification

Affinity purified

Formulation

PBS (pH 7.2) and 40% Glycerol

Format

BSA Free

Preservative

0.02% Sodium Azide

Concentration

Concentrations vary lot to lot. See vial label for concentration. If unlisted please contact technical services.

Shipping

The product is shipped with polar packs. Upon receipt, store it immediately at the temperature recommended below.

Stability & Storage

Store at 4C short term. Aliquot and store at -20C long term. Avoid freeze-thaw cycles.

Background: Aconitase 2

Aconitase 2 is encoded by this gene belongs to the aconitase/IPM isomerase family. It is an enzyme that catalyzes the interconversion of citrate to isocitrate via cis-aconitate in the second step of the TCA cycle. This protein is encoded in the nucleus and functions in the mitochondrion. It was found to be one of the mitochondrial matrix proteins that are preferentially degraded by the serine protease 15(PRSS15), also known as Lon protease, after oxidative modification. [provided by RefSeq]

Alternate Names

Aconitase, aconitase 2, mitochondrial, aconitate hydratase, mitochondrial, ACONM, Citrate hydro-lyase, EC 4.2.1, EC 4.2.1.3, MGC20605, MGC33908

Entrez Gene IDs

50 (Human); 11429 (Mouse); 79250 (Rat)

Gene Symbol

ACO2

UniProt

Additional Aconitase 2 Products

Product Documents for Aconitase 2 Antibody - BSA Free

Certificate of Analysis

To download a Certificate of Analysis, please enter a lot number in the search box below.

Product Specific Notices for Aconitase 2 Antibody - BSA Free

This product is for research use only and is not approved for use in humans or in clinical diagnosis. Primary Antibodies are guaranteed for 1 year from date of receipt.

Loading...
Loading...
Loading...
Loading...