Skip to main content

Aconitase 2 Antibody

Novus Biologicals, part of Bio-Techne | Catalog # NBP1-52015

Novus Biologicals, part of Bio-Techne
Catalog #
Availability
Size / Price
Qty
Loading...
NBP1-52015

Key Product Details

Species Reactivity

Validated:

Human, Mouse, Rat, Porcine

Predicted:

Bovine (100%), Canine (100%). Backed by our 100% Guarantee.

Applications

Immunohistochemistry, Immunohistochemistry-Paraffin, Western Blot, Peptide ELISA

Label

Unconjugated

Antibody Source

Polyclonal Goat IgG

Concentration

0.5 mg/ml

Product Specifications

Immunogen

Peptide with sequence C-QDTYQHPPKDSSGQH corresponding to internal region according to NP_001089.1.

Epitope

C-QDTYQHPPKDSSGQH

Clonality

Polyclonal

Host

Goat

Isotype

IgG

Description

Novus Biologicals Goat Aconitase 2 Antibody (NBP1-52015) is a polyclonal antibody validated for use in IHC, WB and ELISA. Anti-Aconitase 2 Antibody: Cited in 1 publication. All Novus Biologicals antibodies are covered by our 100% guarantee.

Scientific Data Images for Aconitase 2 Antibody

Western Blot: Aconitase 2 Antibody [NBP1-52015]

Western Blot: Aconitase 2 Antibody [NBP1-52015]

Western Blot: Aconitase 2 Antibody [NBP1-52015] - Analysis of Mouse (A), Rat (B) and Pig (C) Skeletal Muscle lysates (35 ug protein in RIPA buffer). Primary incubation was 1 hour. Detected by chemiluminescence.
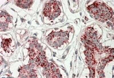
Immunohistochemistry-Paraffin: Aconitase 2 Antibody [NBP1-52015]

Immunohistochemistry-Paraffin: Aconitase 2 Antibody [NBP1-52015]

Immunohistochemistry-Paraffin: Aconitase 2 Antibody [NBP1-52015] - (3.8ug/ml) staining of paraffin embedded Human Breast. Steamed antigen retrieval with citrate buffer pH 6, AP-staining.
Western Blot: Aconitase 2 Antibody [NBP1-52015]

Western Blot: Aconitase 2 Antibody [NBP1-52015]

Western Blot: Aconitase 2 Antibody [NBP1-52015] - Analysis of Aconitase 2 (aa541-555) in Heart lysate (35ug protein in RIPA buffer) using this antibody at 0.01ug/ml. Primary incubation was 1 hour. Detected by chemiluminescence.

Applications for Aconitase 2 Antibody

Application
Recommended Usage

Immunohistochemistry

3 - 5 ug/ml

Immunohistochemistry-Paraffin

3 - 5 ug/ml

Peptide ELISA

Detection limit 1:16000

Western Blot

0.01 - 0.03 ug/ml
Application Notes
WB: Approx. 90 kDa band observed in human heart lysates, in human, mouse and rat adipose lysates and in mouse, rat and porcine skeletal muscle lysates (calculated MW of 85.4 kDa band according to NP_001089.1). IHC-P: Human breast shows mitochondrial staining in the epithelial cells of the ducts.

Formulation, Preparation, and Storage

Purification

Immunogen affinity purified

Formulation

Tris saline (20 mM Tris pH 7.3, 150 mM NaCl), 0.5% BSA

Preservative

0.02% Sodium Azide

Concentration

0.5 mg/ml

Shipping

The product is shipped with polar packs. Upon receipt, store it immediately at the temperature recommended below.

Stability & Storage

Store at -20C. Avoid freeze-thaw cycles.

Background: Aconitase 2

The protein encoded by this gene belongs to the aconitase/IPM isomerase family. It is an enzyme that catalyzes the interconversion of citrate to isocitrate via cis-aconitate in the second step of the TCA cycle. This protein is encoded in the nucleus and functions in the mitochondrion. It was found to be one of the mitochondrial matrix proteins that are preferentially degraded by the serine protease 15(PRSS15), also known as Lon protease, after oxidative modification. [provided by RefSeq]

Alternate Names

Aconitase, aconitase 2, mitochondrial, aconitate hydratase, mitochondrial, ACONM, Citrate hydro-lyase, EC 4.2.1, EC 4.2.1.3, MGC20605, MGC33908

Entrez Gene IDs

50 (Human); 11429 (Mouse); 79250 (Rat)

Gene Symbol

ACO2

Additional Aconitase 2 Products

Product Documents for Aconitase 2 Antibody

Certificate of Analysis

To download a Certificate of Analysis, please enter a lot number in the search box below.

Product Specific Notices for Aconitase 2 Antibody

This product is for research use only and is not approved for use in humans or in clinical diagnosis. Primary Antibodies are guaranteed for 1 year from date of receipt.

Loading...
Loading...
Loading...
Loading...