Skip to main content

Aconitase 2 Antibody

Novus Biologicals, part of Bio-Techne | Catalog # NBP1-52014

Novus Biologicals, part of Bio-Techne
Catalog #
Availability
Size / Price
Qty
Loading...
NBP1-52014

Key Product Details

Species Reactivity

Validated:

Human

Predicted:

Bovine (100%), Canine (100%), Mouse (100%), Porcine (100%), Rat (100%). Backed by our 100% Guarantee.

Applications

Immunohistochemistry, Immunohistochemistry-Paraffin, Western Blot, Peptide ELISA

Label

Unconjugated

Antibody Source

Polyclonal Goat IgG

Concentration

0.5 mg/ml

Product Specifications

Immunogen

Peptide with sequence C-QHVDVSPTSQRLQ corresponding to internal region according to NP_001089.1.

Epitope

C-QHVDVSPTSQRLQ

Clonality

Polyclonal

Host

Goat

Isotype

IgG

Description

Novus Biologicals Goat Aconitase 2 Antibody (NBP1-52014) is a polyclonal antibody validated for use in IHC, WB and ELISA. Anti-Aconitase 2 Antibody: Cited in 1 publication. All Novus Biologicals antibodies are covered by our 100% guarantee.

Scientific Data Images for Aconitase 2 Antibody

Western Blot: Aconitase 2 Antibody [NBP1-52014]

Western Blot: Aconitase 2 Antibody [NBP1-52014]

Western Blot: Aconitase 2 Antibody [NBP1-52014] - (0.01ug/ml) staining of Heart lysate (35ug protein in RIPA buffer). Primary incubation was 1 hour. Detected by chemiluminescence.
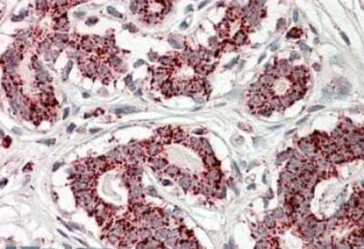
Immunohistochemistry-Paraffin: Aconitase 2 Antibody [NBP1-52014]

Immunohistochemistry-Paraffin: Aconitase 2 Antibody [NBP1-52014]

Immunohistochemistry-Paraffin: Aconitase 2 Antibody [NBP1-52014] - (3.8ug/ml) staining of paraffin embedded Human Breast. Steamed antigen retrieval with citrate buffer pH 6, AP-staining.

Applications for Aconitase 2 Antibody

Application
Recommended Usage

Immunohistochemistry

3 - 5 ug/ml

Immunohistochemistry-Paraffin

3 - 5 ug/ml

Peptide ELISA

Detection limit 1:32000

Western Blot

0.01 - 0.03 ug/ml
Application Notes
IF: An anonymous customer has reported weak pixulate staining in the cytoplasm of HeLa WB: Approx. 90 kDa band observed in human heart lysates (calculated MW of 85.4 kDa band according to NP_001089.1). IHC-P: Human breast shows mitochondrial staining in the epithelial cells of the ducts.

Formulation, Preparation, and Storage

Purification

Immunogen affinity purified

Formulation

Tris saline (20 mM Tris pH 7.3, 150 mM NaCl), 0.5% BSA

Preservative

0.02% Sodium Azide

Concentration

0.5 mg/ml

Shipping

The product is shipped with polar packs. Upon receipt, store it immediately at the temperature recommended below.

Stability & Storage

Store at -20C. Avoid freeze-thaw cycles.

Background: Aconitase 2

The protein encoded by this gene belongs to the aconitase/IPM isomerase family. It is an enzyme that catalyzes the interconversion of citrate to isocitrate via cis-aconitate in the second step of the TCA cycle. This protein is encoded in the nucleus and functions in the mitochondrion. It was found to be one of the mitochondrial matrix proteins that are preferentially degraded by the serine protease 15(PRSS15), also known as Lon protease, after oxidative modification. [provided by RefSeq]

Alternate Names

Aconitase, aconitase 2, mitochondrial, aconitate hydratase, mitochondrial, ACONM, Citrate hydro-lyase, EC 4.2.1, EC 4.2.1.3, MGC20605, MGC33908

Entrez Gene IDs

50 (Human); 11429 (Mouse); 79250 (Rat)

Gene Symbol

ACO2

Additional Aconitase 2 Products

Product Documents for Aconitase 2 Antibody

Certificate of Analysis

To download a Certificate of Analysis, please enter a lot number in the search box below.

Product Specific Notices for Aconitase 2 Antibody

This product is for research use only and is not approved for use in humans or in clinical diagnosis. Primary Antibodies are guaranteed for 1 year from date of receipt.

Loading...
Loading...
Loading...
Loading...