Skip to main content

Aconitase 2 Antibody (OTI3G8)

Novus Biologicals, part of Bio-Techne | Catalog # NBP2-02241

Novus Biologicals, part of Bio-Techne
Catalog #
Availability
Size / Price
Qty
Loading...
NBP2-02241

Key Product Details

Species Reactivity

Human, Mouse, Rat

Applications

Immunohistochemistry, Immunohistochemistry-Paraffin, Western Blot, Immunocytochemistry/ Immunofluorescence

Label

Unconjugated

Antibody Source

Monoclonal Mouse IgG1 Clone # OTI3G8

Concentration

0.9 mg/ml

Product Specifications

Immunogen

Full length human recombinant protein of human ACO2 (NP_001089) produced in HEK293T cell.

Reactivity Notes

Please note that this antibody is reactive to Mouse and derived from the same host, Mouse. Mouse-On-Mouse blocking reagent may be needed for IHC and ICC experiments to reduce high background signal. You can find these reagents under catalog numbers PK-2200-NB and MP-2400-NB. Please contact Technical Support if you have any questions.

Clonality

Monoclonal

Host

Mouse

Isotype

IgG1

Theoretical MW

85.4 kDa.
Disclaimer note: The observed molecular weight of the protein may vary from the listed predicted molecular weight due to post translational modifications, post translation cleavages, relative charges, and other experimental factors.

Description

Novus Biologicals Mouse Aconitase 2 Antibody (OTI3G8) (NBP2-02241) is a monoclonal antibody validated for use in IHC, WB and ICC/IF. All Novus Biologicals antibodies are covered by our 100% guarantee.

Scientific Data Images for Aconitase 2 Antibody (OTI3G8)

Western Blot: Aconitase 2 Antibody (OTI3G8) [NBP2-02241]

Western Blot: Aconitase 2 Antibody (OTI3G8) [NBP2-02241]

Western Blot: Aconitase 2 Antibody (3G8) [NBP2-02241] - HEK293T cells were transfected with the pCMV6-ENTRY control (Left lane) or pCMV6-ENTRY Aconitase 2 (Right lane) cDNA for 48 hrs and lysed. Equivalent amounts of cell lysates (5 ug per lane) were separated by SDS-PAGE and immunoblotted with anti-Aconitase 2.
Immunocytochemistry/Immunofluorescence: Aconitase 2 Antibody (3G8) [NBP2-02241] Staining of COS7 cells transiently transfected by pCMV6-ENTRY Aconitase 2.
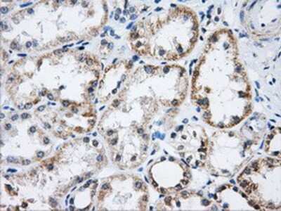
Immunohistochemistry-Paraffin: Aconitase 2 Antibody (OTI3G8) [NBP2-02241]

Immunohistochemistry-Paraffin: Aconitase 2 Antibody (OTI3G8) [NBP2-02241]

Immunohistochemistry-Paraffin: Aconitase 2 Antibody (3G8) [NBP2-02241] - Staining of paraffin-embedded Ovary tissue using anti-Aconitase 2 mouse monoclonal antibody.

Applications for Aconitase 2 Antibody (OTI3G8)

Application
Recommended Usage

Immunocytochemistry/ Immunofluorescence

1:100

Immunohistochemistry

1:50

Immunohistochemistry-Paraffin

1:50

Western Blot

1:2000

Reviewed Applications

Read 1 review rated 4 using NBP2-02241 in the following applications:

Formulation, Preparation, and Storage

Purification

Immunogen affinity purified

Formulation

PBS (pH 7.3), 1.0% BSA and 50% Glycerol

Preservative

0.02% Sodium Azide

Concentration

0.9 mg/ml

Shipping

The product is shipped with polar packs. Upon receipt, store it immediately at the temperature recommended below.

Stability & Storage

Store at -20C. Avoid freeze-thaw cycles.

Background: Aconitase 2

The protein encoded by this gene belongs to the aconitase/IPM isomerase family. It is an enzyme that catalyzes the interconversion of citrate to isocitrate via cis-aconitate in the second step of the TCA cycle. This protein is encoded in the nucleus and functions in the mitochondrion. It was found to be one of the mitochondrial matrix proteins that are preferentially degraded by the serine protease 15(PRSS15), also known as Lon protease, after oxidative modification.

Alternate Names

Aconitase, aconitase 2, mitochondrial, aconitate hydratase, mitochondrial, ACONM, Citrate hydro-lyase, EC 4.2.1, EC 4.2.1.3, MGC20605, MGC33908

Entrez Gene IDs

50 (Human)

Gene Symbol

ACO2

Additional Aconitase 2 Products

Product Documents for Aconitase 2 Antibody (OTI3G8)

Certificate of Analysis

To download a Certificate of Analysis, please enter a lot number in the search box below.

Product Specific Notices for Aconitase 2 Antibody (OTI3G8)

This product is for research use only and is not approved for use in humans or in clinical diagnosis. Primary Antibodies are guaranteed for 1 year from date of receipt.

Loading...
Loading...
Loading...
Loading...