Skip to main content

Aconitase 2 Antibody (0P3H3)

Novus Biologicals, part of Bio-Techne | Catalog # NBP3-16426

Recombinant Monoclonal Antibody
Novus Biologicals, part of Bio-Techne
Catalog #
Availability
Size / Price
Qty
Loading...
NBP3-16426-100ul
NBP3-16426-20ul

Key Product Details

Species Reactivity

Human, Mouse, Rat

Applications

Immunohistochemistry, Immunohistochemistry-Paraffin, Western Blot, Immunocytochemistry/ Immunofluorescence

Label

Unconjugated

Antibody Source

Recombinant Monoclonal Rabbit IgG Clone # 0P3H3 expressed in HEK293

Concentration

Please see the vial label for concentration. If unlisted please contact technical services.

Product Specifications

Immunogen

Recombinant fusion protein containing a sequence corresponding to amino acids 1-150 of human Aconitase 2 (Q99798). MAPYSLLVTRLQKALGVRQYHVASVLCQRAKVAMSHFEPNEYIHYDLLEKNINIVRKRLNRPLTLSEKIVYGHLDDPASQEIERGKSYLRLRPDRVAMQDATAQMAMLQFISSGLSKVAVPSTIHCDHLIEAQVGGEKDLRRAKDINQEV

Clonality

Monoclonal

Host

Rabbit

Isotype

IgG

Description

Novus Biologicals Rabbit Aconitase 2 Antibody (0P3H3) (NBP3-16426) is a recombinant monoclonal antibody validated for use in IHC, WB and ICC/IF. All Novus Biologicals antibodies are covered by our 100% guarantee.

Scientific Data Images for Aconitase 2 Antibody (0P3H3)

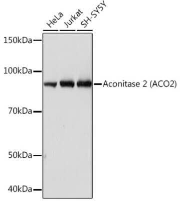
Western Blot: Aconitase 2 Antibody (0P3H3) [NBP3-16426]

Western Blot: Aconitase 2 Antibody (0P3H3) [NBP3-16426]

Western Blot: Aconitase 2 Antibody (0P3H3) [NBP3-16426] - Western blot analysis of extracts of various cell lines, using Aconitase 2 (ACO2) Rabbit mAb (NBP3-16426) at 1:1000 dilution. Secondary antibody: HRP Goat Anti-Rabbit IgG (H+L) at 1:10000 dilution. Lysates/proteins: 25ug per lane. Blocking buffer: 3% nonfat dry milk in TBST. Detection: ECL Basic Kit. Exposure time: 1s.
Western Blot: Aconitase 2 Antibody (0P3H3) [NBP3-16426]

Western Blot: Aconitase 2 Antibody (0P3H3) [NBP3-16426]

Western Blot: Aconitase 2 Antibody (0P3H3) [NBP3-16426] - Western blot analysis of extracts of various cell lines, using Aconitase 2 (ACO2) Rabbit mAb (NBP3-16426) at 1:1000 dilution. Secondary antibody: HRP Goat Anti-Rabbit IgG (H+L) at 1:10000 dilution. Lysates/proteins: 25ug per lane. Blocking buffer: 3% nonfat dry milk in TBST. Detection: ECL Basic Kit. Exposure time: 10s.
Aconitase 2 Antibody (0P3H3)

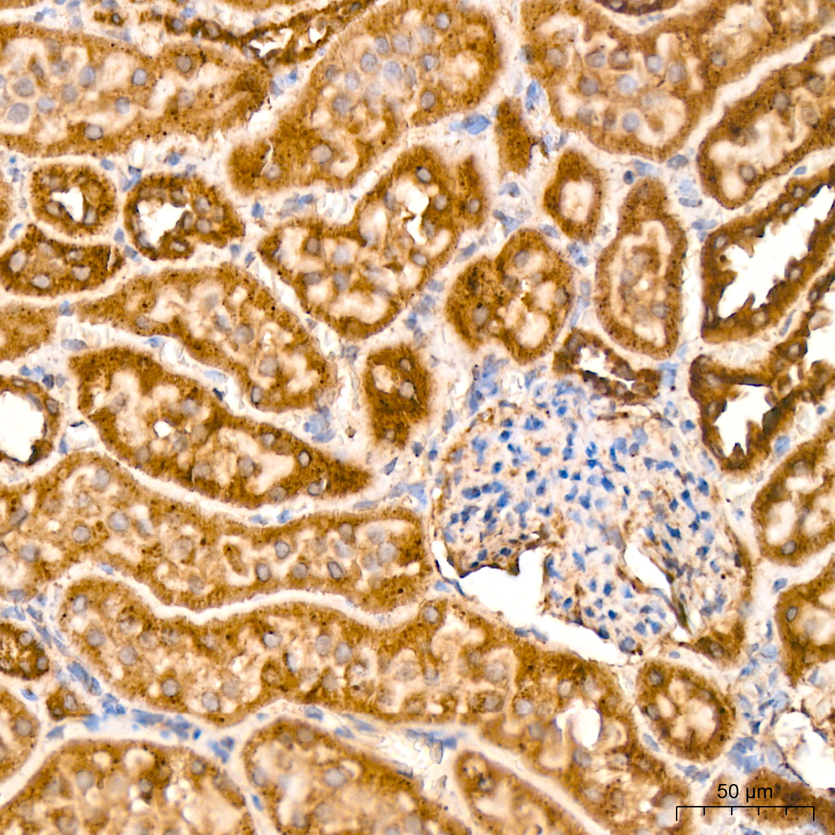
Immunohistochemistry: Aconitase 2 Antibody (0P3H3) [NBP3-16426] -

Immunohistochemistry: Aconitase 2 Antibody (0P3H3) [NBP3-16426] - Immunohistochemistry analysis of paraffin-embedded Mouse kidney tissue using Aconitase 2 Rabbit mAb at a dilution of 1:200 (40x lens). High pressure antigen retrieval performed with 0.01M Citrate Bufferr (pH 6.0) prior to IHC staining.

Applications for Aconitase 2 Antibody (0P3H3)

Application
Recommended Usage

Immunocytochemistry/ Immunofluorescence

1:50 - 1:200

Immunohistochemistry

1:50 - 1:200

Western Blot

1:500 - 1:2000

Formulation, Preparation, and Storage

Purification

Affinity purified

Formulation

PBS (pH 7.3), 50% glycerol, 0.05% BSA

Preservative

0.02% Sodium Azide

Concentration

Please see the vial label for concentration. If unlisted please contact technical services.

Shipping

The product is shipped with polar packs. Upon receipt, store it immediately at the temperature recommended below.

Stability & Storage

Store at -20C. Avoid freeze-thaw cycles.

Background: Aconitase 2

Aconitase 2 is encoded by this gene belongs to the aconitase/IPM isomerase family. It is an enzyme that catalyzes the interconversion of citrate to isocitrate via cis-aconitate in the second step of the TCA cycle. This protein is encoded in the nucleus and functions in the mitochondrion. It was found to be one of the mitochondrial matrix proteins that are preferentially degraded by the serine protease 15(PRSS15), also known as Lon protease, after oxidative modification. [provided by RefSeq]

Alternate Names

Aconitase, aconitase 2, mitochondrial, aconitate hydratase, mitochondrial, ACONM, Citrate hydro-lyase, EC 4.2.1, EC 4.2.1.3, MGC20605, MGC33908

Gene Symbol

ACO2

Additional Aconitase 2 Products

Product Documents for Aconitase 2 Antibody (0P3H3)

Certificate of Analysis

To download a Certificate of Analysis, please enter a lot number in the search box below.

Product Specific Notices for Aconitase 2 Antibody (0P3H3)

This product is for research use only and is not approved for use in humans or in clinical diagnosis. Primary Antibodies are guaranteed for 1 year from date of receipt.

Loading...
Loading...
Loading...
Loading...