Skip to main content

ACE/CD143 Antibody (JM59-32)

Novus Biologicals, part of Bio-Techne | Catalog # NBP2-67111

Recombinant Monoclonal Antibody.
Novus Biologicals, part of Bio-Techne
Catalog #
Availability
Size / Price
Qty
Loading...
NBP2-67111

Key Product Details

Species Reactivity

Validated:

Human, Mouse

Cited:

Mouse

Applications

Validated:

Immunohistochemistry, Immunohistochemistry-Paraffin, Western Blot, Flow Cytometry

Cited:

Immunohistochemistry-Paraffin

Label

Unconjugated

Antibody Source

Recombinant Monoclonal Rabbit IgG Clone # JM59-32 expressed in HEK293

Concentration

1 mg/ml

Product Specifications

Immunogen

Synthetic peptide within Human ACE/CD143 aa 1,257-1,306 / 1,306. (SwissProt: P12821 Human; SwissProt: P09470 Mouse)

Localization

Secreted. Cell membrane. Cytoplasm.

Clonality

Monoclonal

Host

Rabbit

Isotype

IgG

Description

Novus Biologicals Rabbit ACE/CD143 Antibody (JM59-32) (NBP2-67111) is a recombinant monoclonal antibody validated for use in IHC, WB and Flow. Anti-ACE/CD143 Antibody: Cited in 1 publication. All Novus Biologicals antibodies are covered by our 100% guarantee.

Scientific Data Images for ACE/CD143 Antibody (JM59-32)

Western Blot: ACE/CD143 Antibody (JM59-32) [NBP2-67111]

Western Blot: ACE/CD143 Antibody (JM59-32) [NBP2-67111]

Western Blot: ACE/CD143 Antibody (JM59-32) [NBP2-67111] - Analysis of ACE on human lung (1) and mouse kidney (2) tissue lysate using anti-ACE antibody at 1/1,000 dilution.
Immunohistochemistry-Paraffin: ACE/CD143 Antibody (JM59-32) [NBP2-67111]

Immunohistochemistry-Paraffin: ACE/CD143 Antibody (JM59-32) [NBP2-67111]

Immunohistochemistry-Paraffin: ACE/CD143 Antibody (JM59-32) [NBP2-67111] - Analysis of paraffin-embedded mouse testis tissue using anti-ACE antibody. Counter stained with hematoxylin.
Immunohistochemistry-Paraffin: ACE/CD143 Antibody (JM59-32) [NBP2-67111]

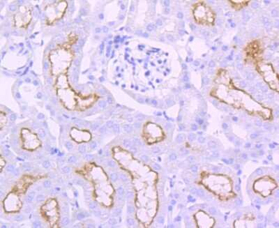
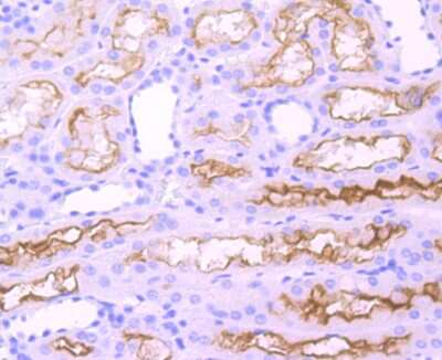
Immunohistochemistry-Paraffin: ACE/CD143 Antibody (JM59-32) [NBP2-67111]

Immunohistochemistry-Paraffin: ACE/CD143 Antibody (JM59-32) [NBP2-67111] - Analysis of paraffin-embedded human kidney tissue using anti-ACE antibody. Counter stained with hematoxylin.

Applications for ACE/CD143 Antibody (JM59-32)

Application
Recommended Usage

Flow Cytometry

1:50-1:100

Immunohistochemistry-Paraffin

1:100-1:500

Western Blot

1:500-1:2000

Formulation, Preparation, and Storage

Purification

Protein A purified

Formulation

TBS (pH7.4), 0.05% BSA, 40% Glycerol

Preservative

0.05% Sodium Azide

Concentration

1 mg/ml

Shipping

The product is shipped with polar packs. Upon receipt, store it immediately at the temperature recommended below.

Stability & Storage

Store at 4C short term. Aliquot and store at -20C long term. Avoid freeze-thaw cycles.

Background: ACE/CD143

ACE converts angiotensin I to angiotensin II by release of the terminal His-Leu, this results in an increase of the vasoconstrictor activity of angiotensin. Also able to inactivate bradykinin, a potent vasodilatator. ACE exists in two forms, a 170KD somatic form and a 90KD germinal form. The somatic form is expressed by endothelial cells (especially those of lung capillaries and arterioles), epithelial cells (especially in proximal renal tubules and small intestine), by some neuronal cells and variably by some macrophages and T lymphocytes. The germinal form is expressed by spermatozoa.

Long Name

Angiotensin I Converting Enzyme

Alternate Names

CD143, DCP1, Kininase II

Gene Symbol

ACE

Additional ACE/CD143 Products

Product Documents for ACE/CD143 Antibody (JM59-32)

Certificate of Analysis

To download a Certificate of Analysis, please enter a lot number in the search box below.

Product Specific Notices for ACE/CD143 Antibody (JM59-32)

This product is for research use only and is not approved for use in humans or in clinical diagnosis. Primary Antibodies are guaranteed for 1 year from date of receipt.

Loading...
Loading...
Loading...
Loading...
Loading...