ACADVL Antibody
Novus Biologicals, part of Bio-Techne | Catalog # NBP2-15238
Key Product Details
Validated by
Knockout/Knockdown, Orthogonal Validation
Species Reactivity
Validated:
Human, Mouse, Rat
Cited:
Human
Predicted:
Bovine (91%). Backed by our 100% Guarantee.
Applications
Validated:
Knockout Validated, Immunohistochemistry, Immunohistochemistry-Paraffin, Western Blot, Immunocytochemistry/ Immunofluorescence
Cited:
Western Blot, Immunocytochemistry/ Immunofluorescence
Label
Unconjugated
Antibody Source
Polyclonal Rabbit IgG
Concentration
Concentrations vary lot to lot. See vial label for concentration. If unlisted please contact technical services.
Product Specifications
Immunogen
Recombinant protein encompassing a sequence within the center region of human ACADVL. The exact sequence is proprietary.
Reactivity Notes
Immunogen displays the following percentage of sequence identity for non-tested species: Zebrafish (81%).
Localization
Mitochondrion inner membrane
Clonality
Polyclonal
Host
Rabbit
Isotype
IgG
Theoretical MW
70 kDa.
Disclaimer note: The observed molecular weight of the protein may vary from the listed predicted molecular weight due to post translational modifications, post translation cleavages, relative charges, and other experimental factors.
Disclaimer note: The observed molecular weight of the protein may vary from the listed predicted molecular weight due to post translational modifications, post translation cleavages, relative charges, and other experimental factors.
Description
Novus Biologicals Knockout (KO) Validated Rabbit ACADVL Antibody (NBP2-15238) is a polyclonal antibody validated for use in IHC, WB and ICC/IF. Anti-ACADVL Antibody: Cited in 2 publications. All Novus Biologicals antibodies are covered by our 100% guarantee.
Scientific Data Images for ACADVL Antibody
Western Blot: ACADVL Antibody [NBP2-15238]
Western Blot: ACADVL Antibody [NBP2-15238] - Various whole cell extracts (30 ug) were separated by 7.5% SDS-PAGE, and the membrane was blotted with ACADVL antibody diluted at 1:1000. HRP-conjugated anti-rabbit IgG antibody was used to detect the primary antibody.Immunocytochemistry/ Immunofluorescence: ACADVL Antibody [NBP2-15238]
Immunocytochemistry/Immunofluorescence: ACADVL Antibody [NBP2-15238] - ACADVL antibody detects ACADVL protein at mitochondria by immunofluorescent analysis. Sample: HeLa cells were fixed in ice-cold MeOH for 5 min. Green: ACADVL stained by ACADVL antibody diluted at 1:500. Blue: Fluoroshield with DAPI. Scale bar= 10 um.Immunohistochemistry-Paraffin: ACADVL Antibody [NBP2-15238]
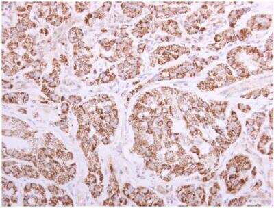
Immunohistochemistry-Paraffin: ACADVL Antibody [NBP2-15238] - Rat liver. ACADVL stained by ACADVL antibody [N1C1] diluted at 1:500.Antigen Retrieval: Citrate buffer, pH 6.0, 15 min.Applications for ACADVL Antibody
Application
Recommended Usage
Immunocytochemistry/ Immunofluorescence
1:100-1:1000
Immunohistochemistry
1:100-1:1000
Immunohistochemistry-Paraffin
1:100-1:1000
Western Blot
1:500-1:3000
Formulation, Preparation, and Storage
Purification
Antigen Affinity-purified
Formulation
PBS, 1% BSA, 20% Glycerol
Preservative
0.025% Proclin 300
Concentration
Concentrations vary lot to lot. See vial label for concentration. If unlisted please contact technical services.
Shipping
The product is shipped with polar packs. Upon receipt, store it immediately at the temperature recommended below.
Stability & Storage
Aliquot and store at -20C or -80C. Avoid freeze-thaw cycles.
Background: ACADVL
Alternate Names
ACAD6, acyl-CoA dehydrogenase, very long chain, acyl-Coenzyme A dehydrogenase, very long chain, EC 1.3.99, EC 1.3.99.-, LCACD, very long-chain specific acyl-CoA dehydrogenase, mitochondrial, VLCAD
Gene Symbol
ACADVL
UniProt
Additional ACADVL Products
Product Documents for ACADVL Antibody
Product Specific Notices for ACADVL Antibody
This product is for research use only and is not approved for use in humans or in clinical diagnosis. Primary Antibodies are guaranteed for 1 year from date of receipt.
Loading...
Loading...
Loading...
Loading...
⚠ WARNING: This product can expose you to chemicals including mercury, which is known to the State of California to cause reproductive toxicity with developmental effects. For more information go to www.P65Warnings.ca.gov.