Skip to main content

ACADVL Antibody - BSA Free

Novus Biologicals, part of Bio-Techne | Catalog # NBP1-89287

Novus Biologicals, part of Bio-Techne
Catalog #
Availability
Size / Price
Qty
Loading...
NBP1-89287
NBP1-89287-25ul

Key Product Details

Validated by

Orthogonal Validation, Independent Antibodies

Species Reactivity

Human, Mouse, Rat

Applications

Immunocytochemistry/ Immunofluorescence, Immunohistochemistry, Immunohistochemistry-Paraffin, Western Blot

Label

Unconjugated

Antibody Source

Polyclonal Rabbit IgG

Format

BSA Free

Concentration

Concentrations vary lot to lot. See vial label for concentration. If unlisted please contact technical services.

Product Specifications

Immunogen

This antibody was developed against Recombinant Protein corresponding to amino acids: KLIKHKKGIVNEQFLLQRLADGAIDLYAMVVVLSRASRSLSEGHPTAQHEKMLCDTWCIEAAARIREGMAALQSDPWQQELYRNFKSISKALVERGGVVTSNPLGF

Clonality

Polyclonal

Host

Rabbit

Isotype

IgG

Description

Novus Biologicals Rabbit ACADVL Antibody - BSA Free (NBP1-89287) is a polyclonal antibody validated for use in IHC, WB and ICC/IF. All Novus Biologicals antibodies are covered by our 100% guarantee.

Scientific Data Images for ACADVL Antibody - BSA Free

Immunohistochemistry-Paraffin: ACADVL Antibody [NBP1-89287]

Immunohistochemistry-Paraffin: ACADVL Antibody [NBP1-89287]

Immunohistochemistry-Paraffin: ACADVL Antibody [NBP1-89287] - Analysis in human duodenum and lymph node tissues. Corresponding ACADVL RNA-seq data are presented for the same tissues.
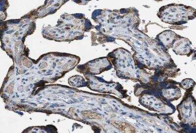
Immunohistochemistry-Paraffin: ACADVL Antibody [NBP1-89287]

Immunohistochemistry-Paraffin: ACADVL Antibody [NBP1-89287]

Immunohistochemistry-Paraffin: ACADVL Antibody [NBP1-89287] - Staining of human duodenum, kidney, lymph node and placenta using Anti-ACADVL antibody NBP1-89287 (A) shows similar protein distribution across tissues to independent antibody NBP1-89286 (B).
Western Blot: ACADVL Antibody [NBP1-89287]

Western Blot: ACADVL Antibody [NBP1-89287]

Western Blot: ACADVL Antibody [NBP1-89287] - Analysis using Anti-ACADVL antibody NBP1-89287 (A) shows similar pattern to independent antibody NBP1-89286 (B).

Applications for ACADVL Antibody - BSA Free

Application
Recommended Usage

Immunocytochemistry/ Immunofluorescence

0.25-2 ug/ml

Immunohistochemistry

1:50 - 1:200

Immunohistochemistry-Paraffin

1:50-1:200

Western Blot

0.04-0.4 ug/ml
Application Notes
For IHC-Paraffin, HIER pH 6 retrieval is recommended. ICC/IF Fixation Permeabilization: Use PFA/Triton X-100.

Formulation, Preparation, and Storage

Purification

Immunogen affinity purified

Formulation

PBS (pH 7.2) and 40% Glycerol

Format

BSA Free

Preservative

0.02% Sodium Azide

Concentration

Concentrations vary lot to lot. See vial label for concentration. If unlisted please contact technical services.

Shipping

The product is shipped with polar packs. Upon receipt, store it immediately at the temperature recommended below.

Stability & Storage

Store at 4C short term. Aliquot and store at -20C long term. Avoid freeze-thaw cycles.

Background: ACADVL

ACADVL is encoded by this gene is targeted to the inner mitochondrial membrane where it catalyzes the first step of the mitochondrial fatty acid beta-oxidation pathway. This acyl-Coenzyme A dehydrogenase is specific to long-chain and very-long-chain fatty acids. A deficiency in this gene product reduces myocardial fatty acid beta-oxidation and is associated with cardiomyopathy. Alternative splicing results in multiple transcript variants encoding different isoforms.

Alternate Names

ACAD6, acyl-CoA dehydrogenase, very long chain, acyl-Coenzyme A dehydrogenase, very long chain, EC 1.3.99, EC 1.3.99.-, LCACD, very long-chain specific acyl-CoA dehydrogenase, mitochondrial, VLCAD

Gene Symbol

ACADVL

Additional ACADVL Products

Product Documents for ACADVL Antibody - BSA Free

Certificate of Analysis

To download a Certificate of Analysis, please enter a lot number in the search box below.

Product Specific Notices for ACADVL Antibody - BSA Free

This product is for research use only and is not approved for use in humans or in clinical diagnosis. Primary Antibodies are guaranteed for 1 year from date of receipt.

Loading...
Loading...
Loading...
Loading...