Skip to main content

ACADVL Antibody (5D3) - Azide and BSA Free

Novus Biologicals, part of Bio-Techne | Catalog # H00000037-M01

Novus Biologicals, part of Bio-Techne
Catalog #
Availability
Size / Price
Qty
Loading...
H00000037-M01

Key Product Details

Species Reactivity

Human, Mouse

Applications

Immunohistochemistry, Immunohistochemistry-Paraffin, Western Blot, ELISA

Label

Unconjugated

Antibody Source

Monoclonal Mouse IgG2b Kappa Clone # 5D3

Format

Azide and BSA Free

Concentration

Concentrations vary lot to lot. See vial label for concentration. If unlisted please contact technical services.

Product Specifications

Immunogen

ACADVL (NP_000009, 345 a.a. ~ 434 a.a) partial recombinant protein with GST tag. MW of the GST tag alone is 26 KDa. AAALAGTMRGIIAKAVDHATNRTQFGEKIHNFGLIQEKLARMVMLQYVTESMAYMVSANMDQGATDFQIEAAISKIFGSEAAWKVTDECI

Specificity

ACADVL - acyl-Coenzyme A dehydrogenase, very long chain

Clonality

Monoclonal

Host

Mouse

Isotype

IgG2b Kappa

Description

Quality control test: Antibody Reactive Against Recombinant Protein.

Scientific Data Images for ACADVL Antibody (5D3) - Azide and BSA Free

Western Blot: ACADVL Antibody (5D3) [H00000037-M01]

Western Blot: ACADVL Antibody (5D3) [H00000037-M01]

Western Blot: ACADVL Antibody (5D3) [H00000037-M01] - ACADVL monoclonal antibody (M01), clone 5D3 Analysis of ACADVL expression in Hela S3 NE.
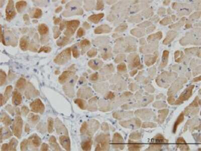
Immunohistochemistry-Paraffin: ACADVL Antibody (5D3) [H00000037-M01]

Immunohistochemistry-Paraffin: ACADVL Antibody (5D3) [H00000037-M01]

Immunohistochemistry-Paraffin: ACADVL Antibody (5D3) [H00000037-M01] - Analysis of monoclonal antibody to ACADVL on formalin-fixed paraffin-embedded human heart. Antibody concentration 3 ug/ml.
Western Blot: ACADVL Antibody (5D3) [H00000037-M01]

Western Blot: ACADVL Antibody (5D3) [H00000037-M01]

Western Blot: ACADVL Antibody (5D3) [H00000037-M01] - Alcohol feeding showed no significant effect on the expression of ACADVL in mouse liver. Image from verified customer review.

Applications for ACADVL Antibody (5D3) - Azide and BSA Free

Application
Recommended Usage

Western Blot

1:500
Application Notes
Antibody reactivity against cell lysate and recombinant protein for WB. It has also been used for IHC-P and ELISA.

Reviewed Applications

Read 1 review rated 4 using H00000037-M01 in the following applications:

Formulation, Preparation, and Storage

Purification

IgG purified

Formulation

In 1x PBS, pH 7.4

Format

Azide and BSA Free

Preservative

No Preservative

Concentration

Concentrations vary lot to lot. See vial label for concentration. If unlisted please contact technical services.

Shipping

The product is shipped with polar packs. Upon receipt, store it immediately at the temperature recommended below.

Stability & Storage

Aliquot and store at -20C or -80C. Avoid freeze-thaw cycles.

Background: ACADVL

The protein encoded by this gene is targeted to the inner mitochondrial membrane where it catalyzes the first step of the mitochondrial fatty acid beta-oxidation pathway. This acyl-Coenzyme A dehydrogenase is specific to long-chain and very-long-chain fatty acids. A deficiency in this gene product reduces myocardial fatty acid beta-oxidation and is associated with cardiomyopathy. Alternative splicing results in multiple transcript variants encoding different isoforms.

Alternate Names

ACAD6, acyl-CoA dehydrogenase, very long chain, acyl-Coenzyme A dehydrogenase, very long chain, EC 1.3.99, EC 1.3.99.-, LCACD, very long-chain specific acyl-CoA dehydrogenase, mitochondrial, VLCAD

Entrez Gene IDs

37 (Human)

Gene Symbol

ACADVL

OMIM

201475 (Human)

Additional ACADVL Products

Product Documents for ACADVL Antibody (5D3) - Azide and BSA Free

Certificate of Analysis

To download a Certificate of Analysis, please enter a lot number in the search box below.

Product Specific Notices for ACADVL Antibody (5D3) - Azide and BSA Free

This product is produced by and distributed for Abnova, a company based in Taiwan.

This product is for research use only and is not approved for use in humans or in clinical diagnosis. Primary Antibodies are guaranteed for 1 year from date of receipt.

Loading...
Loading...
Loading...
Loading...