Skip to main content

ACADSB Antibody - Azide and BSA Free

Novus Biologicals, part of Bio-Techne | Catalog # NBP3-04684

Novus Biologicals, part of Bio-Techne
Catalog #
Availability
Size / Price
Qty
Loading...
NBP3-04684-100ul
NBP3-04684-20ul

Key Product Details

Species Reactivity

Human, Mouse, Rat

Applications

Immunohistochemistry, Immunohistochemistry-Paraffin

Label

Unconjugated

Antibody Source

Polyclonal Rabbit IgG

Format

Azide and BSA Free

Concentration

Please see the vial label for concentration. If unlisted please contact technical services.

Product Specifications

Immunogen

Recombinant fusion protein containing a sequence corresponding to amino acids 133-432 of human ACADSB (NP_001600.1). ASVAVFCEIQNTLINTLIRKHGTEEQKATYLPQLTTEKVGSFCLSEAGAGSDSFALKTRADKEGDYYVLNGSKMWISSAEHAGLFLVMANVDPTIGYKGITSFLVDRDTPGLHIGKPENKLGLRASSTCPLTFENVKVPEANILGQIGHGYKYAIGSLNEGRIGIAAQMLGLAQGCFDYTIPYIKERIQFGKRLFDFQGLQHQVAHVATQLEAARLLTYNAARLLEAGKPFIKEASMAKYYASEIAGQTTSKCIEWMGGVGYTKDYPVEKYFRDAKIGTIYEGASNIQLNTIAKHIDAEY

Clonality

Polyclonal

Host

Rabbit

Isotype

IgG

Description

Novus Biologicals Rabbit ACADSB Antibody - Azide and BSA Free (NBP3-04684) is a polyclonal antibody validated for use in IHC. All Novus Biologicals antibodies are covered by our 100% guarantee.

Scientific Data Images for ACADSB Antibody - Azide and BSA Free

Immunohistochemistry-Paraffin: ACADSB Antibody - Azide and BSA Free [NBP3-04684]

Immunohistochemistry-Paraffin: ACADSB Antibody - Azide and BSA Free [NBP3-04684]

Immunohistochemistry-Paraffin: ACADSB Antibody [NBP3-04684] - Paraffin-embedded mouse spinal cord using ACADSB antibody at dilution of 1:100 (40x lens).
Immunohistochemistry-Paraffin: ACADSB Antibody - Azide and BSA Free [NBP3-04684]

Immunohistochemistry-Paraffin: ACADSB Antibody - Azide and BSA Free [NBP3-04684]

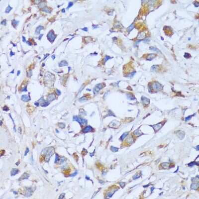
Immunohistochemistry-Paraffin: ACADSB Antibody [NBP3-04684] - Paraffin-embedded human breast cancer using ACADSB antibody at dilution of 1:100 (40x lens).
Immunohistochemistry-Paraffin: ACADSB Antibody - Azide and BSA Free [NBP3-04684]

Immunohistochemistry-Paraffin: ACADSB Antibody - Azide and BSA Free [NBP3-04684]

Immunohistochemistry-Paraffin: ACADSB Antibody [NBP3-04684] - Paraffin-embedded rat brain using ACADSB antibody at dilution of 1:100 (40x lens).

Applications for ACADSB Antibody - Azide and BSA Free

Application
Recommended Usage

Immunohistochemistry

1:50 - 1:200

Formulation, Preparation, and Storage

Purification

Affinity purified

Formulation

PBS (pH 7.3), 50% glycerol

Format

Azide and BSA Free

Preservative

0.01% Thimerosal

Concentration

Please see the vial label for concentration. If unlisted please contact technical services.

Shipping

The product is shipped with polar packs. Upon receipt, store it immediately at the temperature recommended below.

Stability & Storage

Store at -20C. Avoid freeze-thaw cycles.

Background: ACADSB

Short/branched chain acyl-CoA dehydrogenase(ACADSB) is a member of the acyl-CoA dehydrogenase family of enzymes thatcatalyze the dehydrogenation of acyl-CoA derivatives in the metabolism of fatty acids or branch chained amino acids.Substrate specificity is the primary characteristic used to define members of this gene family. The ACADSB geneproduct has the greatest activity towards the short branched chain acyl-CoA derivative, (S)-2-methylbutyryl-CoA, butalso reacts significantly with other 2-methyl branched chain substrates and with short straight chain acyl-CoAs. ThecDNA encodes for a mitochondrial precursor protein which is cleaved upon mitochondrial import and predicted to yield amature peptide of approximately 43.7-KDa. (provided by RefSeq)

Long Name

Short/branched chain specific acyl-CoA dehydrogenase, mitochondrial

Alternate Names

2-MEBCAD, EC 1.3.8.5, SBCAD

Gene Symbol

ACADSB

Additional ACADSB Products

Product Documents for ACADSB Antibody - Azide and BSA Free

Certificate of Analysis

To download a Certificate of Analysis, please enter a lot number in the search box below.

Product Specific Notices for ACADSB Antibody - Azide and BSA Free

This product is for research use only and is not approved for use in humans or in clinical diagnosis. Primary Antibodies are guaranteed for 1 year from date of receipt.

Loading...
Loading...
Loading...
Loading...

⚠ WARNING: This product can expose you to chemicals including Methotrexate, which is known to the State of California to cause reproductive toxicity with developmental effects. For more information, go to www.P65Warnings.ca.gov