Skip to main content

ACADM Antibody - BSA Free

Novus Biologicals, part of Bio-Techne | Catalog # NBP3-35890

Novus Biologicals, part of Bio-Techne
Catalog #
Availability
Size / Price
Qty
Loading...
NBP3-35890-100ul
NBP3-35890-20ul

Key Product Details

Species Reactivity

Human, Mouse, Rat

Applications

Western Blot, ELISA, Immunocytochemistry/ Immunofluorescence

Label

Unconjugated

Antibody Source

Polyclonal Rabbit IgG

Format

BSA Free

Concentration

Please see the vial label for concentration. If unlisted please contact technical services.

Product Specifications

Immunogen

Recombinant fusion protein containing a sequence corresponding to amino acids 1-220 of human ACADM (NP_000007.1).

Sequence:
MAAGFGRCCRVLRSISRFHWRSQHTKANRQREPGLGFSFEFTEQQKEFQATARKFAREEIIPVAAEYDKTGEYPVPLIRRAWELGLMNTHIPENCGGLGLGTFDACLISEELAYGCTGVQTAIEGNSLGQMPIIIAGNDQQKKKYLGRMTEEPLMCAYCVTEPGAGSDVAGIKTKAEKKGDEYIINGQKMWITNGGKANWYFLLARSDPDPKAPANKAFT

Clonality

Polyclonal

Host

Rabbit

Isotype

IgG

Theoretical MW

47 kDa.
Disclaimer note: The observed molecular weight of the protein may vary from the listed predicted molecular weight due to post translational modifications, post translation cleavages, relative charges, and other experimental factors.

Description

Novus Biologicals Rabbit ACADM Antibody - BSA Free (NBP3-35890) is a polyclonal antibody validated for use in WB, ELISA and ICC/IF. All Novus Biologicals antibodies are covered by our 100% guarantee.

Scientific Data Images for ACADM Antibody - BSA Free

ACADM Antibody

Immunocytochemistry/ Immunofluorescence: ACADM Antibody [NBP3-35890] -

Immunocytochemistry/ Immunofluorescence: ACADM Antibody [NBP3-35890] - Immunofluorescence analysis of HeLa cells using ACADM Rabbit pAb at dilution of 1:100 (40x lens). Secondary antibody: Cy3-conjugated Goat anti-Rabbit IgG (H+L) at 1:500 dilution. Blue: DAPI for nuclear staining.
ACADM Antibody

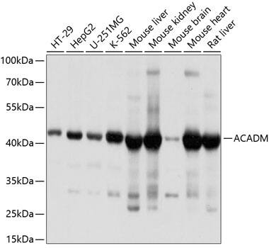
Western Blot: ACADM Antibody [NBP3-35890] -

Western Blot: ACADM Antibody [NBP3-35890] - Western blot analysis of various lysates using ACADM Rabbit pAb at 1:1000 dilution.
Secondary antibody: HRP-conjugated Goat anti-Rabbit IgG (H+L) at 1:10000 dilution.
Lysates/proteins: 25ug per lane.
Blocking buffer: 3% nonfat dry milk in TBST.
Detection: ECL Basic Kit.
Exposure time: 1s.

Applications for ACADM Antibody - BSA Free

Application
Recommended Usage

Immunocytochemistry/ Immunofluorescence

1:50 - 1:200

Western Blot

1:500 - 1:2000

Formulation, Preparation, and Storage

Purification

Affinity purified

Formulation

PBS (pH 7.3), 50% glycerol

Format

BSA Free

Preservative

0.01% Thimerosal

Concentration

Please see the vial label for concentration. If unlisted please contact technical services.

Shipping

The product is shipped with polar packs. Upon receipt, store it immediately at the temperature recommended below.

Stability & Storage

Store at -20C. Avoid freeze-thaw cycles.

Background: ACADM

ACADM protein is a medium chain specific (C4 to C12 straight chain) acyl Coenzyme A dehydrogenase. The enzyme catalyzes the initial step of the mitochondrial fatty acid beta oxidation pathway. ACADM expression is induced during periods of fasting, when reliance on fatty acids for energy is increased. Clinical phenotypes are associated with ACADM hereditary deficiency.

Alternate Names

ACAD1, acyl-CoA dehydrogenase, C-4 to C-12 straight chain, acyl-Coenzyme A dehydrogenase, C-4 to C-12 straight chain, EC 1.3.99, EC 1.3.99.3, FLJ18227, FLJ99884, MCADFLJ93013, MCADH, medium-chain specific acyl-CoA dehydrogenase, mitochondrial

Gene Symbol

ACADM

Additional ACADM Products

Product Documents for ACADM Antibody - BSA Free

Certificate of Analysis

To download a Certificate of Analysis, please enter a lot number in the search box below.

Product Specific Notices for ACADM Antibody - BSA Free

This product is for research use only and is not approved for use in humans or in clinical diagnosis. Primary Antibodies are guaranteed for 1 year from date of receipt.

Loading...
Loading...
Loading...
Loading...