Skip to main content

ACADM Antibody - BSA Free

Novus Biologicals, part of Bio-Techne | Catalog # NBP1-32028

Novus Biologicals, part of Bio-Techne
Catalog #
Availability
Size / Price
Qty
Loading...
NBP1-32028

Key Product Details

Species Reactivity

Validated:

Human, Mouse

Predicted:

Chimpanzee (100%). Backed by our 100% Guarantee.

Applications

Immunohistochemistry, Immunohistochemistry-Paraffin, Western Blot, Immunocytochemistry/ Immunofluorescence

Label

Unconjugated

Antibody Source

Polyclonal Rabbit IgG

Format

BSA Free

Concentration

Concentrations vary lot to lot. See vial label for concentration. If unlisted please contact technical services.

Product Specifications

Immunogen

Recombinant protein encompassing a sequence within the center region of human ACADM. The exact sequence is proprietary.

Localization

Mitochondrion matrix

Clonality

Polyclonal

Host

Rabbit

Isotype

IgG

Scientific Data Images for ACADM Antibody - BSA Free

Western Blot: ACADM Antibody [NBP1-32028]

Western Blot: ACADM Antibody [NBP1-32028]

Western Blot: ACADM Antibody [NBP1-32028] - SampleA: 30ug of A431 whole cell lysate 7.5% SDS PAGE, antibody diluted at 1:1000.
Immunocytochemistry/ Immunofluorescence: ACADM Antibody [NBP1-32028]

Immunocytochemistry/ Immunofluorescence: ACADM Antibody [NBP1-32028]

Immunocytochemistry/Immunofluorescence: ACADM Antibody [NBP1-32028] - Analysis of methanol-fixed A431, using antibody at 1:200 dilution.
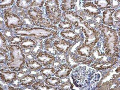
Immunohistochemistry-Paraffin: ACADM Antibody [NBP1-32028]

Immunohistochemistry-Paraffin: ACADM Antibody [NBP1-32028]

Immunohistochemistry-Paraffin: ACADM Antibody [NBP1-32028] - ACADM antibody detects ACADM protein at mitochondria on mouse kidney by immunohistochemical analysis. Sample: Paraffin-embedded mouse kidney. ACADM antibody dilution: 1:500.

Applications for ACADM Antibody - BSA Free

Application
Recommended Usage

Immunocytochemistry/ Immunofluorescence

1:100-1:1000

Immunohistochemistry

10 - 1:500

Immunohistochemistry-Paraffin

1:100-1:1000

Western Blot

1:500-1:3000

Formulation, Preparation, and Storage

Purification

Protein A purified

Formulation

PBS, 20% Glycerol

Format

BSA Free

Preservative

0.01% Thimerosal

Concentration

Concentrations vary lot to lot. See vial label for concentration. If unlisted please contact technical services.

Shipping

The product is shipped with polar packs. Upon receipt, store it immediately at the temperature recommended below.

Stability & Storage

Aliquot and store at -20C or -80C. Avoid freeze-thaw cycles.

Background: ACADM

ACADM protein is a medium chain specific (C4 to C12 straight chain) acyl Coenzyme A dehydrogenase. The enzyme catalyzes the initial step of the mitochondrial fatty acid beta oxidation pathway. ACADM expression is induced during periods of fasting, when reliance on fatty acids for energy is increased. Clinical phenotypes are associated with ACADM hereditary deficiency.

Alternate Names

ACAD1, acyl-CoA dehydrogenase, C-4 to C-12 straight chain, acyl-Coenzyme A dehydrogenase, C-4 to C-12 straight chain, EC 1.3.99, EC 1.3.99.3, FLJ18227, FLJ99884, MCADFLJ93013, MCADH, medium-chain specific acyl-CoA dehydrogenase, mitochondrial

Gene Symbol

ACADM

Additional ACADM Products

Product Documents for ACADM Antibody - BSA Free

Certificate of Analysis

To download a Certificate of Analysis, please enter a lot number in the search box below.

Product Specific Notices for ACADM Antibody - BSA Free

This product is for research use only and is not approved for use in humans or in clinical diagnosis. Primary Antibodies are guaranteed for 1 year from date of receipt.

Loading...
Loading...
Loading...
Loading...

⚠ WARNING: This product can expose you to chemicals including mercury, which is known to the State of California to cause reproductive toxicity with developmental effects.  For more information go to www.P65Warnings.ca.gov.