Skip to main content

ABI1 Antibody

Novus Biologicals, part of Bio-Techne | Catalog # NB100-59845

Novus Biologicals, part of Bio-Techne
Catalog #
Availability
Size / Price
Qty
Loading...
NB100-59845

Key Product Details

Validated by

Independent Antibodies

Species Reactivity

Validated:

Human

Predicted:

Mouse (100%), Rat (100%). Backed by our 100% Guarantee.

Applications

Immunohistochemistry, Immunohistochemistry-Paraffin, Western Blot, Immunoprecipitation (Negative)

Label

Unconjugated

Antibody Source

Polyclonal Rabbit IgG

Concentration

0.2 mg/ml

Product Specifications

Immunogen

The immunogen recognized by this antibody maps to a region between residue 325 and 375 of human abl-interactor 1 using the numbering given in entry NP_005461.2 (GeneID 10006).

Clonality

Polyclonal

Host

Rabbit

Isotype

IgG

Description

Novus Biologicals Rabbit ABI1 Antibody (NB100-59845) is a polyclonal antibody validated for use in IHC and WB. Anti-ABI1 Antibody: Cited in 1 publication. All Novus Biologicals antibodies are covered by our 100% guarantee.

Scientific Data Images for ABI1 Antibody

Western Blot: ABI1 Antibody [NB100-59845]

Western Blot: ABI1 Antibody [NB100-59845]

Western Blot: ABI1 Antibody [NB100-59845] - Whole cell lysate from HeLa (5, 15 and 50 ug for WB; 1 mg for IP, 20% of IP loaded) and HEK293T (T; 50 ug) cells. Antibodies: Affinity purified rabbit anti-ABI1 antibody NB100-59845 used for WB at 0.04 ug/ml (A) and 1 ug/ml (B) and used for IP at 3 ug/mg lysate. ABI1 was efficiently immunoprecipitated by rabbit anti-ABI1 antibodies NB100-59843 and NB100-59844, which recognize upstream epitopes. Detection: Chemiluminescence with exposure times of 3 minutes (A) and 10 seconds (B).
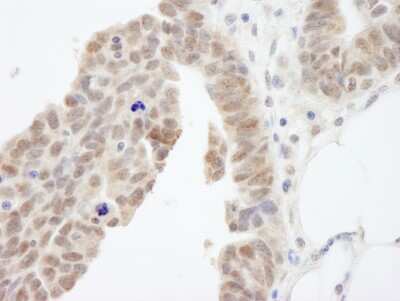
Immunohistochemistry-Paraffin: ABI1 Antibody [NB100-59845]

Immunohistochemistry-Paraffin: ABI1 Antibody [NB100-59845]

Immunohistochemistry-Paraffin: ABI1 Antibody [NB100-59845] - Section of human prostate carcinoma. Antibody: Affinity purified rabbit anti-ABI1 used at a dilution of 1:200 ( 1ug/ml). Detection: DAB

Applications for ABI1 Antibody

Application
Recommended Usage

Immunohistochemistry

1:100-1:500

Immunohistochemistry-Paraffin

1:100-1:500

Western Blot

1:2000-1:10000
Application Notes
Epitope retrieval with citrate buffer pH6.0 is recommended for FFPE tissue sections. IP not recommended. Use rabbit anti-ABI1 antibody NB100-59843 or NB100-59844.

Formulation, Preparation, and Storage

Purification

Immunogen affinity purified

Formulation

TBS and 0.1% BSA

Preservative

0.09% Sodium Azide

Concentration

0.2 mg/ml

Shipping

The product is shipped with polar packs. Upon receipt, store it immediately at the temperature recommended below.

Stability & Storage

Store at 4C. Do not freeze.

Background: ABI1

Abl interactor 1 (ABI1) interacts with the ABL1 and/or ABL2 nonreceptor tyrosine kinases and is involved in Ras to Rac signal transduction. ABI1 is also involved in cytoskeletal organization and EGF-induced Erk signaling.

Long Name

Abl Interactor 1

Alternate Names

ABI-1, ABLBP4, E3B1, NAP1BP, SSH3BP, SSH3BP1

Entrez Gene IDs

10006 (Human)

Gene Symbol

ABI1

Additional ABI1 Products

Product Documents for ABI1 Antibody

Certificate of Analysis

To download a Certificate of Analysis, please enter a lot number in the search box below.

Product Specific Notices for ABI1 Antibody

This product is for research use only and is not approved for use in humans or in clinical diagnosis. Primary Antibodies are guaranteed for 1 year from date of receipt.

Loading...
Loading...
Loading...
Loading...