Skip to main content

ABHD18 Antibody - BSA Free

Novus Biologicals, part of Bio-Techne | Catalog # NBP3-47756

Novus Biologicals, part of Bio-Techne
Catalog #
Availability
Size / Price
Qty
Loading...
NBP3-47756

Key Product Details

Species Reactivity

Human, Mouse

Applications

Immunohistochemistry, Western Blot, ELISA, Immunocytochemistry/ Immunofluorescence

Label

Unconjugated

Antibody Source

Polyclonal Rabbit IgG

Format

BSA Free

Concentration

Please see the vial label for concentration. If unlisted please contact technical services.

Product Specifications

Immunogen

chromosome 4 open reading frame 29. (Uniprot# Q0P651)

Clonality

Polyclonal

Host

Rabbit

Isotype

IgG

Theoretical MW

60 kDa.
Disclaimer note: The observed molecular weight of the protein may vary from the listed predicted molecular weight due to post translational modifications, post translation cleavages, relative charges, and other experimental factors.

Description

Novus Biologicals Rabbit ABHD18 Antibody - BSA Free (NBP3-47756) is a polyclonal antibody validated for use in IHC, WB, ELISA and ICC/IF. All Novus Biologicals antibodies are covered by our 100% guarantee.

Scientific Data Images for ABHD18 Antibody - BSA Free

ABHD18 Antibody - BSA Free

Western Blot: ABHD18 Antibody - BSA Free [NBP3-47756] -

Western Blot: ABHD18 Antibody - BSA Free [NBP3-47756] - PC-3 cells were subjected to SDS PAGE followed by western blot with (ABHD18 Antibody) at dilution of 1:600
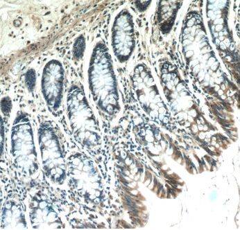
ABHD18 Antibody - BSA Free

Immunohistochemistry: ABHD18 Antibody - BSA Free [NBP3-47756] -

Immunohistochemistry: ABHD18 Antibody - BSA Free [NBP3-47756] - Immunohistochemistry of paraffin-embedded human colon tissue slide using (ABHD18 Antibody) at dilution of 1:50

Applications for ABHD18 Antibody - BSA Free

Application
Recommended Usage

Immunocytochemistry/ Immunofluorescence

1:20-1:200

Immunohistochemistry

1:20-1:200

Western Blot

1:500-1:2000

Formulation, Preparation, and Storage

Purification

Immunogen affinity purified

Formulation

PBS, 50% Glycerol, pH (7.3)

Format

BSA Free

Preservative

0.02% Sodium Azide

Concentration

Please see the vial label for concentration. If unlisted please contact technical services.

Shipping

The product is shipped with polar packs. Upon receipt, store it immediately at the temperature recommended below.

Stability & Storage

Store at -20C. Avoid freeze-thaw cycles.

Background: ABHD18

Alternate Names

C4orf29, chromosome 4 open reading frame 29, FLJ21106, hypothetical protein LOC80167, MGC149227, MGC149228

Gene Symbol

C4ORF29

Additional ABHD18 Products

Product Documents for ABHD18 Antibody - BSA Free

Certificate of Analysis

To download a Certificate of Analysis, please enter a lot number in the search box below.

Product Specific Notices for ABHD18 Antibody - BSA Free

This product is for research use only and is not approved for use in humans or in clinical diagnosis. Primary Antibodies are guaranteed for 1 year from date of receipt.

Loading...
Loading...
Loading...
Loading...