Skip to main content

ABHD18 Antibody - BSA Free

Novus Biologicals, part of Bio-Techne | Catalog # NBP2-30555

Novus Biologicals, part of Bio-Techne
Catalog #
Availability
Size / Price
Qty
Loading...
NBP2-30555
NBP2-30555-25ul

Key Product Details

Species Reactivity

Human

Applications

Immunohistochemistry, Immunohistochemistry-Paraffin, Western Blot

Label

Unconjugated

Antibody Source

Polyclonal Rabbit IgG

Format

BSA Free

Concentration

Concentrations vary lot to lot. See vial label for concentration. If unlisted please contact technical services.

Product Specifications

Immunogen

This antibody was developed against a recombinant protein corresponding to amino acids: NKSGYTSRNPQSYHLLSKEQSRNSLRKESLIFMKGVMDECTHVANFSVPVDPSLIIVVQAKEDAYIPRTGVRSLQEIWPGCEIRYL

Reactivity Notes

Immunogen displays the following percentage of sequence identity for non-tested species: Mouse (86%), Rat (88%)

Clonality

Polyclonal

Host

Rabbit

Isotype

IgG

Description

Novus Biologicals Rabbit ABHD18 Antibody - BSA Free (NBP2-30555) is a polyclonal antibody validated for use in IHC and WB. All Novus Biologicals antibodies are covered by our 100% guarantee.

Scientific Data Images for ABHD18 Antibody - BSA Free

ABHD18 Antibody - BSA Free

ABHD18 Antibody [NBP2-30555] -

Analysis in human cell line K562.
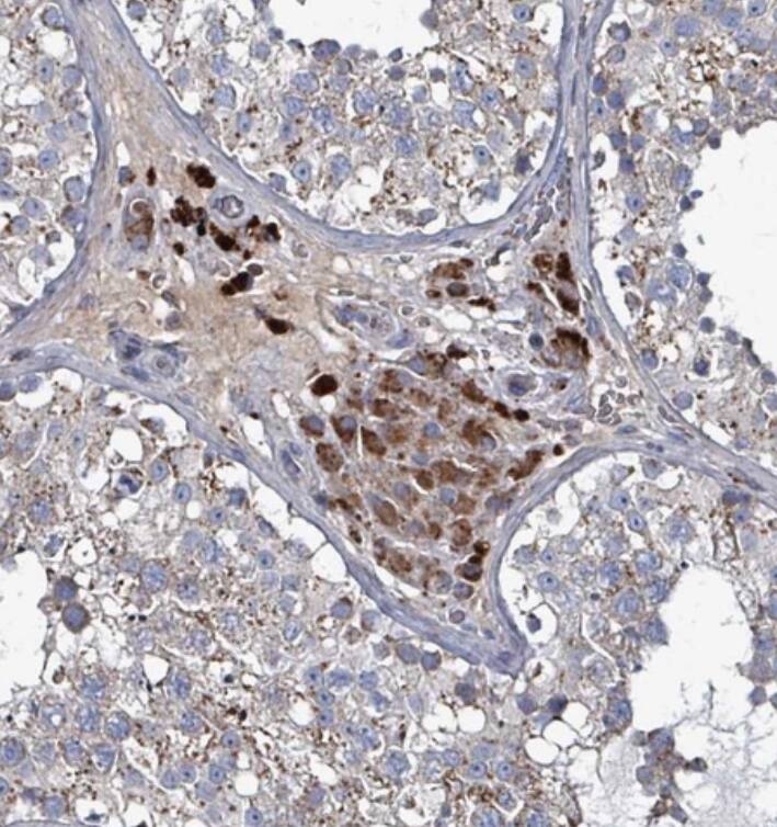
Immunohistochemistry-Paraffin: ABHD18 Antibody [NBP2-30555]

Immunohistochemistry-Paraffin: ABHD18 Antibody [NBP2-30555]

Immunohistochemistry-Paraffin: ABHD18 Antibody [NBP2-30555] - Staining of human kidney shows strong cytoplasmic positivity in cells in tubules.
ABHD18 Antibody - BSA Free

ABHD18 Antibody [NBP2-30555] -

Staining of human small intestine shows strong cytoplasmic positivity in goblet cells.

Applications for ABHD18 Antibody - BSA Free

Application
Recommended Usage

Immunohistochemistry

1:50 - 1:200

Immunohistochemistry-Paraffin

1:50 - 1:200

Western Blot

0.04-0.4 ug/ml
Application Notes
IHC-Paraffin, HIER pH 6 retrieval is recommended.

Formulation, Preparation, and Storage

Purification

Affinity purified

Formulation

PBS (pH 7.2) and 40% Glycerol

Format

BSA Free

Preservative

0.02% Sodium Azide

Concentration

Concentrations vary lot to lot. See vial label for concentration. If unlisted please contact technical services.

Shipping

The product is shipped with polar packs. Upon receipt, store it immediately at the temperature recommended below.

Stability & Storage

Store at 4C short term. Aliquot and store at -20C long term. Avoid freeze-thaw cycles.

Background: ABHD18

Alternate Names

C4orf29, chromosome 4 open reading frame 29, FLJ21106, hypothetical protein LOC80167, MGC149227, MGC149228

Gene Symbol

C4ORF29

UniProt

Additional ABHD18 Products

Product Documents for ABHD18 Antibody - BSA Free

Certificate of Analysis

To download a Certificate of Analysis, please enter a lot number in the search box below.

Product Specific Notices for ABHD18 Antibody - BSA Free

This product is for research use only and is not approved for use in humans or in clinical diagnosis. Primary Antibodies are guaranteed for 1 year from date of receipt.

Loading...
Loading...
Loading...
Loading...