Skip to main content

ABHD14B Antibody - BSA Free

Novus Biologicals, part of Bio-Techne | Catalog # NBP1-84473

Novus Biologicals, part of Bio-Techne
Catalog #
Availability
Size / Price
Qty
Loading...
NBP1-84473

Key Product Details

Species Reactivity

Human

Applications

Immunohistochemistry, Immunohistochemistry-Paraffin, Western Blot

Label

Unconjugated

Antibody Source

Polyclonal Rabbit IgG

Format

BSA Free

Concentration

Concentrations vary lot to lot. See vial label for concentration. If unlisted please contact technical services.

Product Specifications

Immunogen

This antibody was developed against Recombinant Protein corresponding to amino acids: MAASVEQREGTIQVQGQALFFREALPGSGQARFSVLLLHGIRFSSETWQNLGTLHRLAQAGYRAV

Reactivity Notes

Immunogen displays the following percentage of sequence identity for non-tested species: Mouse (80%), Rat (83%)

Clonality

Polyclonal

Host

Rabbit

Isotype

IgG

Description

Novus Biologicals Rabbit ABHD14B Antibody - BSA Free (NBP1-84473) is a polyclonal antibody validated for use in IHC and WB. All Novus Biologicals antibodies are covered by our 100% guarantee.

Scientific Data Images for ABHD14B Antibody - BSA Free

Western Blot: ABHD14B Antibody [NBP1-84473]

Western Blot: ABHD14B Antibody [NBP1-84473]

Western Blot: ABHD14B Antibody [NBP1-84473] - Analysis in control (vector only transfected HEK293T lysate) and ABHD14B over-expression lysate (Co-expressed with a C-terminal myc-DDK tag (3.1 kDa) in mammalian HEK293T cells).
ABHD14B Antibody - BSA Free Immunohistochemistry-Paraffin: ABHD14B Antibody - BSA Free [NBP1-84473]

Immunohistochemistry-Paraffin: ABHD14B Antibody - BSA Free [NBP1-84473]

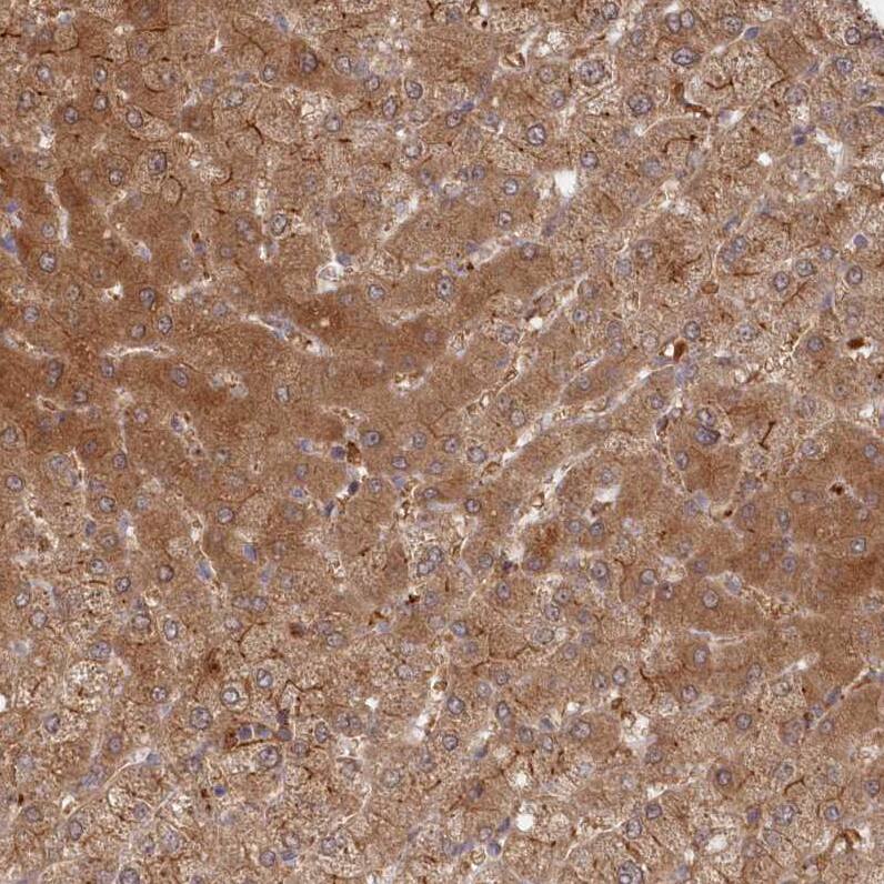
Staining of human liver shows moderate cytoplasmic positivity in hepatocytes.
ABHD14B Antibody - BSA Free Immunohistochemistry-Paraffin: ABHD14B Antibody - BSA Free [NBP1-84473]

Immunohistochemistry-Paraffin: ABHD14B Antibody - BSA Free [NBP1-84473]

Staining of human colon shows moderate cytoplasmic positivity in glandular cells.

Applications for ABHD14B Antibody - BSA Free

Application
Recommended Usage

Immunohistochemistry

1:20 - 1:50

Immunohistochemistry-Paraffin

1:20 - 1:50

Western Blot

0.04-0.4 ug/ml
Application Notes
For IHC-Paraffin, HIER pH 6 retrieval is recommended.

Formulation, Preparation, and Storage

Purification

Immunogen affinity purified

Formulation

PBS (pH 7.2) and 40% Glycerol

Format

BSA Free

Preservative

0.02% Sodium Azide

Concentration

Concentrations vary lot to lot. See vial label for concentration. If unlisted please contact technical services.

Shipping

The product is shipped with polar packs. Upon receipt, store it immediately at the temperature recommended below.

Stability & Storage

Store at 4C short term. Aliquot and store at -20C long term. Avoid freeze-thaw cycles.

Background: ABHD14B

ABHD14B has hydrolase activity towards p-nitrophenyl butyrate (in vitro). May activate transcription

Alternate Names

abhydrolase domain containing 14B, abhydrolase domain-containing protein 14B, CCG1-interacting factor B, CIBcell cycle gene 1-interacting factor B, EC 3.-, EC 3.1.11.6, EC 3.1.21.4, MGC15429

Gene Symbol

ABHD14B

Additional ABHD14B Products

Product Documents for ABHD14B Antibody - BSA Free

Certificate of Analysis

To download a Certificate of Analysis, please enter a lot number in the search box below.

Product Specific Notices for ABHD14B Antibody - BSA Free

This product is for research use only and is not approved for use in humans or in clinical diagnosis. Primary Antibodies are guaranteed for 1 year from date of receipt.

Loading...
Loading...
Loading...
Loading...