Skip to main content

ABHD12B Antibody - BSA Free

Novus Biologicals, part of Bio-Techne | Catalog # NBP1-88669

Novus Biologicals, part of Bio-Techne
Catalog #
Availability
Size / Price
Qty
Loading...
NBP1-88669
NBP1-88669-25ul

Key Product Details

Species Reactivity

Human

Applications

Immunohistochemistry, Immunohistochemistry-Paraffin, Western Blot

Label

Unconjugated

Antibody Source

Polyclonal Rabbit IgG

Format

BSA Free

Concentration

Concentrations vary lot to lot. See vial label for concentration. If unlisted please contact technical services.

Product Specifications

Immunogen

This antibody was developed against Recombinant Protein corresponding to amino acids: LGTGVATNAAKVLEEKGCPVDAIVLEAPFTNMWVASINYPLLKIYRNIPGFLRTLMDALRKDKIVFPNDENVKFLSSPLLILHGEDDRTVPLEYGKKLYEIARNAYRNKERVKMVIFPPGFQHNLLCKSPTLLITVRDFLSKQ

Reactivity Notes

Immunogen displays the following percentage of sequence identity for non-tested species: Mouse (80%)

Clonality

Polyclonal

Host

Rabbit

Isotype

IgG

Description

Novus Biologicals Rabbit ABHD12B Antibody - BSA Free (NBP1-88669) is a polyclonal antibody validated for use in IHC and WB. All Novus Biologicals antibodies are covered by our 100% guarantee.

Scientific Data Images for ABHD12B Antibody - BSA Free

Western Blot: ABHD12B Antibody [NBP1-88669]

Western Blot: ABHD12B Antibody [NBP1-88669]

Western Blot: ABHD12B Antibody [NBP1-88669] - Analysis in control (vector only transfected HEK293T lysate) and ABHD12B over-expression lysate (Co-expressed with a C-terminal myc-DDK tag (3.1 kDa) in mammalian HEK293T cells).
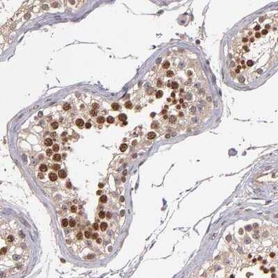
Immunohistochemistry-Paraffin: ABHD12B Antibody [NBP1-88669]

Immunohistochemistry-Paraffin: ABHD12B Antibody [NBP1-88669]

Immunohistochemistry-Paraffin: ABHD12B Antibody [NBP1-88669] - Staining of human testis shows strong nuclear positivity in cells of seminiferus ducts.

Applications for ABHD12B Antibody - BSA Free

Application
Recommended Usage

Immunohistochemistry

1:50 - 1:200

Immunohistochemistry-Paraffin

1:50 - 1:200

Western Blot

0.04 - 0.4 ug/ml
Application Notes
For IHC-Paraffin, HIER pH 6 retrieval is recommended.

Formulation, Preparation, and Storage

Purification

Immunogen affinity purified

Formulation

PBS (pH 7.2) and 40% Glycerol

Format

BSA Free

Preservative

0.02% Sodium Azide

Concentration

Concentrations vary lot to lot. See vial label for concentration. If unlisted please contact technical services.

Shipping

The product is shipped with polar packs. Upon receipt, store it immediately at the temperature recommended below.

Stability & Storage

Store at 4C short term. Aliquot and store at -20C long term. Avoid freeze-thaw cycles.

Background: ABHD12B

Alternate Names

abhydrolase domain containing 12B, abhydrolase domain-containing protein 12B, BEM46L3, c14_5314, C14orf29, chromosome 14 open reading frame 29, EC 3.-, MGC129926, MGC129927

Entrez Gene IDs

145447 (Human)

Gene Symbol

ABHD12B

UniProt

Additional ABHD12B Products

Product Documents for ABHD12B Antibody - BSA Free

Certificate of Analysis

To download a Certificate of Analysis, please enter a lot number in the search box below.

Product Specific Notices for ABHD12B Antibody - BSA Free

This product is for research use only and is not approved for use in humans or in clinical diagnosis. Primary Antibodies are guaranteed for 1 year from date of receipt.

Loading...
Loading...
Loading...
Loading...