ABHD10 Antibody - BSA Free
Novus Biologicals, part of Bio-Techne | Catalog # NBP1-83748
Key Product Details
Species Reactivity
Human
Applications
Immunohistochemistry, Immunohistochemistry-Paraffin, Western Blot
Label
Unconjugated
Antibody Source
Polyclonal Rabbit IgG
Format
BSA Free
Concentration
Concentrations vary lot to lot. See vial label for concentration. If unlisted please contact technical services.
Product Specifications
Immunogen
This antibody was developed against Recombinant Protein corresponding to amino acids: LLARIPQRAPRWLPACRQKTSLSFLNRPDLPNLAYKKLKGKSPGIIFIPGYLSYMNGTKALAIEEFCKSLGHACIRFDYSGVGSSDG
Reactivity Notes
Immunogen displays the following percentage of sequence identity for non-tested species: Mouse (80%)
Clonality
Polyclonal
Host
Rabbit
Isotype
IgG
Description
Novus Biologicals Rabbit ABHD10 Antibody - BSA Free (NBP1-83748) is a polyclonal antibody validated for use in IHC and WB. All Novus Biologicals antibodies are covered by our 100% guarantee.
Scientific Data Images for ABHD10 Antibody - BSA Free
Immunohistochemistry-Paraffin: ABHD10 Antibody - BSA Free [NBP1-83748]
Staining of human pancreas shows strong granular cytoplasmic positivity in exocrine glandular cells.Immunohistochemistry-Paraffin: ABHD10 Antibody - BSA Free [NBP1-83748]
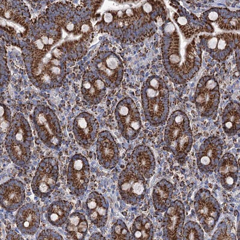
Staining of human duodenum shows strong granular cytoplasmic positivity in glandular cells.Immunohistochemistry-Paraffin: ABHD10 Antibody - BSA Free [NBP1-83748]
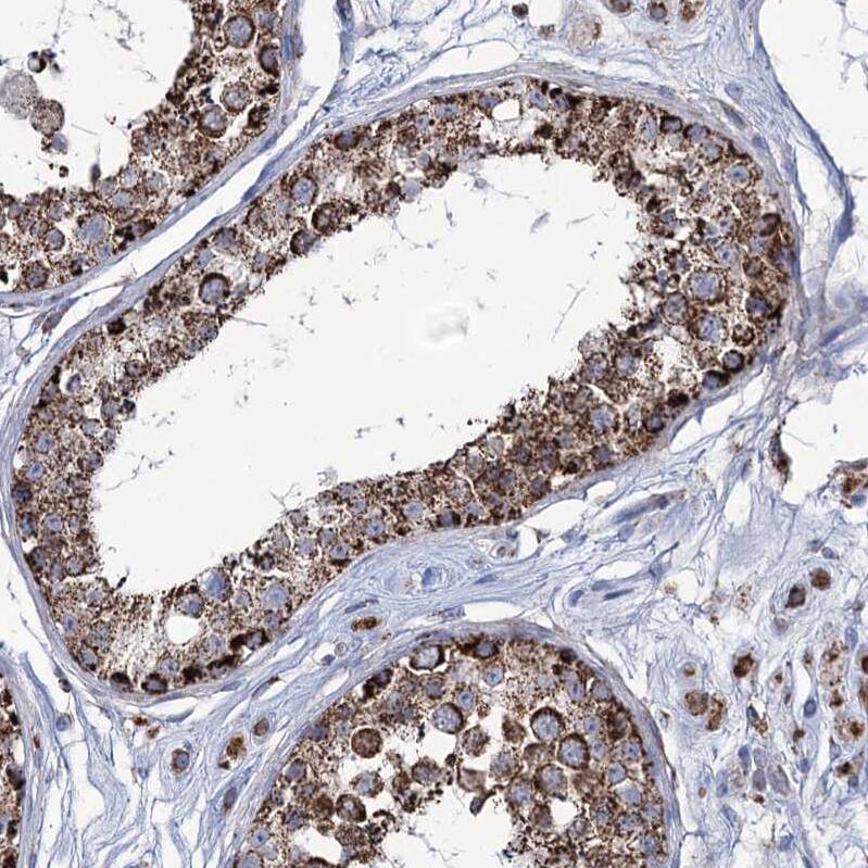
Staining of human testis shows strong granular cytoplasmic positivity in seminiferous ducts.Applications for ABHD10 Antibody - BSA Free
Application
Recommended Usage
Immunohistochemistry
1:20 - 1:50
Immunohistochemistry-Paraffin
1:20 - 1:50
Western Blot
0.04-0.4 ug/ml
Application Notes
For IHC-Paraffin, HIER pH 6 retrieval is recommended.
Formulation, Preparation, and Storage
Purification
Immunogen affinity purified
Formulation
PBS (pH 7.2) and 40% Glycerol
Format
BSA Free
Preservative
0.02% Sodium Azide
Concentration
Concentrations vary lot to lot. See vial label for concentration. If unlisted please contact technical services.
Shipping
The product is shipped with polar packs. Upon receipt, store it immediately at the temperature recommended below.
Stability & Storage
Store at 4C short term. Aliquot and store at -20C long term. Avoid freeze-thaw cycles.
Background: ABHD10
Alternate Names
abhydrolase domain containing 10, EC 3.4, FLJ11342, mitochondrial
Entrez Gene IDs
55347 (Human)
Gene Symbol
ABHD10
UniProt
Additional ABHD10 Products
Product Documents for ABHD10 Antibody - BSA Free
Product Specific Notices for ABHD10 Antibody - BSA Free
This product is for research use only and is not approved for use in humans or in clinical diagnosis. Primary Antibodies are guaranteed for 1 year from date of receipt.
Loading...
Loading...
Loading...
Loading...