Skip to main content

ABCG5 Antibody - BSA Free

Novus Biologicals, part of Bio-Techne | Catalog # NBP3-41527

Novus Biologicals, part of Bio-Techne
Catalog #
Availability
Size / Price
Qty
Loading...
NBP3-41527

Key Product Details

Species Reactivity

Mouse, Rat

Applications

Immunohistochemistry, Western Blot

Label

Unconjugated

Antibody Source

Polyclonal Rabbit

Format

BSA Free

Concentration

1 mg/ml

Product Specifications

Immunogen

Immunized with recombinant Mouse ABCG5 (Uniprot#: Q99PE8; Asp66-Gly276 (Uniprot#: Q99PE8)

Clonality

Polyclonal

Host

Rabbit

Description

Novus Biologicals Rabbit ABCG5 Antibody - BSA Free (NBP3-41527) is a polyclonal antibody validated for use in IHC and WB. All Novus Biologicals antibodies are covered by our 100% guarantee.

Scientific Data Images for ABCG5 Antibody - BSA Free

ABCG5 Antibody

Western Blot: ABCG5 Antibody [NBP3-41527] -

Western Blot: ABCG5 Antibody [NBP3-41527] - Sample: Recombinant ABCG5, Mouse.
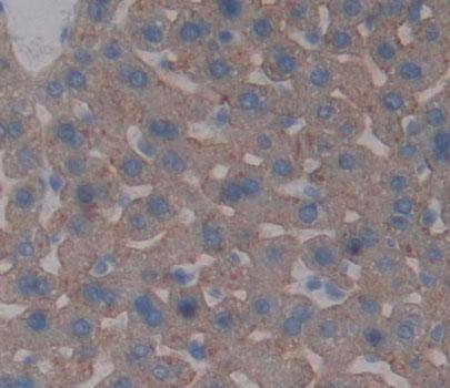
ABCG5 Antibody

Immunohistochemistry-Paraffin: ABCG5 Antibody [NBP3-41527] -

Immunohistochemistry-Paraffin: ABCG5 Antibody [NBP3-41527] - Used in DAB staining on fromalin fixed paraffin- embedded liver tissue

Applications for ABCG5 Antibody - BSA Free

Application
Recommended Usage

Immunohistochemistry

5-20ug/mL

Western Blot

0.5-2ug/mL

Formulation, Preparation, and Storage

Purification

Antigen and protein A Affinity-purified

Formulation

0.01M PBS, pH7.4, 50% glycerol

Format

BSA Free

Preservative

0.05% Proclin 300

Concentration

1 mg/ml

Shipping

The product is shipped with polar packs. Upon receipt, store it immediately at the temperature recommended below.

Stability & Storage

Store at 4C short term. Aliquot and store at -20C long term. Avoid freeze-thaw cycles.

Background: ABCG5

The protein encoded by the ABCG5 gene is a member of the superfamily of ATP-binding cassette (ABC) transporters. ABCproteins transport various molecules across extra- and intra-cellular membranes. ABC genes are divided into sevendistinct subfamilies (ABC1, MDR/TAP, MRP, ALD, OABP, GCN20, White). This protein is a member of the White subfamily.The protein encoded by this gene functions as a half-transporter to limit intestinal absorption and promote biliaryexcretion of sterols. It is expressed in a tissue-specific manner in the liver, colon, and intestine. This gene istandemly arrayed on chromosome 2, in a head-to-head orientation with family member ABCG8. Mutations in this gene maycontribute to sterol accumulation and atheroschlerosis, and have been observed in patients with sitosterolemia.(provided by RefSeq)

Alternate Names

ATP-binding cassette sub-family G member 5, ATP-binding cassette, sub-family G (WHITE), member 5, ATP-binding cassette, subfamily G, member 5, sterolin 1, Sterolin-1, STSL

Gene Symbol

ABCG5

Additional ABCG5 Products

Product Documents for ABCG5 Antibody - BSA Free

Certificate of Analysis

To download a Certificate of Analysis, please enter a lot number in the search box below.

Product Specific Notices for ABCG5 Antibody - BSA Free

This product is for research use only and is not approved for use in humans or in clinical diagnosis. Primary Antibodies are guaranteed for 1 year from date of receipt.

Loading...
Loading...
Loading...
Loading...