Skip to main content

ABCG4 Antibody - BSA Free

Novus Biologicals, part of Bio-Techne | Catalog # NBP3-41376

Novus Biologicals, part of Bio-Techne
Catalog #
Availability
Size / Price
Qty
Loading...
NBP3-41376

Key Product Details

Species Reactivity

Human, Mouse, Rat, Porcine

Applications

Immunohistochemistry, Immunohistochemistry-Paraffin, Western Blot

Label

Unconjugated

Antibody Source

Polyclonal Rabbit

Format

BSA Free

Concentration

0.5 mg/ml

Product Specifications

Immunogen

Immunized with recombinant Human ABCG4 (Uniprot#: Q9H172; Val59-Thr301 (Uniprot#: Q9H172)

Clonality

Polyclonal

Host

Rabbit

Description

Novus Biologicals Rabbit ABCG4 Antibody - BSA Free (NBP3-41376) is a polyclonal antibody validated for use in IHC and WB. All Novus Biologicals antibodies are covered by our 100% guarantee.

Scientific Data Images for ABCG4 Antibody - BSA Free

ABCG4 Antibody

Western Blot: ABCG4 Antibody [NBP3-41376] -

Western Blot: ABCG4 Antibody [NBP3-41376] - Sample: Recombinant protein.
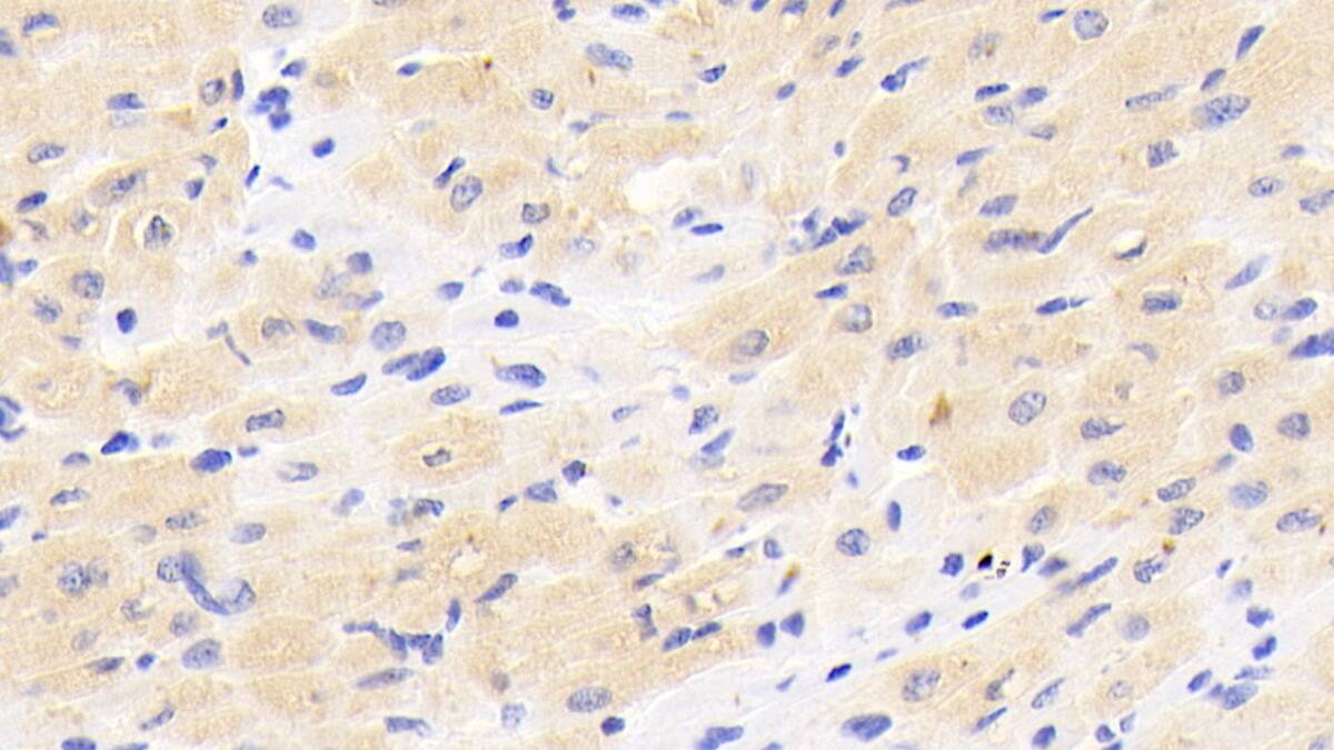
ABCG4 Antibody

Immunohistochemistry-Paraffin: ABCG4 Antibody [NBP3-41376] -

Immunohistochemistry-Paraffin: ABCG4 Antibody [NBP3-41376] - DAB staining on IHC-P; Samples: Human Cardiac Muscle Tissue; Primary Ab: 20ug/ml NBP3-41376; Second Ab: 2ug/mL HRP-Linked Caprine Anti-Rabbit IgG Polyclonal Antibody
ABCG4 Antibody

Western Blot: ABCG4 Antibody [NBP3-41376] -

Western Blot: ABCG4 Antibody [NBP3-41376] - Sample: Human Hela cell lysate; Primary Ab: 1ug/ml NBP3-41376; Second Ab: 0.2ug/mL HRP-Linked Caprine Anti-Rabbit IgG Polyclonal Antibody

Applications for ABCG4 Antibody - BSA Free

Application
Recommended Usage

Immunohistochemistry

5-20ug/mL

Immunohistochemistry-Paraffin

5-20ug/mL

Western Blot

0.2-2ug/mL

Formulation, Preparation, and Storage

Purification

Antigen and protein A Affinity-purified

Formulation

PBS, pH7.4, 50% glycerol

Format

BSA Free

Preservative

0.02% Sodium Azide

Concentration

0.5 mg/ml

Shipping

The product is shipped with polar packs. Upon receipt, store it immediately at the temperature recommended below.

Stability & Storage

Store at 4C short term. Aliquot and store at -20C long term. Avoid freeze-thaw cycles.

Background: ABCG4

ABCG4 is encoded by this gene is included in the superfamily of ATP-binding cassette (ABC) transporters. ABC proteins transport various molecules across extra- and intra-cellular membranes. ABC genes are divided into seven distinct subfamilies (ABC1, MDR/TAP, MRP, ALD, OABP, GCN20, White). This protein is a member of the White subfamily and is expressed predominantly in liver tissue. The function has not yet been determined but may involve cholesterol transport. Alternate splice variants have been described but their full length sequences have not been determined.

Alternate Names

ATP-binding cassette, sub-family G (WHITE), member 4, ATP-binding cassette, subfamily G, member 4, putative ABC transporter, WHITE2ATP-binding cassette sub-family G member 4

Gene Symbol

ABCG4

Additional ABCG4 Products

Product Documents for ABCG4 Antibody - BSA Free

Certificate of Analysis

To download a Certificate of Analysis, please enter a lot number in the search box below.

Product Specific Notices for ABCG4 Antibody - BSA Free

This product is for research use only and is not approved for use in humans or in clinical diagnosis. Primary Antibodies are guaranteed for 1 year from date of receipt.

Loading...
Loading...
Loading...
Loading...