Skip to main content

ABCG4 Antibody - BSA Free

Novus Biologicals, part of Bio-Techne | Catalog # NBP3-17072

Novus Biologicals, part of Bio-Techne
Catalog #
Availability
Size / Price
Qty
Loading...
NBP3-17072-100ul
NBP3-17072-25ul

Key Product Details

Validated by

Orthogonal Validation

Species Reactivity

Validated:

Human

Predicted:

Mouse (100%), Rat (98%). Backed by our 100% Guarantee.

Applications

Immunohistochemistry, Immunohistochemistry-Paraffin

Label

Unconjugated

Antibody Source

Polyclonal Rabbit IgG

Format

BSA Free

Concentration

Concentrations vary lot to lot. See vial label for concentration. If unlisted please contact technical services.

Product Specifications

Immunogen

This antibody was developed against Recombinant Protein corresponding to amino acids: MAEKALEAVGCGLGPGAVAMAVTLEDGAEPPVLTTHLKKVENHITEAQRFSH

Clonality

Polyclonal

Host

Rabbit

Isotype

IgG

Description

Novus Biologicals Rabbit ABCG4 Antibody - BSA Free (NBP3-17072) is a polyclonal antibody validated for use in IHC. All Novus Biologicals antibodies are covered by our 100% guarantee.

Scientific Data Images for ABCG4 Antibody - BSA Free

Immunohistochemistry-Paraffin: ABCG4 Antibody [NBP3-17072]

Immunohistochemistry-Paraffin: ABCG4 Antibody [NBP3-17072]

Immunohistochemistry-Paraffin: ABCG4 Antibody [NBP3-17072] - Staining of human cerebral cortex shows high expression.
Immunohistochemistry-Paraffin: ABCG4 Antibody [NBP3-17072]

Immunohistochemistry-Paraffin: ABCG4 Antibody [NBP3-17072]

Immunohistochemistry-Paraffin: ABCG4 Antibody [NBP3-17072] - Analysis in human cerebral cortex and liver tissues using Anti-ABCG4 antibody. Corresponding ABCG4 RNA-seq data are presented for the same tissues.
Immunohistochemistry-Paraffin: ABCG4 Antibody [NBP3-17072]

Immunohistochemistry-Paraffin: ABCG4 Antibody [NBP3-17072]

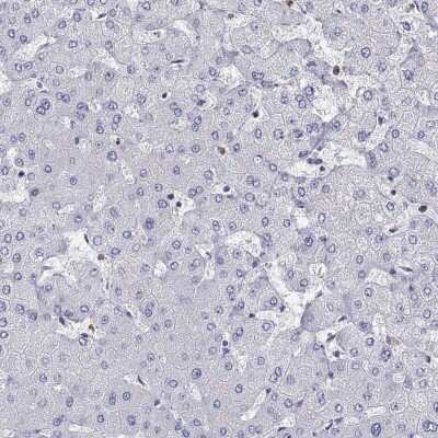
Immunohistochemistry-Paraffin: ABCG4 Antibody [NBP3-17072] - Staining of human liver shows low expression as expected.

Applications for ABCG4 Antibody - BSA Free

Application
Recommended Usage

Immunohistochemistry

1:200 - 1:500

Immunohistochemistry-Paraffin

1:200 - 1:500
Application Notes
For IHC-Paraffin, HIER pH 6 retrieval is recommended.

Formulation, Preparation, and Storage

Purification

Affinity purified

Formulation

PBS (pH 7.2) and 40% Glycerol

Format

BSA Free

Preservative

0.02% Sodium Azide

Concentration

Concentrations vary lot to lot. See vial label for concentration. If unlisted please contact technical services.

Shipping

The product is shipped with polar packs. Upon receipt, store it immediately at the temperature recommended below.

Stability & Storage

Store at 4C short term. Aliquot and store at -20C long term. Avoid freeze-thaw cycles.

Background: ABCG4

ABCG4 is encoded by this gene is included in the superfamily of ATP-binding cassette (ABC) transporters. ABC proteins transport various molecules across extra- and intra-cellular membranes. ABC genes are divided into seven distinct subfamilies (ABC1, MDR/TAP, MRP, ALD, OABP, GCN20, White). This protein is a member of the White subfamily and is expressed predominantly in liver tissue. The function has not yet been determined but may involve cholesterol transport. Alternate splice variants have been described but their full length sequences have not been determined.

Alternate Names

ATP-binding cassette, sub-family G (WHITE), member 4, ATP-binding cassette, subfamily G, member 4, putative ABC transporter, WHITE2ATP-binding cassette sub-family G member 4

Gene Symbol

ABCG4

Additional ABCG4 Products

Product Documents for ABCG4 Antibody - BSA Free

Certificate of Analysis

To download a Certificate of Analysis, please enter a lot number in the search box below.

Product Specific Notices for ABCG4 Antibody - BSA Free

This product is for research use only and is not approved for use in humans or in clinical diagnosis. Primary Antibodies are guaranteed for 1 year from date of receipt.

Loading...
Loading...
Loading...
Loading...