ABCG1 Antibody - BSA Free
Novus Biologicals, part of Bio-Techne | Catalog # NBP2-54682
Key Product Details
Species Reactivity
Human
Applications
Validated:
Immunohistochemistry, Immunohistochemistry-Paraffin, Western Blot
Cited:
Western Blot
Label
Unconjugated
Antibody Source
Polyclonal Rabbit IgG
Format
BSA Free
Concentration
Concentrations vary lot to lot. See vial label for concentration. If unlisted please contact technical services.
Product Specifications
Immunogen
This antibody was developed against a Recombinant Protein corresponding to amino acids: EYGDQNSRLVRAVREGMCDSDHKRDLGGDAEVNPFLWHRPSEEVKQTKRLKGLRKDSSSMEGCHSFSASCL
Clonality
Polyclonal
Host
Rabbit
Isotype
IgG
Theoretical MW
75.59 kDa.
Disclaimer note: The observed molecular weight of the protein may vary from the listed predicted molecular weight due to post translational modifications, post translation cleavages, relative charges, and other experimental factors.
Disclaimer note: The observed molecular weight of the protein may vary from the listed predicted molecular weight due to post translational modifications, post translation cleavages, relative charges, and other experimental factors.
Scientific Data Images for ABCG1 Antibody - BSA Free
Western Blot: ABCG1 Antibody [NBP2-54682]
Western Blot: ABCG1 Antibody [NBP2-54682] - Analysis in human cell line Daudi.Immunohistochemistry-Paraffin: ABCG1 Antibody [NBP2-54682]
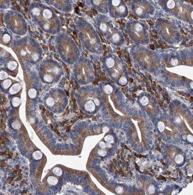
Immunohistochemistry-Paraffin: ABCG1 Antibody [NBP2-54682] - Staining of human duodenum shows moderate cytoplasmic positivity in glandular cells.Applications for ABCG1 Antibody - BSA Free
Application
Recommended Usage
Immunohistochemistry
1:50 - 1:200
Immunohistochemistry-Paraffin
1:50 - 1:200
Western Blot
0.04-0.4 ug/ml
Application Notes
For IHC-Paraffin, HIER pH 6 retrieval is recommended.
Reviewed Applications
Read 1 review rated 5 using NBP2-54682 in the following applications:
Formulation, Preparation, and Storage
Purification
Affinity purified
Formulation
PBS (pH 7.2) and 40% Glycerol
Format
BSA Free
Preservative
0.02% Sodium Azide
Concentration
Concentrations vary lot to lot. See vial label for concentration. If unlisted please contact technical services.
Shipping
The product is shipped with polar packs. Upon receipt, store it immediately at the temperature recommended below.
Stability & Storage
Store at 4C short term. Aliquot and store at -20C long term. Avoid freeze-thaw cycles.
Background: ABCG1
A variety of cardiovascular and cardiometabolic diseases are associated with ABCG1 dysfunction (5-7). Macrophages can become cholesterol-containing foam cells that are generated by the uptake of low-density lipoproteins (LDL), cholesterol esterification, and compromised cholesterol efflux machinery in transporters like ABCG1 and ABCA1 (2, 5, 6, 7). Foam cells are associated with the chronic, inflammatory disease atherosclerosis which is characterized by arterial buildup of plaques that can ultimately lead to cardiovascular disease (5, 6, 7). Additionally, ABCG1 has a critical role in cardiometabolic disorders. Studies have found that diabetic mice have decreased ABCG1 expression (8). Furthermore, loss of ABCG1 in mouse pancreatic beta cells ultimately leads to impaired insulin secretion, suggesting that inhibition or modulation of ABCG1 may contribute to development of diabetes and obesity (8). Finally, other related ATP-binding cassette transporter family members, such as ABCA1 and ABCG5/8, have been associated with genetically-inherited syndromes like Tangier disease, characterized by reduced levels of HDL in the blood, and Sitosterolemia, characterized by elevated plant sterol lipid accumulation in blood and tissues (7). .
Alternate names for ABCG1 includes ABC transporter 8 (ABC8), ATP-binding cassette transporter, anti-, sub-family G (WHITE), homolog of Drosophila white, and MGC34313. .
References
1. Tarling E. J. (2013). Expanding roles of ABCG1 and sterol transport. Current opinion in lipidology. https://doi.org/10.1097/MOL.0b013e32835da122.
2. Tarr, P. T., Tarling, E. J., Bojanic, D. D., Edwards, P. A., & Baldan, A. (2009). Emerging new paradigms for ABCG transporters. Biochimica et biophysica acta.https://doi.org/10.1016/j.bbalip.2009.01.007.
3. Tarling, E. J., & Edwards, P. A. (2011). ATP binding cassette transporter G1 (ABCG1) is an intracellular sterol transporter. Proceedings of the National Academy of Sciences of the United States of America. https://doi.org/10.1073/pnas.1113021108.
4. Phillips M. C. (2014). Molecular mechanisms of cellular cholesterol efflux. The Journal of biological chemistry, 289(35), 24020-24029. https://doi.org/10.1074/jbc.R114.583658.
5. Ouimet, M., Barrett, T. J., & Fisher, E. A. (2019). HDL and Reverse Cholesterol Transport. Circulation research. https://doi.org/10.1161/CIRCRESAHA.119.312617.
6. Yu, X. H., Fu, Y. C., Zhang, D. W., Yin, K., & Tang, C. K. (2013). Foam cells in atherosclerosis. Clinica chimica acta; international journal of clinical chemistry. https://doi.org/10.1016/j.cca.2013.06.006
Long Name
ATP-binding Cassette, Sub-family G (WHITE), Member 1
Alternate Names
ABC8, WHITE1, WHT1
Gene Symbol
ABCG1
Additional ABCG1 Products
Product Documents for ABCG1 Antibody - BSA Free
Product Specific Notices for ABCG1 Antibody - BSA Free
This product is for research use only and is not approved for use in humans or in clinical diagnosis. Primary Antibodies are guaranteed for 1 year from date of receipt.
Loading...
Loading...
Loading...
Loading...