Skip to main content

ABCF3 Antibody - Azide and BSA Free

Novus Biologicals, part of Bio-Techne | Catalog # NBP2-92211

Novus Biologicals, part of Bio-Techne
Catalog #
Availability
Size / Price
Qty
Loading...
NBP2-92211-0.02ml
NBP2-92211-0.1ml

Key Product Details

Species Reactivity

Human, Mouse, Rat

Applications

Immunohistochemistry, Immunohistochemistry-Paraffin, Western Blot

Label

Unconjugated

Antibody Source

Polyclonal Rabbit IgG

Format

Azide and BSA Free

Concentration

Please see the vial label for concentration. If unlisted please contact technical services.

Product Specifications

Immunogen

Recombinant fusion protein containing a sequence corresponding to amino acids 1-200 of human ABCF3 (NP_060828.2). MATCAEILRSEFPEIDGQVFDYVTGVLHSGSADFESVDDLVEAVGELLQEVSGDSKDDAGIRAVCQRMYNTLRLAEPQSQGNSQVLLDAPIQLSKITENYDCGTKLPGLLKREQSSTVNAKKLEKAEARLKAKQEKRSEKDTLKTSNPLVLEEASASQAGSRKESRLESSGKNKSYDVRIENFDVSFGDRVLLAGADVNL

Clonality

Polyclonal

Host

Rabbit

Isotype

IgG

Description

Novus Biologicals Rabbit ABCF3 Antibody - Azide and BSA Free (NBP2-92211) is a polyclonal antibody validated for use in IHC and WB. All Novus Biologicals antibodies are covered by our 100% guarantee.

Scientific Data Images for ABCF3 Antibody - Azide and BSA Free

Western Blot: ABCF3 AntibodyAzide and BSA Free [NBP2-92211]

Western Blot: ABCF3 AntibodyAzide and BSA Free [NBP2-92211]

Western Blot: ABCF3 Antibody [NBP2-92211] - Analysis of extracts of various cell lines, using ABCF3 at 1:1000 dilution.Secondary antibody: HRP Goat Anti-Rabbit IgG (H+L) at 1:10000 dilution.Lysates/proteins: 25ug per lane.Blocking buffer: 3% nonfat dry milk in TBST.Detection: ECL Basic Kit .Exposure time: 30s.
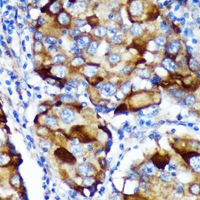
Immunohistochemistry-Paraffin: ABCF3 Antibody - Azide and BSA Free [NBP2-92211]

Immunohistochemistry-Paraffin: ABCF3 Antibody - Azide and BSA Free [NBP2-92211]

Immunohistochemistry-Paraffin: ABCF3 Antibody [NBP2-92211] - Immunohistochemistry of paraffin-embedded Human breast cancer using ABCF3 Rabbit pAb (NBP2-92211) at dilution of 1:100 (40x lens). Perform microwave antigen retrieval with 10 mM PBS buffer pH 7.2 before commencing with IHC staining protocol.

Applications for ABCF3 Antibody - Azide and BSA Free

Application
Recommended Usage

Immunohistochemistry

1:50-1:200

Western Blot

1:500-1:2000

Formulation, Preparation, and Storage

Purification

Affinity purified

Formulation

PBS (pH 7.3), 50% glycerol

Format

Azide and BSA Free

Preservative

0.01% Thimerosal

Concentration

Please see the vial label for concentration. If unlisted please contact technical services.

Shipping

The product is shipped with polar packs. Upon receipt, store it immediately at the temperature recommended below.

Stability & Storage

Store at -20C. Avoid freeze-thaw cycles.

Background: ABCF3

Alternate Names

ATP-binding cassette sub-family F member 3, ATP-binding cassette, sub-family F (GCN20), member 3, EC 3.6.3, EC 3.6.3.17, EST201864, FLJ11198

Gene Symbol

ABCF3

Additional ABCF3 Products

Product Documents for ABCF3 Antibody - Azide and BSA Free

Certificate of Analysis

To download a Certificate of Analysis, please enter a lot number in the search box below.

Product Specific Notices for ABCF3 Antibody - Azide and BSA Free

This product is for research use only and is not approved for use in humans or in clinical diagnosis. Primary Antibodies are guaranteed for 1 year from date of receipt.

Loading...
Loading...
Loading...
Loading...

⚠ WARNING: This product can expose you to chemicals including Methotrexate, which is known to the State of California to cause reproductive toxicity with developmental effects. For more information, go to www.P65Warnings.ca.gov