Skip to main content

ABCB8 Antibody - BSA Free

Novus Biologicals, part of Bio-Techne | Catalog # NBP1-91643

Novus Biologicals, part of Bio-Techne
Catalog #
Availability
Size / Price
Qty
Loading...
NBP1-91643
NBP1-91643-25ul

Key Product Details

Species Reactivity

Human

Applications

Immunohistochemistry, Immunohistochemistry-Paraffin, Immunocytochemistry/ Immunofluorescence

Label

Unconjugated

Antibody Source

Polyclonal Rabbit IgG

Format

BSA Free

Concentration

Concentrations vary lot to lot. See vial label for concentration. If unlisted please contact technical services.

Product Specifications

Immunogen

This antibody was developed against Recombinant Protein corresponding to amino acids: LFRVGIRGGPFPGRLLPPLRFQTFSAVRYSDGYRSSSLLRAVAHLRSQLWAHLPRAPLAPRWSPSAWCWVGGALLGPMVLSKHPHLCLVALCEAEEAPPASSTPHVVGSRFNWKLFWQFL

Clonality

Polyclonal

Host

Rabbit

Isotype

IgG

Scientific Data Images for ABCB8 Antibody - BSA Free

Immunocytochemistry/ Immunofluorescence: ABCB8 Antibody [NBP1-91643]

Immunocytochemistry/ Immunofluorescence: ABCB8 Antibody [NBP1-91643]

Immunocytochemistry/Immunofluorescence: ABCB8 Antibody [NBP1-91643] - Immunofluorescent staining of human cell line U-251 MG shows localization to nucleus & mitochondria.
Immunohistochemistry-Paraffin: ABCB8 Antibody [NBP1-91643]

Immunohistochemistry-Paraffin: ABCB8 Antibody [NBP1-91643]

Immunohistochemistry-Paraffin: ABCB8 Antibody [NBP1-91643] - Staining of human skin shows strong cytoplasmic positivity in squamous epithelial cells.
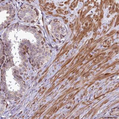
Immunohistochemistry-Paraffin: ABCB8 Antibody [NBP1-91643]

Immunohistochemistry-Paraffin: ABCB8 Antibody [NBP1-91643]

Immunohistochemistry-Paraffin: ABCB8 Antibody [NBP1-91643] - Staining of human prostate shows moderate cytoplasmic positivity in smooth muscle cells and in a subset of glandular cells.

Applications for ABCB8 Antibody - BSA Free

Application
Recommended Usage

Immunocytochemistry/ Immunofluorescence

0.25-2 ug/ml

Immunohistochemistry

1:200 - 1:500

Immunohistochemistry-Paraffin

1:200 - 1:500
Application Notes
For IHC-Paraffin, HIER pH 6 retrieval method is recommended. ICC/IF, Fixation Permeabilization: Use PFA/Triton X-100.

Formulation, Preparation, and Storage

Purification

Affinity purified

Formulation

PBS (pH 7.2) and 40% Glycerol

Format

BSA Free

Preservative

0.02% Sodium Azide

Concentration

Concentrations vary lot to lot. See vial label for concentration. If unlisted please contact technical services.

Shipping

The product is shipped with polar packs. Upon receipt, store it immediately at the temperature recommended below.

Stability & Storage

Store at 4C short term. Aliquot and store at -20C long term. Avoid freeze-thaw cycles.

Background: ABCB8

The membrane-associated protein encoded by this gene is a member of the superfamily of ATP-binding cassette (ABC) transporters. ABC proteins transport various molecules across extra- and intra-cellular membranes. ABC genes are divided into seven distinct subfamilies (ABC1, MDR/TAP, MRP, ALD, OABP, GCN20, White). This protein is a member of the MDR/TAP subfamily. Members of the MDR/TAP subfamily are involved in multidrug resistance as well as antigen presentation. The function of this half-transporter has not yet been determined; however, it may involve the compartmentalization and transport of heme, as well as peptides, from the mitochondria to the nucleus and cytosol. This protein may also play a role in the transport of phospholipids into mitochondrial membranes.

Alternate Names

ATP-binding cassette, sub-family B (MDR/TAP), member 8, EC 3.6.3, EST328128, M-ABC1mitochondrial ABC protein, mitochondrial, Mitochondrial ATP-binding cassette 1

Entrez Gene IDs

11194 (Human)

Gene Symbol

ABCB8

UniProt

Additional ABCB8 Products

Product Documents for ABCB8 Antibody - BSA Free

Certificate of Analysis

To download a Certificate of Analysis, please enter a lot number in the search box below.

Product Specific Notices for ABCB8 Antibody - BSA Free

This product is for research use only and is not approved for use in humans or in clinical diagnosis. Primary Antibodies are guaranteed for 1 year from date of receipt.

Loading...
Loading...
Loading...
Loading...
Loading...