Skip to main content

ABCB6 Antibody - BSA Free

Novus Biologicals, part of Bio-Techne | Catalog # NBP3-48251

Novus Biologicals, part of Bio-Techne
Catalog #
Availability
Size / Price
Qty
Loading...
NBP3-48251

Key Product Details

Species Reactivity

Human

Applications

ELISA, Immunocytochemistry/ Immunofluorescence, Immunohistochemistry, Western Blot

Label

Unconjugated

Antibody Source

Polyclonal Rabbit IgG

Format

BSA Free

Concentration

Please see the vial label for concentration. If unlisted please contact technical services.

Product Specifications

Immunogen

ATP-binding cassette, sub-family B(MDR/TAP), member 6. (Uniprot# Q9NP58)

Clonality

Polyclonal

Host

Rabbit

Isotype

IgG

Theoretical MW

94 kDa.
Disclaimer note: The observed molecular weight of the protein may vary from the listed predicted molecular weight due to post translational modifications, post translation cleavages, relative charges, and other experimental factors.

Description

Novus Biologicals Rabbit ABCB6 Antibody - BSA Free (NBP3-48251) is a polyclonal antibody validated for use in IHC, WB, ELISA and ICC/IF. All Novus Biologicals antibodies are covered by our 100% guarantee.

Scientific Data Images for ABCB6 Antibody - BSA Free

ABCB6 Antibody - BSA Free

Western Blot: ABCB6 Antibody - BSA Free [NBP3-48251] -

Western Blot: ABCB6 Antibody - BSA Free [NBP3-48251] - Raji cells were subjected to SDS PAGE followed by western blot with (ABCB6 antibody) at dilution of 1:500
ABCB6 Antibody - BSA Free

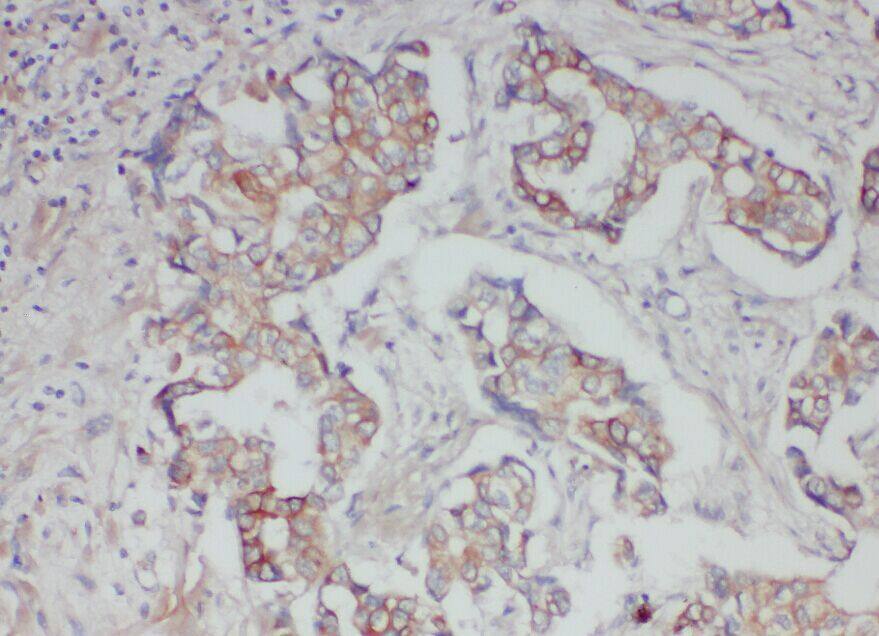
Immunohistochemistry: ABCB6 Antibody - BSA Free [NBP3-48251] -

Immunohistochemistry: ABCB6 Antibody - BSA Free [NBP3-48251] - Immunohistochemistry of paraffin-embedded human breast cancer using (ABCB6 antibody) at dilution of 1:50

Applications for ABCB6 Antibody - BSA Free

Application
Recommended Usage

Immunocytochemistry/ Immunofluorescence

1:20-1:200

Immunohistochemistry

1:20-1:200

Western Blot

1:500-1:5000

Formulation, Preparation, and Storage

Purification

Immunogen affinity purified

Formulation

PBS, 50% Glycerol, pH (7.3)

Format

BSA Free

Preservative

0.02% Sodium Azide

Concentration

Please see the vial label for concentration. If unlisted please contact technical services.

Shipping

The product is shipped with polar packs. Upon receipt, store it immediately at the temperature recommended below.

Stability & Storage

Store at -20C. Avoid freeze-thaw cycles.

Background: ABCB6

"The membrane-associated protein encoded by this gene is a member of the superfamily of ATP-binding cassette (ABC) transporters. ABC proteins transport various molecules across extra- and intra-cellular membranes. ABC genes are divided into seven distinct subfamilies (ABC1, MDR/TAP, MRP, ALD, OABP, GCN20, White). This protein is a member of the MDR/TAP subfamily. Members of the MDR/TAP subfamily are involved in multidrug resistance as well as antigen

Long Name

ATP-binding Cassette, Sub-family B (MDR/TAP), Member 6

Alternate Names

ABC14, LAN, MCOPCB7, MTABC3, Umat

Gene Symbol

ABCB6

Additional ABCB6 Products

Product Documents for ABCB6 Antibody - BSA Free

Certificate of Analysis

To download a Certificate of Analysis, please enter a lot number in the search box below.

Product Specific Notices for ABCB6 Antibody - BSA Free

This product is for research use only and is not approved for use in humans or in clinical diagnosis. Primary Antibodies are guaranteed for 1 year from date of receipt.

Loading...
Loading...
Loading...
Loading...