Skip to main content

ABCB5 Antibody - BSA Free

Novus Biologicals, part of Bio-Techne | Catalog # NBP1-77687

Novus Biologicals, part of Bio-Techne

Key Product Details

Species Reactivity

Validated:

Human, Mouse

Cited:

Human

Applications

Validated:

Immunohistochemistry, Immunohistochemistry-Paraffin, Western Blot, Immunocytochemistry/ Immunofluorescence

Cited:

Western Blot, IF/IHC

Label

Unconjugated

Antibody Source

Polyclonal Rabbit IgG

Format

BSA Free

Concentration

1.0 mg/ml

Product Specifications

Immunogen

A synthetic peptide made to an internal portion of the human ABCB5 protein (between residues 150-200) [UniProt Q2M3G0]

Localization

Cell membrane; Multi-pass membrane protein

Clonality

Polyclonal

Host

Rabbit

Isotype

IgG

Description

Novus Biologicals Rabbit ABCB5 Antibody - BSA Free (NBP1-77687) is a polyclonal antibody validated for use in IHC, WB and ICC/IF. Anti-ABCB5 Antibody: Cited in 5 publications. All Novus Biologicals antibodies are covered by our 100% guarantee.

Scientific Data Images for ABCB5 Antibody - BSA Free

Immunocytochemistry/ Immunofluorescence: ABCB5 Antibody - BSA Free [NBP1-77687]

Immunocytochemistry/ Immunofluorescence: ABCB5 Antibody - BSA Free [NBP1-77687]

Immunocytochemistry/Immunofluorescence: ABCB5 Antibody [NBP1-77687] - ABCB5 antibody was tested in A431 cells with FITC (green). Nuclei and actin were counterstained with DAPI (blue) and Phalloidin (red).
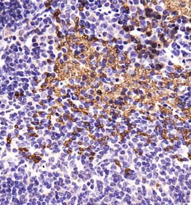
Immunohistochemistry: ABCB5 Antibody - BSA Free [NBP1-77687]

Immunohistochemistry: ABCB5 Antibody - BSA Free [NBP1-77687]

Immunohistochemistry: ABCB5 Antibody [NBP1-77687] - Analysis of ABCB5 in mouse spleen using DAB with hematoxylin counterstain.

Applications for ABCB5 Antibody - BSA Free

Application
Recommended Usage

Immunocytochemistry/ Immunofluorescence

1:100

Immunohistochemistry

1:200

Immunohistochemistry-Paraffin

1:200

Western Blot

reported in scientific literature (PMID 25030174)
Application Notes
Prior to immunostaining paraffin tissues, antigen retrieval with sodium citrate buffer (pH 6.0) is recommended.

Formulation, Preparation, and Storage

Purification

Immunogen affinity purified

Formulation

PBS

Format

BSA Free

Preservative

0.02% Sodium Azide

Concentration

1.0 mg/ml

Shipping

The product is shipped with polar packs. Upon receipt, store it immediately at the temperature recommended below.

Stability & Storage

Store at 4C short term. Aliquot and store at -20C long term. Avoid freeze-thaw cycles.

Background: ABCB5

The ATP-binding cassette sub-family B member 5 (ABCB5) is an ABC transporter and PGP member. It is highly expressed in skin and in malignant melanoma. When two abnormal growths of tissues occur, resulting in multiple malignancies, ABCB5 is often highly expressed. This elevated expression in tumor cells can indicate a propensity towards therapeutic failure in many cases. Analysis of ABCB5 concentrations in tumors has been suggested as a fairly dependable qualitative biomarker for assessing the malignancy of melanomas.

Long Name

ATP-binding Cassette, Sub-family B (MDR/TAP), Member 5

Alternate Names

ABCB5 P-gp, ABCB5alpha, ABCB5beta, ATP-binding cassette protein, ATP-binding cassette sub-family B member 5, ATP-binding cassette, sub-family B (MDR/TAP), member 5, EC 3.6.3, EC 3.6.3.44, EST422562, P-glycoprotein ABCB5

Entrez Gene IDs

340273 (Human)

Gene Symbol

ABCB5

UniProt

Additional ABCB5 Products

Product Documents for ABCB5 Antibody - BSA Free

Certificate of Analysis

To download a Certificate of Analysis, please enter a lot number in the search box below.

Product Specific Notices for ABCB5 Antibody - BSA Free

This product is for research use only and is not approved for use in humans or in clinical diagnosis. Primary Antibodies are guaranteed for 1 year from date of receipt.

Loading...
Loading...
Loading...
Loading...