Skip to main content

ABCB11 Antibody - BSA Free

Novus Biologicals, part of Bio-Techne | Catalog # NBP1-31824

Novus Biologicals, part of Bio-Techne
Catalog #
Availability
Size / Price
Qty
Loading...
NBP1-31824

Key Product Details

Species Reactivity

Human, Mouse

Applications

Immunohistochemistry, Immunohistochemistry-Paraffin, Western Blot, Immunocytochemistry/ Immunofluorescence

Label

Unconjugated

Antibody Source

Polyclonal Rabbit IgG

Format

BSA Free

Concentration

Concentrations vary lot to lot. See vial label for concentration. If unlisted please contact technical services.

Product Specifications

Immunogen

Recombinant protein encompassing a sequence within the center region of human ABCB11. The exact sequence is proprietary.

Reactivity Notes

Immunogen displays the following percentage of sequence identity for non-tested species: Rat (88%), Canine (85%), Feline (89%), Rabbit (84%), Bovine (89%), Guinea pig (82%).

Localization

Membrane

Clonality

Polyclonal

Host

Rabbit

Isotype

IgG

Theoretical MW

146 kDa.
Disclaimer note: The observed molecular weight of the protein may vary from the listed predicted molecular weight due to post translational modifications, post translation cleavages, relative charges, and other experimental factors.

Description

Novus Biologicals Rabbit ABCB11 Antibody - BSA Free (NBP1-31824) is a polyclonal antibody validated for use in IHC, WB and ICC/IF. All Novus Biologicals antibodies are covered by our 100% guarantee.

Scientific Data Images for ABCB11 Antibody - BSA Free

Western Blot: ABCB11 Antibody [NBP1-31824]

Western Blot: ABCB11 Antibody [NBP1-31824]

Western Blot: ABCB11 Antibody [NBP1-31824] - Various tissue extracts (5 ug) were separated by 5% SDS-PAGE, and the membrane was blotted with BSEP antibody [N3C1], Internal diluted at 1:500. The HRP-conjugated anti-rabbit IgG antibody (NBP2-19301) was used to detect the primary antibody, and the signal was developed with Trident ECL plus-Enhanced.
Immunocytochemistry/ Immunofluorescence: ABCB11 Antibody [NBP1-31824]

Immunocytochemistry/ Immunofluorescence: ABCB11 Antibody [NBP1-31824]

Immunocytochemistry/Immunofluorescence: ABCB11 Antibody [NBP1-31824] - Sample: A431 cells were fixed in iced-cold MeOH for 5 min. Green: ABCB11 protein stained by BSEP antibody, Internal diluted at 1:500. Blue: Hoechst 33343 staining.
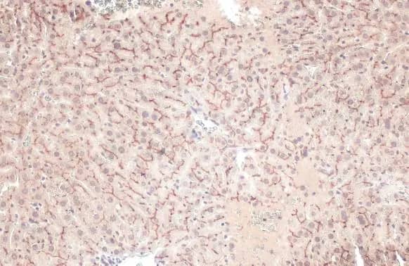
Immunohistochemistry-Paraffin: ABCB11 Antibody [NBP1-31824]

Immunohistochemistry-Paraffin: ABCB11 Antibody [NBP1-31824]

Immunohistochemistry-Paraffin: ABCB11 Antibody [NBP1-31824] - AGS xenograft, using BSEP antibody at 1:100 dilution. Antigen Retrieval: Trilogy™ (EDTA based, pH 8.0) buffer, 15min.

Applications for ABCB11 Antibody - BSA Free

Application
Recommended Usage

Immunocytochemistry/ Immunofluorescence

1:100-1:1000

Immunohistochemistry

1:100-1:1000

Immunohistochemistry-Paraffin

1:100-1:1000

Western Blot

1:500-1:3000

Formulation, Preparation, and Storage

Purification

Protein A purified

Formulation

PBS, 20% Glycerol

Format

BSA Free

Preservative

0.025% Proclin 300

Concentration

Concentrations vary lot to lot. See vial label for concentration. If unlisted please contact technical services.

Shipping

The product is shipped with polar packs. Upon receipt, store it immediately at the temperature recommended below.

Stability & Storage

Aliquot and store at -20C or -80C. Avoid freeze-thaw cycles.

Background: ABCB11

The membrane-associated protein encoded by this gene is a member of the superfamily of ATP-binding cassette (ABC) transporters. ABC proteins transport various molecules across extra- and intra-cellular membranes. ABC genes are divided into seven distinct subfamilies (ABC1, MDR/TAP, MRP, ALD, OABP, GCN20, White). This protein is a member of the MDR/TAP subfamily. Members of the MDR/TAP subfamily are involved in multidrug resistance. The protein encoded by this gene is the major canalicular bile salt export pump in man. Mutations in this gene cause a form of progressive familial intrahepatic cholestases which are a group of inherited disorders with severe cholestatic liver disease from early infancy. (provided by RefSeq)

Alternate Names

ABC member 16, MDR/TAP subfamily, ABC16, ATP-binding cassette sub-family B member 11, ATP-binding cassette, sub-family B (MDR/TAP), member 11, bile salt export pump, BSEP, BSEPPFIC2, EC 3.6.3, EC 3.6.3.44, PFIC-2, PGY4, progressive familial intrahepatic cholestasis 2, sister p-glycoprotein, SPGPBRIC2

Gene Symbol

ABCB11

Additional ABCB11 Products

Product Documents for ABCB11 Antibody - BSA Free

Certificate of Analysis

To download a Certificate of Analysis, please enter a lot number in the search box below.

Product Specific Notices for ABCB11 Antibody - BSA Free

This product is for research use only and is not approved for use in humans or in clinical diagnosis. Primary Antibodies are guaranteed for 1 year from date of receipt.

Loading...
Loading...
Loading...
Loading...

⚠ WARNING: This product can expose you to chemicals including mercury, which is known to the State of California to cause reproductive toxicity with developmental effects.  For more information go to www.P65Warnings.ca.gov.