Skip to main content

ABCB11 Antibody (HL2803)

Novus Biologicals, part of Bio-Techne | Catalog # NBP3-48735

Recombinant Monoclonal Antibody
Novus Biologicals, part of Bio-Techne
Catalog #
Availability
Size / Price
Qty
Loading...
NBP3-48735

Key Product Details

Validated by

Orthogonal Validation

Species Reactivity

Human, Mouse

Applications

Immunohistochemistry, Immunohistochemistry-Paraffin, Western Blot

Label

Unconjugated

Antibody Source

Recombinant Monoclonal Rabbit IgG Clone # HL2803

Concentration

Concentrations vary lot to lot. See vial label for concentration. If unlisted please contact technical services.

Product Specifications

Immunogen

Recombinant protein encompassing a sequence within the Intracellular domain of human ABCB11. The exact sequence is proprietary.

Clonality

Monoclonal

Host

Rabbit

Isotype

IgG

Description

Novus Biologicals Rabbit ABCB11 Antibody (HL2803) (NBP3-48735) is a recombinant monoclonal antibody validated for use in IHC and WB. All Novus Biologicals antibodies are covered by our 100% guarantee.

Scientific Data Images for ABCB11 Antibody (HL2803)

ABCB11 Antibody (HL2803)

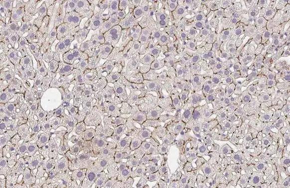
Immunohistochemistry-Paraffin: ABCB11 Antibody (HL2803) [NBP3-48735] -

ABCB11 antibody [HL2803] detects ABCB11 protein by immunohistochemical analysis.
Sample: Paraffin-embedded human tissue.
ABCB11 stained by ABCB11 antibody [HL2803] (NBP3-48735) diluted at 1:100.
Antigen Retrieval: Citrate buffer, pH 6.0, 15 min
ABCB11 Antibody (HL2803)

Western Blot: ABCB11 Antibody (HL2803) [NBP3-48735] -

Boiled and unboiled mouse liver extracts (50 ug) were separated by 5% SDS-PAGE, and the membrane was blotted with ABCB11 antibody [HL2803] (NBP3-48735) diluted at 1:1000. The HRP-conjugated anti-rabbit IgG antibody was used to detect the primary antibody.
ABCB11 Antibody (HL2803)

Immunohistochemistry-Paraffin: ABCB11 Antibody (HL2803) [NBP3-48735] -

ABCB11 antibody [HL2803] detects ABCB11 protein by immunohistochemical analysis.
Sample: Paraffin-embedded mouse liver.
ABCB11 stained by ABCB11 antibody [HL2803] (NBP3-48735) diluted at 1:100.
Antigen Retrieval: Citrate buffer, pH 6.0, 15 min

Applications for ABCB11 Antibody (HL2803)

Application
Recommended Usage

Western Blot

1:500-1:3000

Formulation, Preparation, and Storage

Purification

Protein A purified

Formulation

PBS

Preservative

No Preservative

Concentration

Concentrations vary lot to lot. See vial label for concentration. If unlisted please contact technical services.

Shipping

The product is shipped with polar packs. Upon receipt, store it immediately at the temperature recommended below.

Stability & Storage

Store at 4C short term. Aliquot and store at -20C long term. Avoid freeze-thaw cycles.

Background: ABCB11

The membrane-associated protein encoded by this gene is a member of the superfamily of ATP-binding cassette (ABC) transporters. ABC proteins transport various molecules across extra- and intra-cellular membranes. ABC genes are divided into seven distinct subfamilies (ABC1, MDR/TAP, MRP, ALD, OABP, GCN20, White). This protein is a member of the MDR/TAP subfamily. Members of the MDR/TAP subfamily are involved in multidrug resistance. The protein encoded by this gene is the major canalicular bile salt export pump in man. Mutations in this gene cause a form of progressive familial intrahepatic cholestases which are a group of inherited disorders with severe cholestatic liver disease from early infancy. (provided by RefSeq)

Alternate Names

ABC member 16, MDR/TAP subfamily, ABC16, ATP-binding cassette sub-family B member 11, ATP-binding cassette, sub-family B (MDR/TAP), member 11, bile salt export pump, BSEP, BSEPPFIC2, EC 3.6.3, EC 3.6.3.44, PFIC-2, PGY4, progressive familial intrahepatic cholestasis 2, sister p-glycoprotein, SPGPBRIC2

Gene Symbol

ABCB11

Additional ABCB11 Products

Product Documents for ABCB11 Antibody (HL2803)

Certificate of Analysis

To download a Certificate of Analysis, please enter a lot number in the search box below.

Product Specific Notices for ABCB11 Antibody (HL2803)

This product is for research use only and is not approved for use in humans or in clinical diagnosis. Primary Antibodies are guaranteed for 1 year from date of receipt.

Loading...
Loading...
Loading...
Loading...