Skip to main content

AATF Antibody - BSA Free

Novus Biologicals, part of Bio-Techne | Catalog # NBP1-76655

Novus Biologicals, part of Bio-Techne

Key Product Details

Species Reactivity

Human, Mouse

Applications

Immunohistochemistry, Immunohistochemistry-Paraffin, Western Blot, ELISA, Immunocytochemistry/ Immunofluorescence

Label

Unconjugated

Antibody Source

Polyclonal Rabbit IgG

Format

BSA Free

Concentration

1 mg/ml

Product Specifications

Immunogen

Antibody was raised against a 12 amino acid synthetic peptide from near the carboxy terminus of human AATF. The immunogen is located within the last 50 amino acids of AATF. Amino Acid Squence: GQLHPPDEGHGD

Clonality

Polyclonal

Host

Rabbit

Isotype

IgG

Description

Novus Biologicals Rabbit AATF Antibody - BSA Free (NBP1-76655) is a polyclonal antibody validated for use in IHC, WB, ELISA and ICC/IF. All Novus Biologicals antibodies are covered by our 100% guarantee.

Scientific Data Images for AATF Antibody - BSA Free

Western Blot: AATF AntibodyBSA Free [NBP1-76655]

Western Blot: AATF AntibodyBSA Free [NBP1-76655]

Western Blot: AATF Antibody [NBP1-76655] - Analysis of AATF in human small intestine cell lysate using this antibody at (A) 0.5, (B) 1 ug/ml and (C) 2 ug/ml.
AATF Antibody - BSA Free

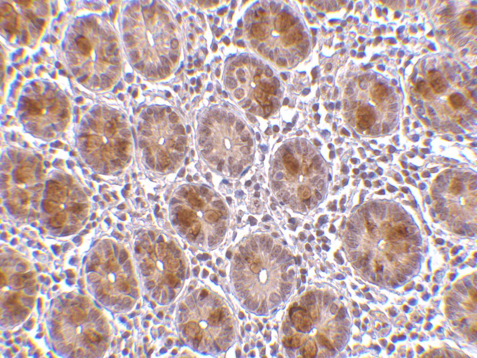
Immunohistochemistry: AATF Antibody - BSA Free [NBP1-76655] -

Immunohistochemistry: AATF Antibody - BSA Free [NBP1-76655] - Immunohistochemistry of AATF in human small intestine tissue with AATF antibody at 10 ug/mL.
AATF Antibody - BSA Free

Immunocytochemistry/ Immunofluorescence: AATF Antibody - BSA Free [NBP1-76655] -

Immunocytochemistry/ Immunofluorescence: AATF Antibody - BSA Free [NBP1-76655] - Immunofluorescence of AATF in Human Small Intestine cells with AATF antibody at 20 ug/mL.

Applications for AATF Antibody - BSA Free

Application
Recommended Usage

ELISA

1:100-1:2000

Immunocytochemistry/ Immunofluorescence

20 ug/ml

Immunohistochemistry

10 ug/ml

Immunohistochemistry-Paraffin

10 ug/ml

Western Blot

0.5-2 ug/ml

Formulation, Preparation, and Storage

Purification

Affinity purified

Formulation

PBS

Format

BSA Free

Preservative

0.02% Sodium Azide

Concentration

1 mg/ml

Shipping

The product is shipped with polar packs. Upon receipt, store it immediately at the temperature recommended below.

Stability & Storage

Store at 4C short term. Aliquot and store at -20C long term. Avoid freeze-thaw cycles.

Background: AATF

AATF (apoptosis antagonizing transcription factor) was initially discovered as an interaction partner of ZIP kinase (ZIPK), a member of death-associated protein (DAP) kinase family of pro-apoptotic serine/threonine kinases. AATF is a phosphoprotein containing an acidic region and a putative leucine zipper domain and nuclear localization signal, features which are typical of transcription factors. AATF inhibits the ZIPK-mediated pro-apoptotic pathway and may activate other anti-apoptotic pathways. Recently, it has also been shown to protect neural cells against oxidative damage induced by amyloid b-peptide and to inhibit aberrant production of the beta-peptide by interacting with Par-4 (prostate apoptosis response-4), another pro-apoptotic leucine zipper protein that is associated with neuronal degeneration in Alzheimer's disease (AD), suggesting that AATF may have potential therapeutic applications in both familial and sporadic forms of AD.

Alternate Names

apoptosis antagonizing transcription factor, Apoptosis-antagonizing transcription factor, CHE-1, CHE1Rb-binding protein Che-1, DEDprotein AATF

Gene Symbol

AATF

Additional AATF Products

Product Documents for AATF Antibody - BSA Free

Certificate of Analysis

To download a Certificate of Analysis, please enter a lot number in the search box below.

Product Specific Notices for AATF Antibody - BSA Free

This product is for research use only and is not approved for use in humans or in clinical diagnosis. Primary Antibodies are guaranteed for 1 year from date of receipt.

Loading...
Loading...
Loading...
Loading...