Skip to main content

AAR2 Antibody - BSA Free

Novus Biologicals, part of Bio-Techne | Catalog # NBP2-30422

Novus Biologicals, part of Bio-Techne
Catalog #
Availability
Size / Price
Qty
Loading...
NBP2-30422
NBP2-30422-25ul

Key Product Details

Species Reactivity

Validated:

Human

Predicted:

Mouse (91%). Backed by our 100% Guarantee.

Applications

Immunocytochemistry/ Immunofluorescence, Immunohistochemistry, Immunohistochemistry-Paraffin, Western Blot

Label

Unconjugated

Antibody Source

Polyclonal Rabbit IgG

Format

BSA Free

Concentration

Concentrations vary lot to lot. See vial label for concentration. If unlisted please contact technical services.

Product Specifications

Immunogen

This antibody was developed against a recombinant protein corresponding to amino acids: LAKRLFFEGATVVILNMPKGTEFGIDYNSWEVGPKFRGVKMIPPGIHFLHYSSVDKANPKEVGPRMGFFLSLHQRGLTVLRWSTLRE

Reactivity Notes

Immunogen displays the following percentage of sequence identity for non-tested species: Rat (89%)

Clonality

Polyclonal

Host

Rabbit

Isotype

IgG

Description

Novus Biologicals Rabbit AAR2 Antibody - BSA Free (NBP2-30422) is a polyclonal antibody validated for use in IHC, WB and ICC/IF. All Novus Biologicals antibodies are covered by our 100% guarantee.

Scientific Data Images for AAR2 Antibody - BSA Free

Western Blot: AAR2 Antibody [NBP2-30422]

Western Blot: AAR2 Antibody [NBP2-30422]

Western Blot: AAR2 Antibody [NBP2-30422] - Lane 1: Marker [kDa] 250, 130, 100, 70, 55, 35, 25, 15, 10. Lane 2: CACO-2
Immunocytochemistry/ Immunofluorescence: AAR2 Antibody [NBP2-30422]

Immunocytochemistry/ Immunofluorescence: AAR2 Antibody [NBP2-30422]

Immunocytochemistry/Immunofluorescence: AAR2 Antibody [NBP2-30422] - Staining of human cell line CACO-2 shows localization to cytosol.
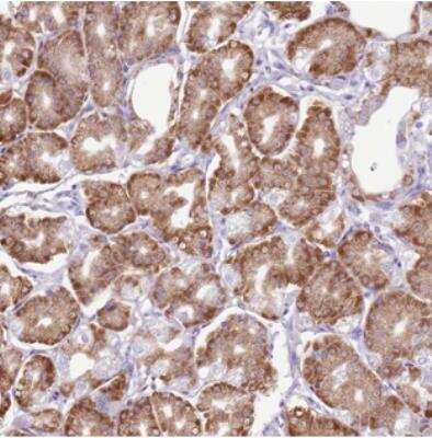
Immunohistochemistry-Paraffin: AAR2 Antibody [NBP2-30422]

Immunohistochemistry-Paraffin: AAR2 Antibody [NBP2-30422]

Immunohistochemistry-Paraffin: AAR2 Antibody [NBP2-30422] - Staining of human stomach, lower shows strong cytoplasmic positivity in glandular cells.

Applications for AAR2 Antibody - BSA Free

Application
Recommended Usage

Immunocytochemistry/ Immunofluorescence

0.25-2 ug/ml

Immunohistochemistry

1:50 - 1:200

Immunohistochemistry-Paraffin

1:50 - 1:200

Western Blot

0.04-0.4 ug/ml
Application Notes
For IHC-Paraffin, HIER pH 6 retrieval is recommended. ICC/IF, Fixation Permeabilization: Use PFA/Triton X-100.

Formulation, Preparation, and Storage

Purification

Immunogen affinity purified

Formulation

PBS (pH 7.2) and 40% Glycerol

Format

BSA Free

Preservative

0.02% Sodium Azide

Concentration

Concentrations vary lot to lot. See vial label for concentration. If unlisted please contact technical services.

Shipping

The product is shipped with polar packs. Upon receipt, store it immediately at the temperature recommended below.

Stability & Storage

Store at 4C short term. Aliquot and store at -20C long term. Avoid freeze-thaw cycles.

Background: AAR2

Alternate Names

AAR2 splicing factor homolog (S. cerevisiae), bA234K24.2, C20orf4, CGI-23, chromosome 20 open reading frame 4, DKFZp564N1363, hypothetical protein LOC25980

Gene Symbol

AAR2

UniProt

Additional AAR2 Products

Product Documents for AAR2 Antibody - BSA Free

Certificate of Analysis

To download a Certificate of Analysis, please enter a lot number in the search box below.

Product Specific Notices for AAR2 Antibody - BSA Free

This product is for research use only and is not approved for use in humans or in clinical diagnosis. Primary Antibodies are guaranteed for 1 year from date of receipt.

Loading...
Loading...
Loading...
Loading...