Skip to main content

A4GNT Antibody - BSA Free

Novus Biologicals, part of Bio-Techne | Catalog # NBP1-89129

Novus Biologicals, part of Bio-Techne
Catalog #
Availability
Size / Price
Qty
Loading...
NBP1-89129
NBP1-89129-25ul

Key Product Details

Validated by

Orthogonal Validation

Species Reactivity

Validated:

Human, Mouse

Cited:

Human, Mouse

Applications

Validated:

Immunohistochemistry, Immunohistochemistry-Paraffin

Cited:

Immunohistochemistry-Paraffin

Label

Unconjugated

Antibody Source

Polyclonal Rabbit IgG

Format

BSA Free

Concentration

Concentrations vary lot to lot. See vial label for concentration. If unlisted please contact technical services.

Product Specifications

Immunogen

This antibody was developed against Recombinant Protein corresponding to amino acids: NFVEHYNSAIWGNQGPELMTRMLRVWCKLEDFQEVSDLRCLNISFLHPQRFYPISYREWRRYYEVWDTEPSFNVSYALHLWNHMNQEGRAVIRGSNTLVENLYRKHCPRTYRDLIKGPEGSVTGELG

Reactivity Notes

Use in Mouse reported in scientific literature (PMID:32025032).

Clonality

Polyclonal

Host

Rabbit

Isotype

IgG

Scientific Data Images for A4GNT Antibody - BSA Free

Immunohistochemistry-Paraffin: A4GNT Antibody [NBP1-89129]

Immunohistochemistry-Paraffin: A4GNT Antibody [NBP1-89129]

Immunohistochemistry-Paraffin: A4GNT Antibody [NBP1-89129] - Staining in human stomach and pancreas tissues using anti-A4GNT antibody. Corresponding A4GNT RNA-seq data are presented for the same tissues.
Immunohistochemistry-Paraffin: A4GNT Antibody [NBP1-89129]

Immunohistochemistry-Paraffin: A4GNT Antibody [NBP1-89129]

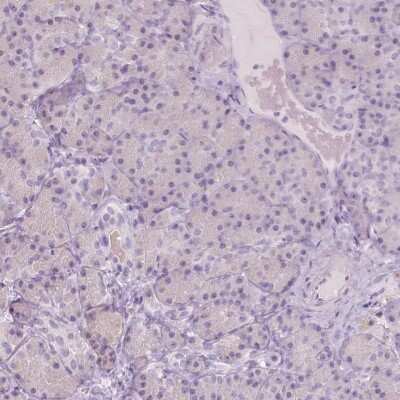
Immunohistochemistry-Paraffin: A4GNT Antibody [NBP1-89129] - Staining of human pancreas shows low expression as expected.
Immunohistochemistry-Paraffin: A4GNT Antibody [NBP1-89129]

Immunohistochemistry-Paraffin: A4GNT Antibody [NBP1-89129]

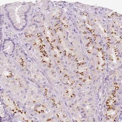
Immunohistochemistry-Paraffin: A4GNT Antibody [NBP1-89129] - Staining of human stomach shows high expression.

Applications for A4GNT Antibody - BSA Free

Application
Recommended Usage

Immunohistochemistry

1:1000 - 1:2500

Immunohistochemistry-Paraffin

1:1000 - 1:2500
Application Notes
For IHC-Paraffin, HIER pH 6 retrieval is recommended.

Formulation, Preparation, and Storage

Purification

Affinity purified

Formulation

PBS (pH 7.2) and 40% Glycerol

Format

BSA Free

Preservative

0.02% Sodium Azide

Concentration

Concentrations vary lot to lot. See vial label for concentration. If unlisted please contact technical services.

Shipping

The product is shipped with polar packs. Upon receipt, store it immediately at the temperature recommended below.

Stability & Storage

Store at 4C short term. Aliquot and store at -20C long term. Avoid freeze-thaw cycles.

Background: A4GNT

Alternate Names

alpha-1,4-N-acetylglucosaminyltransferase, alpha4GnT

Entrez Gene IDs

51146 (Human)

Gene Symbol

A4GNT

UniProt

Additional A4GNT Products

Product Documents for A4GNT Antibody - BSA Free

Certificate of Analysis

To download a Certificate of Analysis, please enter a lot number in the search box below.

Product Specific Notices for A4GNT Antibody - BSA Free

This product is for research use only and is not approved for use in humans or in clinical diagnosis. Primary Antibodies are guaranteed for 1 year from date of receipt.

Loading...
Loading...
Loading...
Loading...