Skip to main content

A4GNT Antibody (OTI2H9)

Novus Biologicals, part of Bio-Techne | Catalog # NBP2-45539

Novus Biologicals, part of Bio-Techne
Catalog #
Availability
Size / Price
Qty
Loading...
NBP2-45539

Key Product Details

Species Reactivity

Human

Applications

Immunohistochemistry, Immunohistochemistry-Paraffin, Western Blot, ELISA

Label

Unconjugated

Antibody Source

Monoclonal Mouse IgG1 Clone # OTI2H9

Concentration

1 mg/ml

Product Specifications

Immunogen

Human recombinant protein fragment corresponding to amino acids 121-340 of human A4GNT (NP_057245) produced in E.coli.

Clonality

Monoclonal

Host

Mouse

Isotype

IgG1

Theoretical MW

39.3 kDa.
Disclaimer note: The observed molecular weight of the protein may vary from the listed predicted molecular weight due to post translational modifications, post translation cleavages, relative charges, and other experimental factors.

Description

Novus Biologicals Mouse A4GNT Antibody (OTI2H9) (NBP2-45539) is a monoclonal antibody validated for use in IHC, WB and ELISA. All Novus Biologicals antibodies are covered by our 100% guarantee.

Scientific Data Images for A4GNT Antibody (OTI2H9)

Western Blot: A4GNT Antibody (OTI2H9) [NBP2-45539]

Western Blot: A4GNT Antibody (OTI2H9) [NBP2-45539]

Western Blot: A4GNT Antibody (2H9) [NBP2-45539] - Analysis of HEK293T cells were transfected with the pCMV6-ENTRY control (Left lane) or pCMV6-ENTRY A4GNT.
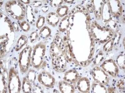
Immunohistochemistry: A4GNT Antibody (OTI2H9) [NBP2-45539]

Immunohistochemistry: A4GNT Antibody (OTI2H9) [NBP2-45539]

Immunohistochemistry: A4GNT Antibody (2H9) [NBP2-45539] - Analysis of Human Kidney tissue.

Applications for A4GNT Antibody (OTI2H9)

Application
Recommended Usage

Immunohistochemistry

1:150

Western Blot

1:500

Formulation, Preparation, and Storage

Purification

Immunogen affinity purified

Formulation

PBS (pH 7.3), 1.0% BSA and 50% Glycerol

Preservative

0.02% Sodium Azide

Concentration

1 mg/ml

Shipping

The product is shipped with polar packs. Upon receipt, store it immediately at the temperature recommended below.

Stability & Storage

Store at -20C. Avoid freeze-thaw cycles.

Background: A4GNT

Alternate Names

alpha-1,4-N-acetylglucosaminyltransferase, alpha4GnT

Gene Symbol

A4GNT

Additional A4GNT Products

Product Documents for A4GNT Antibody (OTI2H9)

Certificate of Analysis

To download a Certificate of Analysis, please enter a lot number in the search box below.

Product Specific Notices for A4GNT Antibody (OTI2H9)

This product is for research use only and is not approved for use in humans or in clinical diagnosis. Primary Antibodies are guaranteed for 1 year from date of receipt.

Loading...
Loading...
Loading...
Loading...