Skip to main content

53BP1 Antibody (1285C) - Azide and BSA Free

Novus Biologicals, part of Bio-Techne | Catalog # NBP2-80550

Recombinant Monoclonal Antibody
Novus Biologicals, part of Bio-Techne
Catalog #
Availability
Size / Price
Qty
Loading...
NBP2-80550

Key Product Details

Species Reactivity

Validated:

Human, Mouse

Predicted:

Bat (99%), Bovine (100%), Canine (100%), Chimpanzee (100%), Equine (100%), Feline (100%), Hamster (100%), Orangutan (100%), Porcine (100%), Primate (100%), Rabbit (100%), Rat (99%), Sheep (100%). Backed by our 100% Guarantee.

Applications

Immunohistochemistry, Immunohistochemistry-Paraffin, Western Blot, Flow Cytometry, Flow (Intracellular), Immunocytochemistry/ Immunofluorescence, CyTOF-ready

Label

Unconjugated

Antibody Source

Recombinant Monoclonal Rabbit IgG Clone # 1285C expressed in HEK293

Format

Azide and BSA Free

Concentration

1 mg/ml

Product Specifications

Immunogen

53BP1 Antibody (1285C) was made to a synthetic peptide made to the C-terminal portion of human 53BP1 protein (between amino acids 1900-1972) [UniProt Q12888]

Reactivity Notes

Predicted cross-reactivity based on sequence identity: Gibbon (100%), Gorilla (100%), Marmoset (100%)

Clonality

Monoclonal

Host

Rabbit

Isotype

IgG

Description

Novus Biologicals Rabbit 53BP1 Antibody (1285C) - Azide and BSA Free (NBP2-54753) is a recombinant monoclonal antibody validated for use in IHC, WB, Flow and ICC/IF. All Novus Biologicals antibodies are covered by our 100% guarantee.

Scientific Data Images for 53BP1 Antibody (1285C) - Azide and BSA Free

Western Blot: 53BP1 Antibody (1285C)Azide and BSA Free [NBP2-80550]

Western Blot: 53BP1 Antibody (1285C)Azide and BSA Free [NBP2-80550]

Western Blot: 53BP1 Antibody (1285C) - Azide and BSA Free [NBP2-80550] - Total protein from human A431, NTERA-2, HeLa and mouse 3T3 cell lines was separated on a 12% gel by SDS-PAGE, transferred to PVDF membrane and blocked in 5% non-fat milk in TBST. The membrane was probed with 1.0 ug/ml 53BP1 Antibody in block solution and detected with an anti-rabbit HRP secondary antibody using chemiluminescence. The observed molecular weight is shown on this gel at ~250 kDa and the theoretical molecular weight of the whole endogenous protein is 214 kDa. Image from the standard format of this antibody.
Immunocytochemistry/ Immunofluorescence: 53BP1 Antibody (1285C) - Azide and BSA Free [NBP2-80550]

Immunocytochemistry/ Immunofluorescence: 53BP1 Antibody (1285C) - Azide and BSA Free [NBP2-80550]

Immunocytochemistry/Immunofluorescence: 53BP1 Antibody (1285C) - Azide and BSA Free [NBP2-80550] - NIH3T3 cells were fixed in 4% paraformaldehyde for 10 minutes and permeabilized in 0.5% Triton X-100 in PBS for 5 minutes. The cells were incubated with anti-53BP1 Antibody [1285C] NBP2-80550 at 2 ug/ml overnight at 4C and detected with an anti-rabbit Dylight 488 (Green) at a 1:1000 dilution for 60 minutes. Alpha tubulin (DM1A) NB100-690 was used as a co-stain at a 1:1000 dilution and detected with an anti-mouse Dylight 550 (Red) at a 1:1000 dilution. Nuclei were counterstained with DAPI (Blue). Cells were imaged using a 100X objective and digitally deconvolved.
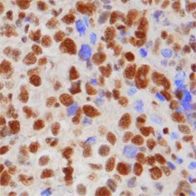
Immunohistochemistry-Paraffin: 53BP1 Antibody (1285C) - Azide and BSA Free [NBP2-80550]

Immunohistochemistry-Paraffin: 53BP1 Antibody (1285C) - Azide and BSA Free [NBP2-80550]

Immunohistochemistry-Paraffin: 53BP1 Antibody (1285C) - Azide and BSA Free [NBP2-80550] - 53BP1 was detected in paraffin-embedded sections of human cervical cancer tissue using Rabbit Anti-Human 53BP1 Monoclonal Antibody (clone 1285C) at 1 ug/mL for 1 hour at room temperature followed by incubation with the Anti-Rabbit IgG VisUCyte(TM) HRP Pol

Applications for 53BP1 Antibody (1285C) - Azide and BSA Free

Application
Recommended Usage

Flow (Intracellular)

1 ug/ml

Flow Cytometry

2.5-5 ug/ml

Immunohistochemistry

1.0 ug/ml

Immunohistochemistry-Paraffin

1.0 ug/ml

Western Blot

1.0 ug/ml

Formulation, Preparation, and Storage

Purification

Protein A or G purified

Formulation

PBS

Format

Azide and BSA Free

Preservative

No Preservative

Concentration

1 mg/ml

Shipping

The product is shipped with polar packs. Upon receipt, store it immediately at the temperature recommended below.

Stability & Storage

Store at 4C short term. Aliquot and store at -20C long term. Avoid freeze-thaw cycles.

Background: 53BP1

Tumor protein p53 binding protein 1 (P53-binding protein 1 or 53BP1) plays a critical role in tumor suppression and is a putative substrate of ATM kinase with a theoretical molecular weight of 214 kDa. Upon DNA damage, it is phosphorylated and relocalizes to the presumptive sites of damage, specifically, double-strand breaks. 53BP1 plays a key role in response to DNA damage, acts as a signaling checkpoint during mitosis, and enhances TP53-mediated transcriptional activation. Originally identified as p53's transcriptional enhancing partner, 53BP1 is known as a key substrate for ataxia telangiectasia mutated (ATM) signaling, whose function to generate gamma H2AX may be partially compensated by the activity of DNA-dependent kinase (DNA-PK). 53BP1 relocalizes to discrete foci overlapping with gamma phosphorylated histone H2AX; demarcating DNA double strand breaks (DSBs) sites following exposure to radiation (1). 53BP1 functions downstream of gamma H2AX-dependent proteins that collectively establish ionizing radiation induced foci at DSBs. 53BP1 is downstream of Mre11/Rad50/NBS1 (MRN complex), MDC1, RNF8, RNF168 and HERC2 which recruit 53BP1 to the DSB site, suggesting a role in DNA repair through genomic stability maintenance (2).

References

1.Henry, E., Souissi-Sahraoui, I., Deynoux, M., Lefevre, A., Barroca, V., Campalans, A., . . . Arcangeli, M. L. (2019). Human hematopoietic stem/progenitor cells display ROS-dependent long-term hematopoietic defects after exposure to low dose of ionizing radiations. Haematologica. doi:10.3324/haematol.2019.226936

2.Janoshazi, A. K., Horton, J. K., Zhao, M. L., Prasad, R., Scappini, E. L., Tucker, C. J., & Wilson, S. H. (2020). Shining light on the response to repair intermediates in DNA of living cells. DNA Repair (Amst), 85, 102749. doi:10.1016/j.dnarep.2019.102749

Long Name

p53 Binding Protein 1

Alternate Names

p202, TP53BP1

Gene Symbol

TP53BP1

Additional 53BP1 Products

Product Documents for 53BP1 Antibody (1285C) - Azide and BSA Free

Certificate of Analysis

To download a Certificate of Analysis, please enter a lot number in the search box below.

Product Specific Notices for 53BP1 Antibody (1285C) - Azide and BSA Free

This product is for research use only and is not approved for use in humans or in clinical diagnosis. Primary Antibodies are guaranteed for 1 year from date of receipt.

Loading...
Loading...
Loading...
Loading...
Loading...
Loading...