Skip to main content

5'-Nucleotidase/CD73 Antibody - BSA Free

Novus Biologicals, part of Bio-Techne | Catalog # NBP1-32951

Novus Biologicals, part of Bio-Techne
Catalog #
Availability
Size / Price
Qty
Loading...
NBP1-32951

Key Product Details

Validated by

Knockout/Knockdown

Species Reactivity

Validated:

Human

Predicted:

Bovine (91%). Backed by our 100% Guarantee.

Applications

Immunohistochemistry, Immunohistochemistry-Paraffin, Western Blot, Immunocytochemistry/ Immunofluorescence

Label

Unconjugated

Antibody Source

Polyclonal Rabbit IgG

Format

BSA Free

Concentration

Concentrations vary lot to lot. See vial label for concentration. If unlisted please contact technical services.

Product Specifications

Immunogen

Recombinant protein encompassing a sequence within the center region of human 5'-Nucleotidase/CD73. The exact sequence is proprietary.

Reactivity Notes

Immunogen displays the following percentage of sequence identity for non-tested species: Mouse (88%), Rat (88%).

Localization

Cell membrane, GPI-anchor

Clonality

Polyclonal

Host

Rabbit

Isotype

IgG

Theoretical MW

63 kDa.
Disclaimer note: The observed molecular weight of the protein may vary from the listed predicted molecular weight due to post translational modifications, post translation cleavages, relative charges, and other experimental factors.

Scientific Data Images for 5'-Nucleotidase/CD73 Antibody - BSA Free

Western Blot: 5'-Nucleotidase/CD73 Antibody [NBP1-32951]

Western Blot: 5'-Nucleotidase/CD73 Antibody [NBP1-32951]

Western Blot: 5'-Nucleotidase/CD73 Antibody [NBP1-32951] - Sample (30 ug of whole cell lysate) A: H1299 7. 5% SDS PAGE; antibody diluted at 1:1000.
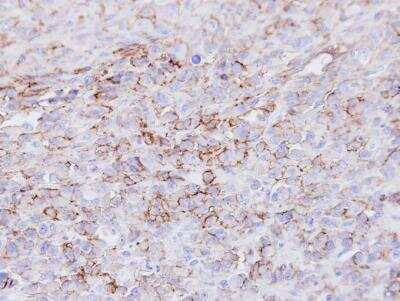
Immunohistochemistry-Paraffin: 5'-Nucleotidase/CD73 Antibody [NBP1-32951]

Immunohistochemistry-Paraffin: 5'-Nucleotidase/CD73 Antibody [NBP1-32951]

Immunohistochemistry-Paraffin: 5'-Nucleotidase/CD73 Antibody [NBP1-32951] - MDAMB231 xenograft, using CD73 antibody at 1:100 dilution. Antigen Retrieval: Trilogy™ (EDTA based, pH 8.0) buffer, 15min.
5'-Nucleotidase/CD73 Antibody

Western Blot: 5'-Nucleotidase/CD73 Antibody [NBP1-32951] -

Western Blot: 5'-Nucleotidase/CD73 Antibody [NBP1-32951] - Non-transfected (–) and transfected (+) HepG2 whole cell extracts (30 ug) were separated by 7.5% SDS-PAGE, and the membrane was blotted with CD73 antibody [N3C3] diluted at 1:1000. The HRP-conjugated anti-rabbit IgG antibody was used to detect the primary antibody.

Applications for 5'-Nucleotidase/CD73 Antibody - BSA Free

Application
Recommended Usage

Immunocytochemistry/ Immunofluorescence

1:10 - 1:500

Immunohistochemistry

1:100-1:1000

Immunohistochemistry-Paraffin

1:100-1:1000

Western Blot

1:500-1:3000

Formulation, Preparation, and Storage

Purification

Antigen Affinity-purified

Formulation

PBS, 20% Glycerol

Format

BSA Free

Preservative

0.025% Proclin 300

Concentration

Concentrations vary lot to lot. See vial label for concentration. If unlisted please contact technical services.

Shipping

The product is shipped with polar packs. Upon receipt, store it immediately at the temperature recommended below.

Stability & Storage

Aliquot and store at -20C or -80C. Avoid freeze-thaw cycles.

Background: 5'-Nucleotidase/CD73

Ecto-5-prime-nucleotidase (5-prime-ribonucleotide phosphohydrolase; EC 3.1.3.5) catalyzes the conversion at neutral pH of purine 5-prime mononucleotides to nucleosides, the preferred substrate being AMP. The enzyme consists of a dimer of 2 identical 70-kD subunits bound by a glycosyl phosphatidyl inositol linkage to the external face of the plasma membrane. The enzyme is used as a marker of lymphocyte differentiation. Consequently, a deficiency of NT5 occurs in a variety of immunodeficiency diseases (e.g., see MIM 102700, MIM 300300). Other forms of 5-prime nucleotidase exist in the cytoplasm and lysosomes and can be distinguished from ecto-NT5 by their substrate affinities, requirement for divalent magnesium ion, activation by ATP, and inhibition by inorganic phosphate.[supplied by OMIM]

Alternate Names

5-NT, CD73, E5NT, eNT, NT5E, NTE

Entrez Gene IDs

4907 (Human)

Gene Symbol

NT5E

UniProt

Additional 5'-Nucleotidase/CD73 Products

Product Documents for 5'-Nucleotidase/CD73 Antibody - BSA Free

Certificate of Analysis

To download a Certificate of Analysis, please enter a lot number in the search box below.

Product Specific Notices for 5'-Nucleotidase/CD73 Antibody - BSA Free

This product is for research use only and is not approved for use in humans or in clinical diagnosis. Primary Antibodies are guaranteed for 1 year from date of receipt.

Loading...
Loading...
Loading...
Loading...
Loading...

⚠ WARNING: This product can expose you to chemicals including mercury, which is known to the State of California to cause reproductive toxicity with developmental effects.  For more information go to www.P65Warnings.ca.gov.