Skip to main content

5'-Nucleotidase/CD73 Antibody (OTI1G2)

Novus Biologicals, part of Bio-Techne | Catalog # NBP2-46259

Novus Biologicals, part of Bio-Techne
Catalog #
Availability
Size / Price
Qty
Loading...
NBP2-46259

Key Product Details

Species Reactivity

Validated:

Human, Mouse, Rat

Cited:

Mouse

Applications

Immunohistochemistry, Immunohistochemistry-Paraffin, Western Blot

Label

Unconjugated

Antibody Source

Monoclonal Mouse IgG1 Clone # OTI1G2

Concentration

1 mg/ml

Product Specifications

Immunogen

Human recombinant protein fragment corresponding to amino acids 119-232 of human NT5E (NP_002517) produced in E.coli.

Reactivity Notes

Use in Mouse reported in scientific literature (PMID:32243809). Please note that this antibody is reactive to Mouse and derived from the same host, Mouse. Mouse-On-Mouse blocking reagent may be needed for IHC and ICC experiments to reduce high background signal. You can find these reagents under catalog numbers PK-2200-NB and MP-2400-NB. Please contact Technical Support if you have any questions.

Clonality

Monoclonal

Host

Mouse

Isotype

IgG1

Theoretical MW

63.2 kDa.
Disclaimer note: The observed molecular weight of the protein may vary from the listed predicted molecular weight due to post translational modifications, post translation cleavages, relative charges, and other experimental factors.

Description

Novus Biologicals Mouse 5'-Nucleotidase/CD73 Antibody (OTI1G2) (NBP2-46259) is a monoclonal antibody validated for use in IHC and WB. Anti-5'-Nucleotidase/CD73 Antibody: Cited in 1 publication. All Novus Biologicals antibodies are covered by our 100% guarantee.

Scientific Data Images for 5'-Nucleotidase/CD73 Antibody (OTI1G2)

Western Blot: 5'-Nucleotidase/CD73 Antibody (OTI1G2) [NBP2-46259]

Western Blot: 5'-Nucleotidase/CD73 Antibody (OTI1G2) [NBP2-46259]

Western Blot: 5'-Nucleotidase/CD73 Antibody (1G2) [NBP2-46259] - Analysis of HEK293T cells were transfected with the pCMV6-ENTRY control (Left lane) or pCMV6-ENTRY 5'-Nucleotidase/CD73.
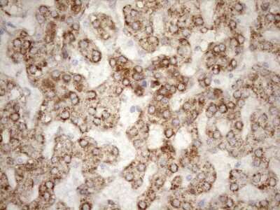
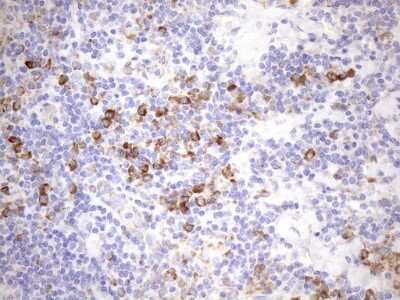
Immunohistochemistry: 5'-Nucleotidase/CD73 Antibody (OTI1G2) [NBP2-46259]

Immunohistochemistry: 5'-Nucleotidase/CD73 Antibody (OTI1G2) [NBP2-46259]

Immunohistochemistry: 5'-Nucleotidase/CD73 Antibody (1G2) [NBP2-46259] - Analysis of Human lymph node tissue. (Heat-induced epitope retrieval by 1mM EDTA in 10mM Tris buffer (pH8.5) at 120C for 3 min)
Immunohistochemistry: 5'-Nucleotidase/CD73 Antibody (OTI1G2) [NBP2-46259]

Immunohistochemistry: 5'-Nucleotidase/CD73 Antibody (OTI1G2) [NBP2-46259]

Immunohistochemistry: 5'-Nucleotidase/CD73 Antibody (1G2) [NBP2-46259] - Analysis of Human colon tissue. (Heat-induced epitope retrieval by 1mM EDTA in 10mM Tris buffer (pH8.5) at 120C for 3 min)

Applications for 5'-Nucleotidase/CD73 Antibody (OTI1G2)

Application
Recommended Usage

Immunohistochemistry

1:150

Western Blot

1:2000

Formulation, Preparation, and Storage

Purification

Immunogen affinity purified

Formulation

PBS (pH 7.3), 1.0% BSA and 50% Glycerol

Preservative

0.02% Sodium Azide

Concentration

1 mg/ml

Shipping

The product is shipped with polar packs. Upon receipt, store it immediately at the temperature recommended below.

Stability & Storage

Store at -20C. Avoid freeze-thaw cycles.

Background: 5'-Nucleotidase/CD73

Ecto-5-prime-nucleotidase (5-prime-ribonucleotide phosphohydrolase; EC 3.1.3.5) catalyzes the conversion at neutral pH of purine 5-prime mononucleotides to nucleosides, the preferred substrate being AMP. The enzyme consists of a dimer of 2 identical 70-kD subunits bound by a glycosyl phosphatidyl inositol linkage to the external face of the plasma membrane. The enzyme is used as a marker of lymphocyte differentiation. Consequently, a deficiency of NT5 occurs in a variety of immunodeficiency diseases (e.g., see MIM 102700, MIM 300300). Other forms of 5-prime nucleotidase exist in the cytoplasm and lysosomes and can be distinguished from ecto-NT5 by their substrate affinities, requirement for divalent magnesium ion, activation by ATP, and inhibition by inorganic phosphate.[supplied by OMIM]

Alternate Names

5-NT, CD73, E5NT, eNT, NT5E, NTE

Gene Symbol

NT5E

Additional 5'-Nucleotidase/CD73 Products

Product Documents for 5'-Nucleotidase/CD73 Antibody (OTI1G2)

Certificate of Analysis

To download a Certificate of Analysis, please enter a lot number in the search box below.

Product Specific Notices for 5'-Nucleotidase/CD73 Antibody (OTI1G2)

This product is for research use only and is not approved for use in humans or in clinical diagnosis. Primary Antibodies are guaranteed for 1 year from date of receipt.

Loading...
Loading...
Loading...
Loading...
Loading...