Skip to main content

5-HT1D Antibody - BSA Free

Novus Biologicals, part of Bio-Techne | Catalog # NLS590

Novus Biologicals, part of Bio-Techne
Catalog #
Availability
Size / Price
Qty
Loading...
NLS590

Key Product Details

Species Reactivity

Validated:

Human, Monkey

Predicted:

Canine (94%), Equine (94%), Primate (100%). Backed by our 100% Guarantee.

Applications

Immunohistochemistry, Immunohistochemistry-Paraffin

Label

Unconjugated

Antibody Source

Polyclonal Rabbit IgG

Format

BSA Free

Concentration

1.0 mg/ml

Product Specifications

Immunogen

Synthetic 17 amino acid peptide from 2nd extracellular domain of human 5-HT1D.

Epitope

2nd extracellular domain

Reactivity Notes

Predicted cross-reactivity based on sequence identity: Gorilla (100%), Gibbon (100%), Marmoset (100%), Mouse (88%), Rat (88%), Hamster (88%), Bat (88%), Bovine (88%), Rabbit (88%), Porcine (82%), Opossum (82%).

Specificity

Human 5-HT1D. BLAST analysis of the peptide immunogen showed no homology with other human proteins, except HTR1B (59%).

Clonality

Polyclonal

Host

Rabbit

Isotype

IgG

Description

Product can be stored undiluted at 4C for up to 1 month.

Scientific Data Images for 5-HT1D Antibody - BSA Free

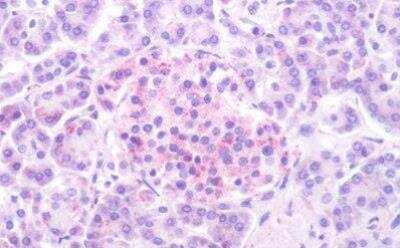
Immunohistochemistry-Paraffin: 5-HT1D Antibody - BSA Free [NLS590]

Immunohistochemistry-Paraffin: 5-HT1D Antibody - BSA Free [NLS590]

Immunohistochemistry-Paraffin: 5-HT1D Antibody [NLS590] - Human Brain, Cortex: Formalin-Fixed, Paraffin-Embedded (FFPE)
Immunohistochemistry-Paraffin: 5-HT1D Antibody - BSA Free [NLS590]

Immunohistochemistry-Paraffin: 5-HT1D Antibody - BSA Free [NLS590]

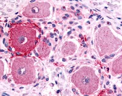
Immunohistochemistry-Paraffin: 5-HT1D Antibody [NLS590] - Analysis of anti-5HT1D Receptor antibody with human spinal cord, dorsal root ganglion.
Immunohistochemistry-Paraffin: 5-HT1D Antibody - BSA Free [NLS590]

Immunohistochemistry-Paraffin: 5-HT1D Antibody - BSA Free [NLS590]

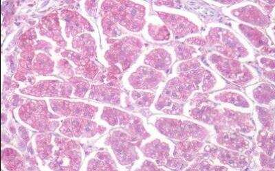
Immunohistochemistry-Paraffin: 5-HT1D Antibody [NLS590] - Human Adrenal: Formalin-Fixed, Paraffin-Embedded (FFPE)

Applications for 5-HT1D Antibody - BSA Free

Application
Recommended Usage

Immunohistochemistry-Paraffin

10 - 20 ug/ml
Application Notes
.

Formulation, Preparation, and Storage

Purification

Immunogen affinity purified

Formulation

PBS

Format

BSA Free

Preservative

0.1% Sodium Azide

Concentration

1.0 mg/ml

Shipping

The product is shipped with polar packs. Upon receipt, store it immediately at the temperature recommended below.

Stability & Storage

Keep as concentrated solution. Aliquot and store at -20C or below. Avoid multiple freeze-thaw cycles.

Background: 5-HT1D

The 5-HT1D receptor is a member of the Serotonin Receptor subfamily. 5-HT1D receptor expression has been documented primarily in brain and in dorsal root ganglion, heart, and small intestine. ESTs have been isolated from human brain and eye libraries.

Long Name

5-Hydroxytryptamine Receptor 1D

Alternate Names

5HT1D, HT1DA, HTR1D, HTR1DA, HTRL, RDC4

Entrez Gene IDs

3352 (Human)

Gene Symbol

HTR1D

UniProt

Additional 5-HT1D Products

Product Documents for 5-HT1D Antibody - BSA Free

Certificate of Analysis

To download a Certificate of Analysis, please enter a lot number in the search box below.

Product Specific Notices for 5-HT1D Antibody - BSA Free

This product is for research use only and is not approved for use in humans or in clinical diagnosis. Primary Antibodies are guaranteed for 1 year from date of receipt.

Loading...
Loading...
Loading...
Loading...