Skip to main content

17 beta-HSD1/HSD17B1 Antibody - BSA Free

Novus Biologicals, part of Bio-Techne | Catalog # NBP1-56295

Novus Biologicals, part of Bio-Techne
Catalog #
Availability
Size / Price
Qty
Loading...
NBP1-56295

Key Product Details

Species Reactivity

Validated:

Human, Mouse

Cited:

Human, Mouse

Applications

Validated:

Immunohistochemistry, Immunohistochemistry-Paraffin, Western Blot

Cited:

Western Blot

Label

Unconjugated

Antibody Source

Polyclonal Rabbit IgG

Format

BSA Free

Concentration

0.5 mg/ml

Product Specifications

Immunogen

Synthetic peptides corresponding to HSD17B1(hydroxysteroid (17-beta) dehydrogenase 1) The peptide sequence was selected from the N terminal of HSD17B1 (NP_000404). Peptide sequence MARTVVLITGCSSGIGLHLAVRLASDPSQSFKVYATLRDLKTQGRLWEAA. The peptide sequence for this immunogen was taken from within the described region.

Reactivity Notes

Human reactivity reported in scientific literature (PMID: 31614207).

Clonality

Polyclonal

Host

Rabbit

Isotype

IgG

Theoretical MW

35 kDa.
Disclaimer note: The observed molecular weight of the protein may vary from the listed predicted molecular weight due to post translational modifications, post translation cleavages, relative charges, and other experimental factors.

Description

The addition of 50% glycerol is optional for those storing this antibody at -20C and not aliquoting smaller units. However, please note that glycerol may interrupt some downstream antibody applications and should be added with caution.

Scientific Data Images for 17 beta-HSD1/HSD17B1 Antibody - BSA Free

Western Blot: 17 beta-HSD1/HSD17B1 Antibody [NBP1-56295]

Western Blot: 17 beta-HSD1/HSD17B1 Antibody [NBP1-56295]

Western Blot: 17 beta-HSD1/HSD17B1 Antibody [NBP1-56295] - Jurkat cell lysate, Antibody Titration: 0.2-1 ug/ml
Immunohistochemistry-Paraffin: 17 beta-HSD1/HSD17B1 Antibody [NBP1-56295]

Immunohistochemistry-Paraffin: 17 beta-HSD1/HSD17B1 Antibody [NBP1-56295]

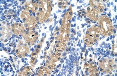
Immunohistochemistry-Paraffin: 17 beta-HSD1/HSD17B1 Antibody [NBP1-56295] - Human kidney Tissue, antibody concentration 4-8ug/ml. Cells with positive label: renal corpuscle cells (indicated with arrows) 400X magnification.

Applications for 17 beta-HSD1/HSD17B1 Antibody - BSA Free

Application
Recommended Usage

Immunohistochemistry

4-8 ug/ml

Immunohistochemistry-Paraffin

4-8 ug/ml

Western Blot

1.0 ug/ml

Formulation, Preparation, and Storage

Purification

Affinity purified

Formulation

PBS, 2% Sucrose

Format

BSA Free

Preservative

0.09% Sodium Azide

Concentration

0.5 mg/ml

Shipping

The product is shipped with polar packs. Upon receipt, store it immediately at the temperature recommended below.

Stability & Storage

Store at 4C short term. Aliquot and store at -20C long term. Avoid freeze-thaw cycles.

Background: 17 beta-HSD1/HSD17B1

HSD17B1 is favors the reduction of estrogens and androgens. It also has 20-alpha-HSD activity. It uses preferentially NADH.

Long Name

17 beta Hydroxysteroid Dehydrogenase 1

Alternate Names

17 betaHSD1, E2DH, EDH17B2, EDHB17, HSD17B1, SDR28C1

Entrez Gene IDs

3292 (Human)

Gene Symbol

HSD17B1

UniProt

Additional 17 beta-HSD1/HSD17B1 Products

Product Documents for 17 beta-HSD1/HSD17B1 Antibody - BSA Free

Certificate of Analysis

To download a Certificate of Analysis, please enter a lot number in the search box below.

Product Specific Notices for 17 beta-HSD1/HSD17B1 Antibody - BSA Free

This product is for research use only and is not approved for use in humans or in clinical diagnosis. Primary Antibodies are guaranteed for 1 year from date of receipt.

Loading...
Loading...
Loading...
Loading...