Skip to main content

14-3-3 epsilon Antibody - BSA Free

Novus Biologicals, part of Bio-Techne | Catalog # NBP1-32695

Novus Biologicals, part of Bio-Techne
Catalog #
Availability
Size / Price
Qty
Loading...
NBP1-32695

Key Product Details

Species Reactivity

Validated:

Human, Mouse

Cited:

Human

Predicted:

Bovine (100%), Chicken (100%), Chimpanzee (100%), Rat (98%), Xenopus (96%). Backed by our 100% Guarantee.

Applications

Validated:

Immunohistochemistry, Immunohistochemistry-Paraffin, Western Blot, Immunocytochemistry/ Immunofluorescence, Immunoprecipitation

Cited:

Immunoprecipitation, IF/IHC

Label

Unconjugated

Antibody Source

Polyclonal Rabbit IgG

Format

BSA Free

Concentration

Concentrations vary lot to lot. See vial label for concentration. If unlisted please contact technical services.

Product Specifications

Immunogen

Full length human 14-3-3 epsilon Recombinant protein.

Reactivity Notes

Xenopus laevis (96%).

Localization

Cytoplasm, Melanosome

Clonality

Polyclonal

Host

Rabbit

Isotype

IgG

Theoretical MW

29 kDa.
Disclaimer note: The observed molecular weight of the protein may vary from the listed predicted molecular weight due to post translational modifications, post translation cleavages, relative charges, and other experimental factors.

Description

Novus Biologicals Rabbit 14-3-3 epsilon Antibody - BSA Free (NBP1-32695) is a polyclonal antibody validated for use in IHC, WB, ICC/IF and IP. Anti-14-3-3 epsilon Antibody: Cited in 2 publications. All Novus Biologicals antibodies are covered by our 100% guarantee.

Scientific Data Images for 14-3-3 epsilon Antibody - BSA Free

Western Blot: 14-3-3 epsilon Antibody [NBP1-32695]

Western Blot: 14-3-3 epsilon Antibody [NBP1-32695]

Western Blot: 14-3-3 epsilon Antibody [NBP1-32695] - Mouse tissue extract (50 ug) was separated by 12% SDS-PAGE, and the membrane was blotted with 14-3-3 epsilon antibody [N1C3] diluted at 1:6000. The HRP-conjugated anti-rabbit IgG antibody (NBP2-19301) was used to detect the primary antibody.
Immunocytochemistry/ Immunofluorescence: 14-3-3 epsilon Antibody [NBP1-32695]

Immunocytochemistry/ Immunofluorescence: 14-3-3 epsilon Antibody [NBP1-32695]

Immunocytochemistry/Immunofluorescence: 14-3-3 epsilon Antibody [NBP1-32695] - Antibody was tested at 1:200 in HeLa cells with FITC (green). Nuclei were counterstained with Dapi (blue).
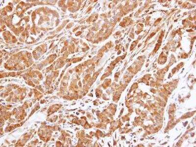
Immunohistochemistry-Paraffin: 14-3-3 epsilon Antibody [NBP1-32695]

Immunohistochemistry-Paraffin: 14-3-3 epsilon Antibody [NBP1-32695]

Immunohistochemistry-Paraffin: 14-3-3 epsilon Antibody [NBP1-32695] - A549 xenograft , using 14-3-3 epsilon antibody at 1:500 dilution. Antigen Retrieval: Trilogy™ (EDTA based, pH 8.0) buffer, 15min.

Applications for 14-3-3 epsilon Antibody - BSA Free

Application
Recommended Usage

Immunocytochemistry/ Immunofluorescence

1:100-1:1000

Immunohistochemistry

1:100-1:1000

Immunohistochemistry-Paraffin

1:100-1:1000

Immunoprecipitation

1:100-1:500

Western Blot

1:1000-1:10000

Formulation, Preparation, and Storage

Purification

Antigen Affinity-purified

Formulation

PBS, 20% Glycerol

Format

BSA Free

Preservative

0.025% Proclin 300

Concentration

Concentrations vary lot to lot. See vial label for concentration. If unlisted please contact technical services.

Shipping

The product is shipped with polar packs. Upon receipt, store it immediately at the temperature recommended below.

Stability & Storage

Aliquot and store at -20C or -80C. Avoid freeze-thaw cycles.

Background: 14-3-3 epsilon

This gene product belongs to the 14-3-3 family of proteins which mediate signal transduction by binding to phosphoserine-containing proteins. This highly conserved protein family is found in both plants and mammals, and this protein is 100% identical to the mouse ortholog. It interacts with CDC25 phosphatases, RAF1 and IRS1 proteins, suggesting its role in diverse biochemical activities related to signal transduction, such as cell division and regulation of insulin sensitivity. It has also been implicated in the pathogenesis of small cell lung cancer.

Alternate Names

1433 epsilon, YWHAE

Gene Symbol

YWHAE

Additional 14-3-3 epsilon Products

Product Documents for 14-3-3 epsilon Antibody - BSA Free

Certificate of Analysis

To download a Certificate of Analysis, please enter a lot number in the search box below.

Product Specific Notices for 14-3-3 epsilon Antibody - BSA Free

This product is for research use only and is not approved for use in humans or in clinical diagnosis. Primary Antibodies are guaranteed for 1 year from date of receipt.

Loading...
Loading...
Loading...
Loading...

⚠ WARNING: This product can expose you to chemicals including mercury, which is known to the State of California to cause reproductive toxicity with developmental effects.  For more information go to www.P65Warnings.ca.gov.