Skip to main content

MUC5AC Products

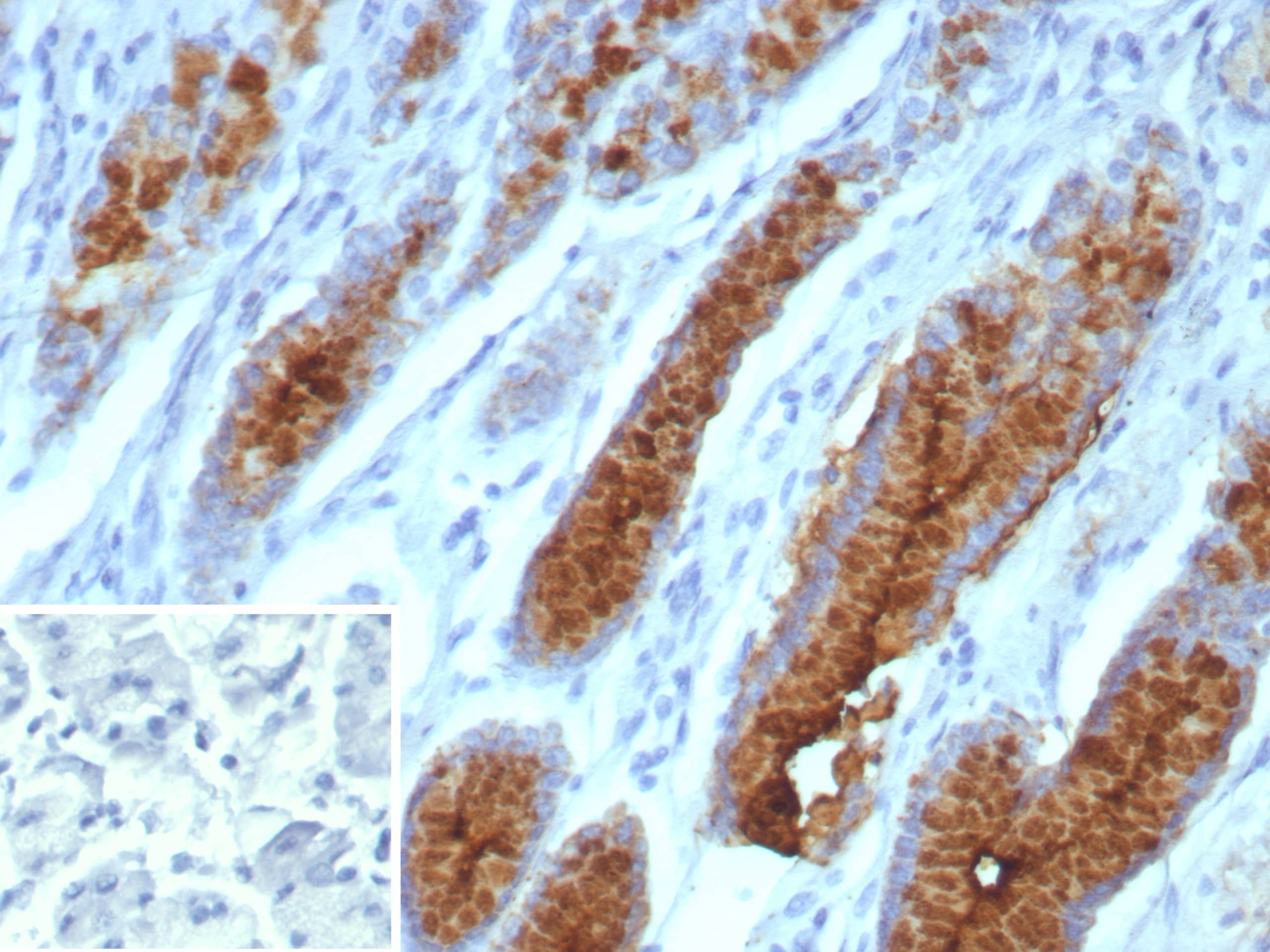
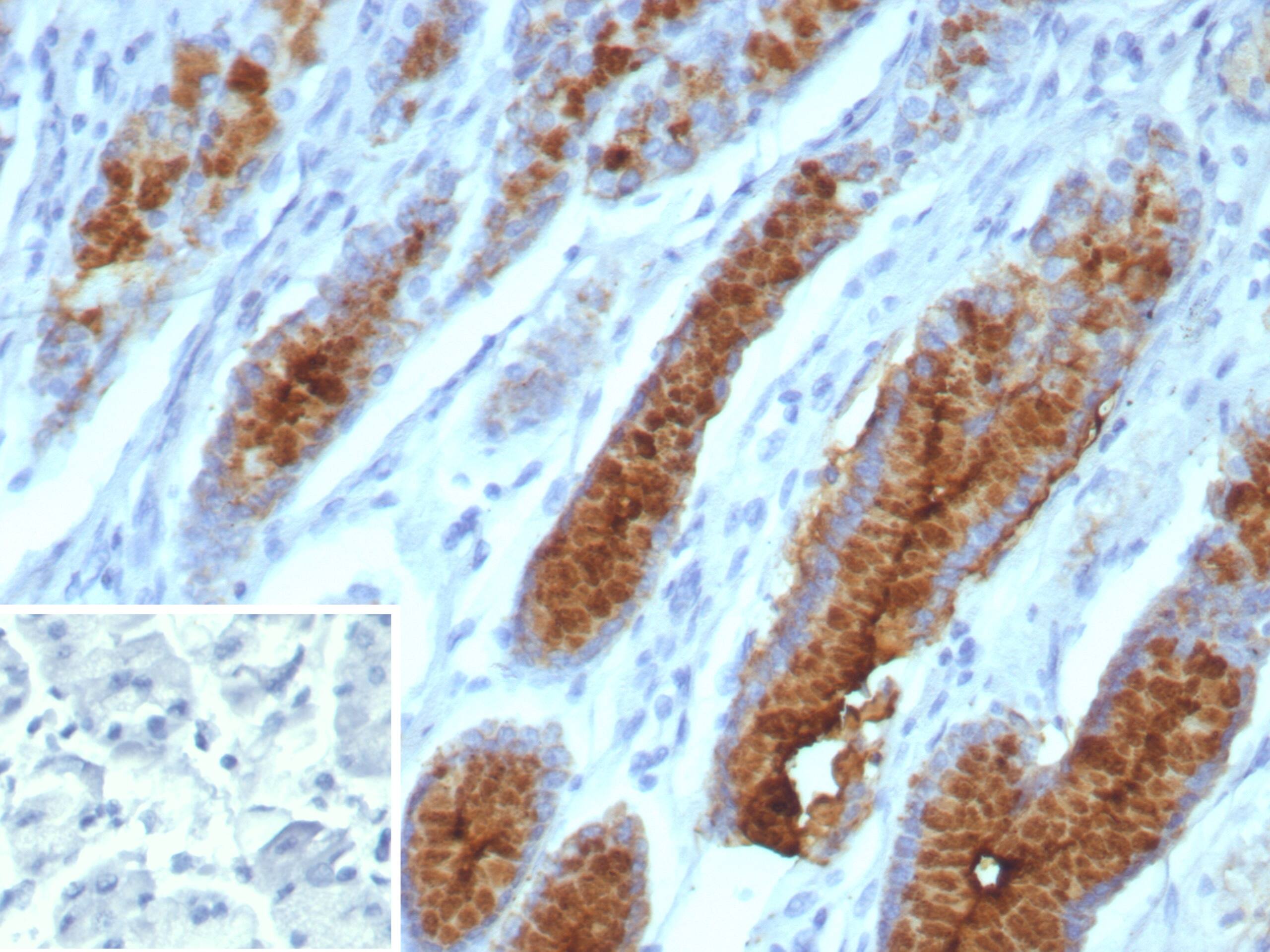
Mucin 5, subtype AC (MUC5AC) is a gel-forming secreted mucin that functions as a protective barrier on surface of epithelial tissues (1-2). MUC5AC is expressed primarily by goblet cells of the surface epithelium, including in the stomach, respiratory tract, gall bladder, endocervix, and endometrium (1-3). Human MUC5AC is located on chromosome 11p15.5, consisting of 5654 amino acids and has a N-terminus, tandem-repeat region (TRR), and a C-terminus, with a theoretical molecular weight of ~585 kDa (1-4). More specifically, the N-terminus contains four von Willebrand factor type D domains, where D1 also has a leucine zipper pattern (1). The TRR is further divided into nine CysD domains and four PTS-rich tandem repeats (1). Finally, the C-terminus has a D4-, B-, C-, and CK-domain (1). The TRR is a site of heavy O-glycosylation that functions in gel and polypeptide formation (1,3).

Given that MUC5AC is the primary mucin produced and secreted by cells lining airway, it is understandable that its expression is dysregulated in a number of respiratory diseases (1,3,5,6). For instance, MUC5AC is overexpressed in asthma and the protein is also more highly glycosylated, specifically fucosylated, in the disease state (1,3,7). Additionally, its overproduction is a key feature in chronic obstructive pulmonary disease (COPD) contributing to mucosal blockage (6). Multiple pathways are associated with overproduction of MUC5AC including NFkappaB, the primary pathway for production and secretion, and also the MAPK and STAT6 pathways (3). In addition to conventional, synthetic therapeutics agents, researchers are exploring natural MUC5AC inhibitors such as flavonoids, glycosides, and steroids to treat associated disorders (3).

References

1. Krishn, S. R., Ganguly, K., Kaur, S., & Batra, S. K. (2018). Ramifications of secreted mucin MUC5AC in malignant journey: a holistic view. Carcinogenesis. https://doi.org/10.1093/carcin/bgy019

2. Ballester, B., Milara, J., & Cortijo, J. (2019). Mucins as a New Frontier in Pulmonary Fibrosis. Journal of clinical medicine. https://doi.org/10.3390/jcm8091447

3. Samsuzzaman, M., Uddin, M. S., Shah, M. A., & Mathew, B. (2019). Natural inhibitors on airway mucin: Molecular insight into the therapeutic potential targeting MUC5AC expression and production. Life sciences. https://doi.org/10.1016/j.lfs.2019.05.041

4. Uniprot (P98088)

5. Li, J., & Ye, Z. (2020). The Potential Role and Regulatory Mechanisms of MUC5AC in Chronic Obstructive Pulmonary Disease. Molecules (Basel, Switzerland). https://doi.org/10.3390/molecules25194437

6. Bonser, L. R., & Erle, D. J. (2017). Airway Mucus and Asthma: The Role of MUC5AC and MUC5B. Journal of clinical medicine. https://doi.org/10.3390/jcm6120112
Show More

564 results for "MUC5AC" in Products

564 results for "MUC5AC" in Products

MUC5AC Products

Mucin 5, subtype AC (MUC5AC) is a gel-forming secreted mucin that functions as a protective barrier on surface of epithelial tissues (1-2). MUC5AC is expressed primarily by goblet cells of the surface epithelium, including in the stomach, respiratory tract, gall bladder, endocervix, and endometrium (1-3). Human MUC5AC is located on chromosome 11p15.5, consisting of 5654 amino acids and has a N-terminus, tandem-repeat region (TRR), and a C-terminus, with a theoretical molecular weight of ~585 kDa (1-4). More specifically, the N-terminus contains four von Willebrand factor type D domains, where D1 also has a leucine zipper pattern (1). The TRR is further divided into nine CysD domains and four PTS-rich tandem repeats (1). Finally, the C-terminus has a D4-, B-, C-, and CK-domain (1). The TRR is a site of heavy O-glycosylation that functions in gel and polypeptide formation (1,3).

Given that MUC5AC is the primary mucin produced and secreted by cells lining airway, it is understandable that its expression is dysregulated in a number of respiratory diseases (1,3,5,6). For instance, MUC5AC is overexpressed in asthma and the protein is also more highly glycosylated, specifically fucosylated, in the disease state (1,3,7). Additionally, its overproduction is a key feature in chronic obstructive pulmonary disease (COPD) contributing to mucosal blockage (6). Multiple pathways are associated with overproduction of MUC5AC including NFkappaB, the primary pathway for production and secretion, and also the MAPK and STAT6 pathways (3). In addition to conventional, synthetic therapeutics agents, researchers are exploring natural MUC5AC inhibitors such as flavonoids, glycosides, and steroids to treat associated disorders (3).

References

1. Krishn, S. R., Ganguly, K., Kaur, S., & Batra, S. K. (2018). Ramifications of secreted mucin MUC5AC in malignant journey: a holistic view. Carcinogenesis. https://doi.org/10.1093/carcin/bgy019

2. Ballester, B., Milara, J., & Cortijo, J. (2019). Mucins as a New Frontier in Pulmonary Fibrosis. Journal of clinical medicine. https://doi.org/10.3390/jcm8091447

3. Samsuzzaman, M., Uddin, M. S., Shah, M. A., & Mathew, B. (2019). Natural inhibitors on airway mucin: Molecular insight into the therapeutic potential targeting MUC5AC expression and production. Life sciences. https://doi.org/10.1016/j.lfs.2019.05.041

4. Uniprot (P98088)

5. Li, J., & Ye, Z. (2020). The Potential Role and Regulatory Mechanisms of MUC5AC in Chronic Obstructive Pulmonary Disease. Molecules (Basel, Switzerland). https://doi.org/10.3390/molecules25194437

6. Bonser, L. R., & Erle, D. J. (2017). Airway Mucus and Asthma: The Role of MUC5AC and MUC5B. Journal of clinical medicine. https://doi.org/10.3390/jcm6120112
Show More
Applications: IHC, WB, ICC/IF, Flow
Reactivity: Human

Recombinant Monoclonal Antibody

Applications: IHC
Reactivity: Human
Applications: IHC
Reactivity: Human

Recombinant Monoclonal Antibody

Applications: IHC
Reactivity: Human

Recombinant Monoclonal Antibody

Applications: IHC
Reactivity: Human

Recombinant Monoclonal Antibody

Applications: IHC, WB, ICC/IF, Flow
Reactivity: Human

Recombinant Monoclonal Antibody

Applications: IHC, WB, ICC/IF, Flow
Reactivity: Human

Recombinant Monoclonal Antibody

Applications: IHC
Reactivity: Human, Rat (Negative)
Applications: IHC
Reactivity: Human

Recombinant Monoclonal Antibody

Applications: IHC
Reactivity: Human

Recombinant Monoclonal Antibody

Applications: IHC
Reactivity: Human

Recombinant Monoclonal Antibody

Applications: IHC
Reactivity: Human

Recombinant Monoclonal Antibody

Applications: IHC
Reactivity: Human

Recombinant Monoclonal Antibody

Applications: IHC
Reactivity: Human

Recombinant Monoclonal Antibody

Applications: IHC
Reactivity: Human

Recombinant Monoclonal Antibody

Applications: IHC
Reactivity: Human

Recombinant Monoclonal Antibody

Applications: IHC
Reactivity: Human

Recombinant Monoclonal Antibody

Applications: IHC, WB, ICC/IF, Flow
Reactivity: Human

Recombinant Monoclonal Antibody

Applications: IHC, ICC/IF, Flow, CyTOF-ready
Reactivity: Human
Applications: IHC, ICC/IF, Flow, CyTOF-ready
Reactivity: Human
Applications: IHC, ICC/IF, Flow, CyTOF-ready
Reactivity: Human
Applications: IHC
Reactivity: Human

Recombinant Monoclonal Antibody

Applications: IHC
Reactivity: Human

Recombinant Monoclonal Antibody

Applications: IHC
Reactivity: Human

Recombinant Monoclonal Antibody

Applications: IHC
Reactivity: Human

Recombinant Monoclonal Antibody

Results Per Page
5 10 25 50
/ 23