Microseminoprotein, Prostate Associated Products
2 results for "Microseminoprotein, Prostate Associated" in Products
2 results for "Microseminoprotein, Prostate Associated" in Products
Microseminoprotein, Prostate Associated Products
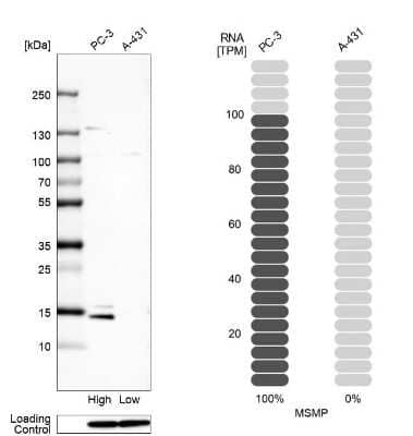
| Reactivity: | Human |
| Details: | Rabbit IgG Polyclonal |
| Applications: | IHC, WB, ICC/IF |
Catalog #:
NBP2-30630PEP
| Applications: | AC |