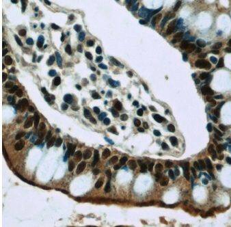
GPBP: Antibodies
Bio-Techne offers high quality GPBP antibodies from our Novus Biologicals brand. Browse our catalog for anti-GPBP polyclonal antibodies. These antibodies are reactive in target species including Human. Our GPBP antibodies have been validated for use in research applications: Immunohistochemistry, Western Blot, and Immunocytochemistry/ Immunofluorescence. Choose the anti-GPBP antibody best suited for your research needs by viewing the technical details, images, citations, reviews, and more. Each GPBP antibody is fully covered by Bio-Techne’s 100% guarantee.
Bio-Techne offers a comprehensive range of other GPBP-related products including GPBP Proteins and Enzymes.
3 results for "GPBP Primary Antibodies" in Products
3 results for "GPBP Primary Antibodies" in Products
GPBP: Antibodies
Bio-Techne offers high quality GPBP antibodies from our Novus Biologicals brand. Browse our catalog for anti-GPBP polyclonal antibodies. These antibodies are reactive in target species including Human. Our GPBP antibodies have been validated for use in research applications: Immunohistochemistry, Western Blot, and Immunocytochemistry/ Immunofluorescence. Choose the anti-GPBP antibody best suited for your research needs by viewing the technical details, images, citations, reviews, and more. Each GPBP antibody is fully covered by Bio-Techne’s 100% guarantee.
Bio-Techne offers a comprehensive range of other GPBP-related products including GPBP Proteins and Enzymes.
| Reactivity: | Human |
| Details: | Rabbit IgG Polyclonal |
| Applications: | IHC, ICC/IF |
| Reactivity: | Human, Mouse, Rat |
| Details: | Rabbit IgG Polyclonal |
| Applications: | IHC, WB, ELISA |
| Reactivity: | Human |
| Details: | Rabbit IgG Polyclonal |
| Applications: | WB |