Skip to main content

Recombinant Human TSG-6 Protein, CF

R&D Systems, part of Bio-Techne | Catalog # 2104-TS

R&D Systems, part of Bio-Techne
Catalog #
Availability
Size / Price
Qty
Loading...
2104-TS-050

Key Product Details

  • R&D Systems NS0-derived Recombinant Human TSG-6 Protein (2104-TS)
  • Quality control testing to verify active proteins with lot specific assays by in-house scientists
  • All R&D Systems proteins are covered with a 100% guarantee

Source

NS0

Accession #

Conjugate

Unconjugated

Applications

Binding Activity

Product Specifications

Source

Mouse myeloma cell line, NS0-derived human TSG-6 protein
Trp18-Leu277, with a C-terminal 10-His tag

Purity

>90%, by SDS-PAGE visualized with Silver Staining and quantitative densitometry by Coomassie® Blue Staining.

Endotoxin Level

<0.10 EU per 1 μg of the protein by the LAL method.

N-terminal Sequence Analysis

Trp18

Predicted Molecular Mass

30.5 kDa

SDS-PAGE

40 kDa, reducing conditions

Activity

Measured by its binding ability in a functional ELISA.
When Recombinant Human TSG-6 is present at 0.5 μg/well, the concentration of biotinylated hyaluronan that produces 50% of the optimal binding response is found to be approximately 4-30 ng/mL.

Scientific Data Images for Recombinant Human TSG-6 Protein, CF

Recombinant Human TSG-6 Protein Binding Activity

Recombinant Human TSG-6 Protein Binding Activity

Recombinant Human TSG-6 (Catalog # 2104-TS) binds hyaluronan in a functional ELISA. When Recombinant Human TSG-6 is present at 0.5 µg/mL, the concentration of biotinylated hyaluronan that produces 50% of the optimal binding response is approximately 4-30 ng/mL.
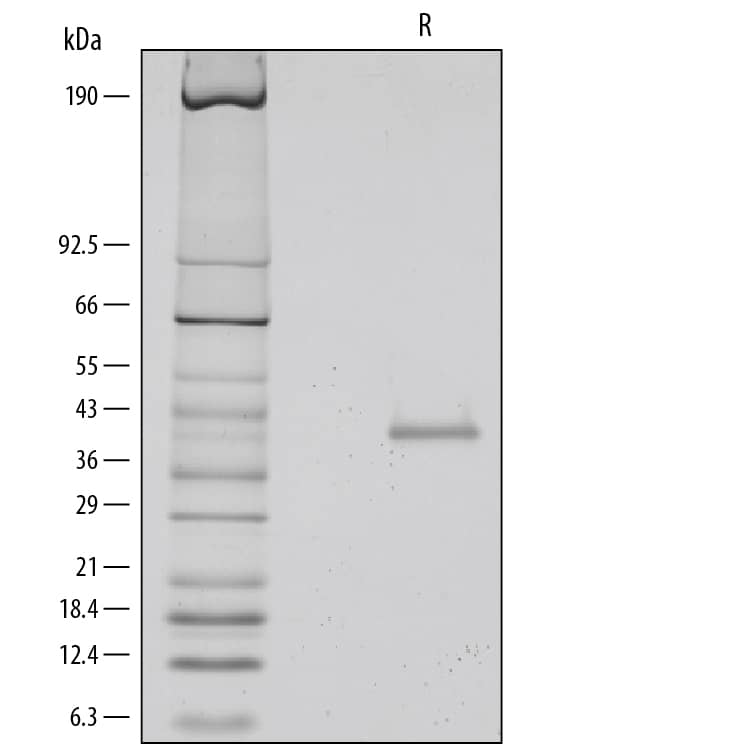
Recombinant Human TSG-6 Protein SDS-PAGE

Recombinant Human TSG-6 Protein SDS-PAGE

1 μg/lane of Recombinant Human TSG-6 was resolved with SDS-PAGE under reducing (R) conditions and visualized by silver staining, showing a single band at 40 kDa.

Formulation, Preparation and Storage

2104-TS
Formulation Lyophilized from a 0.2 μm filtered solution in PBS.
Reconstitution
Reconstitute at 100 μg/mL in sterile PBS.

Reconstitution Buffer Available:
Size / Price
Qty
Loading...
Shipping The product is shipped with polar packs. Upon receipt, store it immediately at the temperature recommended below.
Stability & Storage Use a manual defrost freezer and avoid repeated freeze-thaw cycles.
  • 12 months from date of receipt, -20 to -70 °C as supplied.
  • 1 month, 2 to 8 °C under sterile conditions after reconstitution.
  • 3 months, -20 to -70 °C under sterile conditions after reconstitution.

Background: TSG-6

TSG-6 (TNF-stimulated gene 6; also TNFIP6) is a secreted, 35-39 kDa group A member of the LINK‑Module superfamily of proteins (1 - 4). Human TSG‑6 is synthesized as a 277 amino acid (aa) precursor. It contains a 17 aa signal sequence and a 260 aa mature region (5, 6). The mature region shows an N-terminal LINK module (aa 36-129) and a C-terminal CUB (C1s/C1r; urchin embryonic growth factor; BMP1) domain (aa 135-247). Link modules are alpha-helical, beta-sheet structures that bind hyaluronan (HA) and participate in extracellular matrix (ECM) assembly (7). Mature human TSG-6 shares 94% aa identity with both mouse and canine TSG-6. Cells reported to express TSG-6 include activated fibroblasts, synoviocytes, chondrocytes, neutrophils, proximal tubular epithelium, bronchial epithelium, endothelium, and visceral, plus vascular smooth muscle (2, 8). TSG-6 has multiple functions, many of which involve the ECM. It is suggested to stabilize HA-rich ECM. It does so by serving as an intermediary, or link, between the individual subunits of extracellular decameric pentraxin 3 and the surrounding hyaluronan matrix (9). It also provides structure and organization to hyaluronan. This is accomplished by a TSG-6 mediated transfer of an 80-85 kDa HC subunit from I alphaI (inter-alpha -inhibitor) to HA. I alphaI is a four-component, 225 kDa serine protease inhibitor. It contains a protease inhibitor subunit (bikunin), two independent, accompaning protein chains (HC1 and HC2), and a short chondroitin sulfate linking moiety. TSG-6 is a cation‑dependent catalyst for the removal, transfer, and subsequent covalent linkage of HC 1/2 to surrounding HA. This provides substance and reinforcement to the ECM (1, 2, 10, 11, 12). The disassembly of I alphaI also leads to free bikunin, which in the “free” state becomes a potent inhibitor of serine proteases (8).

References

  1. Milner, C.M. et al. (2006) Biochem. Soc. Trans. 34:446.
  2. Milner, C.M. and A.J. Day (2003) J. Cell Sci. 116:1863.
  3. Wisnieewski, H-G. and J. Vilcek (2004) Cytokine Growth Factor Rev. 15:129.
  4. Blundell, C.D. et al. (2005) J. Biol. Chem. 280:18189.
  5. Lee, T.H. et al. (1990) Mol. Cell. Biol. 10:1982.
  6. Lee, T.H. et al. (1992) J. Cell Biol. 116:545.
  7. Kohda, D. et al. (1996) Cell 86:767.
  8. Forteza, R. et al. (2007) Am. J. Respir. Cell Mol. Biol. 36:20.
  9. Salustri, A. et al. (2003) Development 131:1577.
  10. Rugg, M.S. et al. (2005) J. Biol. Chem. 280:25674.
  11. Sanggaard, K.W. et al. (2006) Biochemistry 45:7661.
  12. Sanggaard, K.W. et al. (2005) J. Biol. Chem. 280:11936.

Long Name

Tumor Necrosis Factor-stimulated Gene Sequence 6

Alternate Names

TNFAIP6, TSG6

Entrez Gene IDs

7130 (Human); 21930 (Mouse)

Gene Symbol

TNFAIP6

UniProt

Additional TSG-6 Products

Product Documents for Recombinant Human TSG-6 Protein, CF

Certificate of Analysis

To download a Certificate of Analysis, please enter a lot number in the search box below.

Note: Certificate of Analysis not available for kit components.

Product Specific Notices for Recombinant Human TSG-6 Protein, CF

For research use only

Loading...
Loading...
Loading...