Recombinant Human MAN1A1 His-tag Protein, CF
R&D Systems, part of Bio-Techne | Catalog # 10665-GH
Key Product Details
- R&D Systems CHO-derived Recombinant Human MAN1A1 His-tag Protein (10665-GH)
- Quality control testing to verify active proteins with lot specific assays by in-house scientists
- All R&D Systems proteins are covered with a 100% guarantee
Product Specifications
Source
Chinese Hamster Ovary cell line, CHO-derived human MAN1A1 protein
Pro63-Glu653, with a C-terminal 6-His tag
Pro63-Glu653, with a C-terminal 6-His tag
Purity
>95%, by SDS-PAGE visualized with Silver Staining and quantitative densitometry by Coomassie® Blue Staining.
Endotoxin Level
<1.0 EU per 1 μg of the protein by the LAL method.
N-terminal Sequence Analysis
Pro63
Predicted Molecular Mass
67.7 kDa
SDS-PAGE
63-65 kDa, under reducing conditions.
Activity
Measured by its ability to remove alpha-mannose from the high
mannose glycan Man-9.
A distinct band is observed in the rhMAN1A1 digested sample on SDS-PAGE gel, as measured under the described conditions.
A distinct band is observed in the rhMAN1A1 digested sample on SDS-PAGE gel, as measured under the described conditions.
Scientific Data Images for Recombinant Human MAN1A1 His-tag Protein, CF
Recombinant Human MAN1A1 His-tag Protein Enzyme Activity Diagram.
MAN1A1 is involved in the removal of 4 distinct alpha-1,2-linked mannose residues from Man9GlcNAc2 to produce Man5GlcNAc2, an essential step of N-glycan maturation.Recombinant Human MAN1A1 His-tag Protein SDS-PAGE.
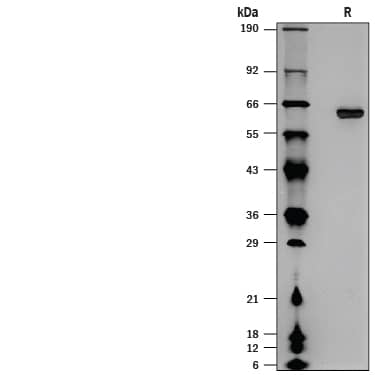
1 μg/lane of Recombinant Human MAN1A1 His-tag (Catalog # 10665-GT) was resolved with SDS-PAGE under reducing (R) conditions and visualized by silver staining, showing a band at 63-65 kDa.Formulation, Preparation and Storage
10665-GH
| Formulation | Supplied as a 0.2 μm filtered solution in Tris, NaCl and CaCl2. |
| Shipping | The product is shipped with polar packs. Upon receipt, store it immediately at the temperature recommended below. |
| Stability & Storage | Use a manual defrost freezer and avoid repeated freeze-thaw cycles.
|
Background: MAN1A1
References
- Oliveira-Ferrer, L. et al. (2014) Br. J. Cancer 110:753.
- Moremen K.W. et al. (2012) Nat. Rev. Mol. Cell Biol. 13:448.
- Moremen, K.W. and Nairn, A.V. (2014) Handbook of Glycosyltransferases and Related Genes p1297.
- Liu, T. et al. (2014) PLoS One 9:e107941.
- Milde-Langosch, K. et al. (2014) Breast Cancer Res. Treat. 145:295.
- Karen Legler, et al. (2018) Br. J. Cancer 118:847.
Long Name
Mannosidase alpha, Class 1A, Member 1
Alternate Names
HUMM3, HUMM9, MAN9
Gene Symbol
MAN1A1
UniProt
Additional MAN1A1 Products
Product Documents for Recombinant Human MAN1A1 His-tag Protein, CF
Product Specific Notices for Recombinant Human MAN1A1 His-tag Protein, CF
For research use only
Loading...
Loading...
Loading...