Skip to main content

ZNF843 Antibody - BSA Free

Novus Biologicals, part of Bio-Techne | Catalog # NBP2-48599

Novus Biologicals, part of Bio-Techne
Catalog #
Availability
Size / Price
Qty
Loading...
NBP2-48599

Key Product Details

Species Reactivity

Human

Applications

Immunohistochemistry, Immunohistochemistry-Paraffin, Western Blot

Label

Unconjugated

Antibody Source

Polyclonal Rabbit IgG

Format

BSA Free

Concentration

Concentrations vary lot to lot. See vial label for concentration. If unlisted please contact technical services.

Product Specifications

Immunogen

This antibody was developed against a recombinant protein corresponding to amino acids: QLCCWLTKEHTLAEALRLSPVPAGFWGPVEADRPPANSHRRVCPFCCCSCGDSVNEKTSLSQRVLPHPGEKTCRGGSVESVSLA

Clonality

Polyclonal

Host

Rabbit

Isotype

IgG

Description

Novus Biologicals Rabbit ZNF843 Antibody - BSA Free (NBP2-48599) is a polyclonal antibody validated for use in IHC and WB. All Novus Biologicals antibodies are covered by our 100% guarantee.

Scientific Data Images for ZNF843 Antibody - BSA Free

Western Blot: ZNF843 Antibody [NBP2-48599]

Western Blot: ZNF843 Antibody [NBP2-48599]

Western Blot: ZNF843 Antibody [NBP2-48599] - Analysis in control (vector only transfected HEK293T lysate) and LY403727 over-expression lysate (Co-expressed with a C-terminal myc-DDK tag (3.1 kDa) in mammalian HEK293T cells).
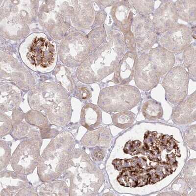
Immunohistochemistry: ZNF843 Antibody [NBP2-48599]

Immunohistochemistry: ZNF843 Antibody [NBP2-48599]

Immunohistochemistry: ZNF843 Antibody [NBP2-48599] - Staining of human kidney shows strong cytoplasmic positivity in cells in glomeruli.

Applications for ZNF843 Antibody - BSA Free

Application
Recommended Usage

Immunohistochemistry

1:50 - 1:200

Immunohistochemistry-Paraffin

1:50 - 1:200

Western Blot

0.04-0.4 ug/ml
Application Notes
For IHC-Paraffin, HIER pH 6 retrieval is recommended.

Formulation, Preparation, and Storage

Purification

Affinity purified

Formulation

PBS (pH 7.2) and 40% Glycerol

Format

BSA Free

Preservative

0.02% Sodium Azide

Concentration

Concentrations vary lot to lot. See vial label for concentration. If unlisted please contact technical services.

Shipping

The product is shipped with polar packs. Upon receipt, store it immediately at the temperature recommended below.

Stability & Storage

Store at 4C short term. Aliquot and store at -20C long term. Avoid freeze-thaw cycles.

Background: ZNF843

Alternate Names

MGC46336, zinc finger protein 843

Gene Symbol

ZNF843

Additional ZNF843 Products

Product Documents for ZNF843 Antibody - BSA Free

Certificate of Analysis

To download a Certificate of Analysis, please enter a lot number in the search box below.

Product Specific Notices for ZNF843 Antibody - BSA Free

This product is for research use only and is not approved for use in humans or in clinical diagnosis. Primary Antibodies are guaranteed for 1 year from date of receipt.

Loading...
Loading...
Loading...
Loading...