Skip to main content

ZNF439 Antibody - BSA Free

Novus Biologicals, part of Bio-Techne | Catalog # NBP2-13574

Novus Biologicals, part of Bio-Techne
Catalog #
Availability
Size / Price
Qty
Loading...
NBP2-13574-25ul
NBP2-13574

Key Product Details

Species Reactivity

Human

Applications

Immunohistochemistry, Immunohistochemistry-Paraffin

Label

Unconjugated

Antibody Source

Polyclonal Rabbit IgG

Format

BSA Free

Concentration

Concentrations vary lot to lot. See vial label for concentration. If unlisted please contact technical services.

Product Specifications

Immunogen

This antibody was developed against Recombinant Protein corresponding to amino acids: KVNEIKEDSHCGETFTPVPDDRLNF

Clonality

Polyclonal

Host

Rabbit

Isotype

IgG

Scientific Data Images for ZNF439 Antibody - BSA Free

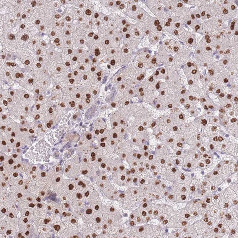
ZNF439 Antibody - BSA Free Immunohistochemistry: ZNF439 Antibody - BSA Free [NBP2-13574]

Immunohistochemistry: ZNF439 Antibody - BSA Free [NBP2-13574]

Staining of human liver shows strong nuclear positivity in hepatocytes.

Applications for ZNF439 Antibody - BSA Free

Application
Recommended Usage

Immunohistochemistry

1:20 - 1:50

Immunohistochemistry-Paraffin

1:20 - 1:50
Application Notes
For IHC-Paraffin, HIER pH 6 retrieval is recommended.

Formulation, Preparation, and Storage

Purification

Affinity purified

Formulation

PBS (pH 7.2) and 40% Glycerol

Format

BSA Free

Preservative

0.02% Sodium Azide

Concentration

Concentrations vary lot to lot. See vial label for concentration. If unlisted please contact technical services.

Shipping

The product is shipped with polar packs. Upon receipt, store it immediately at the temperature recommended below.

Stability & Storage

Store at 4C short term. Aliquot and store at -20C long term. Avoid freeze-thaw cycles.

Background: ZNF439

ZNF439 may be involved in transcriptional regulation

Alternate Names

ZNF439 zinc finger protein 439

Gene Symbol

ZNF439

Additional ZNF439 Products

Product Documents for ZNF439 Antibody - BSA Free

Certificate of Analysis

To download a Certificate of Analysis, please enter a lot number in the search box below.

Product Specific Notices for ZNF439 Antibody - BSA Free

This product is for research use only and is not approved for use in humans or in clinical diagnosis. Primary Antibodies are guaranteed for 1 year from date of receipt.

Loading...
Loading...
Loading...
Loading...